Skip to main content

DUSP27/DUPD1 Antibody (OTI7E4)

Novus Biologicals, part of Bio-Techne | Catalog # NBP2-03339

Novus Biologicals, part of Bio-Techne
Catalog #
Availability
Size / Price
Qty
Loading...
NBP2-03339

Key Product Details

Species Reactivity

Human, Mouse

Applications

Flow Cytometry, Immunohistochemistry, Immunohistochemistry-Paraffin, Western Blot

Label

Unconjugated

Antibody Source

Monoclonal Mouse IgG1 Clone # OTI7E4

Concentration

1.1 mg/ml

Product Specifications

Immunogen

Full length human recombinant protein of human DUPD1(NP_001003892) produced in HEK293T cell.

Reactivity Notes

Please note that this antibody is reactive to Mouse and derived from the same host, Mouse. Mouse-On-Mouse blocking reagent may be needed for IHC and ICC experiments to reduce high background signal. You can find these reagents under catalog numbers PK-2200-NB and MP-2400-NB. Please contact Technical Support if you have any questions.

Clonality

Monoclonal

Host

Mouse

Isotype

IgG1

Theoretical MW

25.2 kDa.
Disclaimer note: The observed molecular weight of the protein may vary from the listed predicted molecular weight due to post translational modifications, post translation cleavages, relative charges, and other experimental factors.

Description

Novus Biologicals Mouse DUSP27/DUPD1 Antibody (OTI7E4) (NBP2-03339) is a monoclonal antibody validated for use in IHC, WB and Flow. All Novus Biologicals antibodies are covered by our 100% guarantee.

Scientific Data Images for DUSP27/DUPD1 Antibody (OTI7E4)

Western Blot: DUSP27/DUPD1 Antibody (OTI7E4) [NBP2-03339]

Western Blot: DUSP27/DUPD1 Antibody (OTI7E4) [NBP2-03339]

Western Blot: DUSP27/DUPD1 Antibody (7E4) [NBP2-03339] - DUSP27/DUPD1 Antibody (7E4) HEK293T cells were transfected with the pCMV6-ENTRY control (Left lane) or pCMV6-ENTRY DUSP27 (Right lane) cDNA for 48 hrs and lysed. Equivalent amounts of cell lysates (5 ug per lane) were separated by SDS-PAGE and immunoblotted with anti-DUSP27.
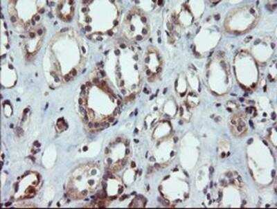
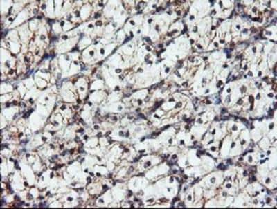
Immunohistochemistry-Paraffin: DUSP27/DUPD1 Antibody (OTI7E4) [NBP2-03339]

Immunohistochemistry-Paraffin: DUSP27/DUPD1 Antibody (OTI7E4) [NBP2-03339]

Immunohistochemistry-Paraffin: DUSP27/DUPD1 Antibody (7E4) [NBP2-03339] - DUSP27/DUPD1 Antibody (7E4) Staining of paraffin-embedded Human pancreas tissue using anti-DUSP27 mouse monoclonal antibody.
Flow Cytometry: DUSP27/DUPD1 Antibody (OTI7E4) [NBP2-03339]

Flow Cytometry: DUSP27/DUPD1 Antibody (OTI7E4) [NBP2-03339]

Flow Cytometry: DUSP27/DUPD1 Antibody (7E4) [NBP2-03339] - DUSP27/DUPD1 Antibody (7E4) HEK293T cells transfected with either overexpression plasmid (Red) or empty vector control plasmid (Blue) were immunostained by anti-DUSP27 antibody, and then analyzed by flow cytometry.

Applications for DUSP27/DUPD1 Antibody (OTI7E4)

Application
Recommended Usage

Flow Cytometry

1:100

Immunohistochemistry

1:150

Immunohistochemistry-Paraffin

1:150

Western Blot

1:2000

Formulation, Preparation, and Storage

Purification

Immunogen affinity purified

Formulation

PBS (pH 7.3), 1.0% BSA and 50% Glycerol

Preservative

0.02% Sodium Azide

Concentration

1.1 mg/ml

Shipping

The product is shipped with polar packs. Upon receipt, store it immediately at the temperature recommended below.

Stability & Storage

Store at -20C. Avoid freeze-thaw cycles.

Background: DUSP27/DUPD1

Alternate Names

atypical dual-specific protein phosphatase, Dual specificity phosphatase 27, dual specificity phosphatase and pro isomerase domain containing 1, DUSP27dual specificity phosphatase DUPD1, EC 3.1.3.16, EC 3.1.3.48, FMDSP

Entrez Gene IDs

338599 (Human)

Gene Symbol

DUPD1

Additional DUSP27/DUPD1 Products

Product Documents for DUSP27/DUPD1 Antibody (OTI7E4)

Certificate of Analysis

To download a Certificate of Analysis, please enter a lot number in the search box below.

Product Specific Notices for DUSP27/DUPD1 Antibody (OTI7E4)

This product is for research use only and is not approved for use in humans or in clinical diagnosis. Primary Antibodies are guaranteed for 1 year from date of receipt.

Loading...
Loading...
Loading...
Loading...
Loading...