Skip to main content

dsDNA Antibody (DSD/8204R) - Azide and BSA Free

Novus Biologicals, part of Bio-Techne | Catalog # NBP3-20860

Recombinant Monoclonal Antibody
Novus Biologicals, part of Bio-Techne

Key Product Details

Species Reactivity

Human

Applications

Immunohistochemistry-Paraffin

Label

Unconjugated

Antibody Source

Recombinant Monoclonal Rabbit IgG Kappa Clone # DSD/8204R

Format

Azide and BSA Free

Concentration

1 mg/ml

Product Specifications

Immunogen

Nuclei of Burkitt's cells

Localization

Nucleus.

Specificity

This monoclonal antibody recognizes the double stranded DNA in human cells It can be used to stain the nuclei in cell or tissue preparations and can be used as a nuclear marker in human cells This monoclonal antibody produces a homogeneous staining pattern in the nucleus of normal and malignant cells

Clonality

Monoclonal

Host

Rabbit

Isotype

IgG Kappa

Description

Positive Controls: Raji, Jurkat or HeLa cells. Human tonsil or colon.

Antibody with azide - store at 2 to 8C. Antibody without azide - store at -20 to -80C. Non-hazardous. No MSDS required.

Scientific Data Images for dsDNA Antibody (DSD/8204R) - Azide and BSA Free

dsDNA Antibody (DSD/8204R) - Azide and BSA Free

dsDNA Antibody (DSD/8204R)

Formalin-fixed, paraffin-embedded human placenta stained with dsDNA antibody (DSD/8204R). HIER: Tris/EDTA, pH9.0, 45min. Secondary: HRP-polymer, 30min. DAB, 5min.
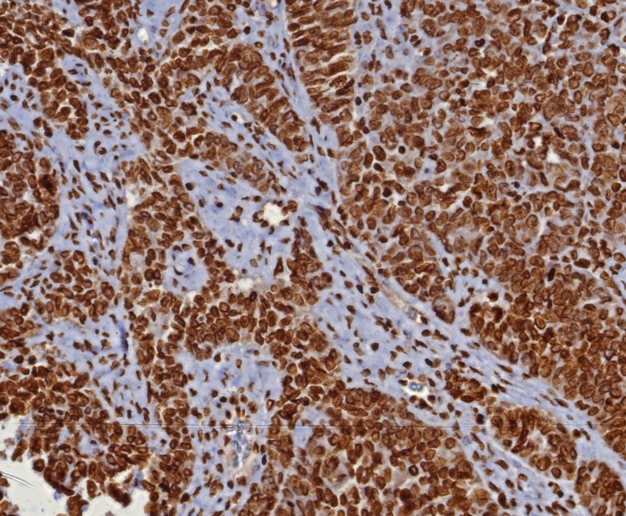
dsDNA Antibody (DSD/8204R) - Azide and BSA Free

dsDNA Antibody (DSD/8204R)

Formalin-fixed, paraffin-embedded human ovarian cancer (serous) stained with dsDNA antibody (DSD/8204R). HIER: Tris/EDTA, pH9.0, 45min. Secondary: HRP-polymer, 30min. DAB, 5min.

Applications for dsDNA Antibody (DSD/8204R) - Azide and BSA Free

Application
Recommended Usage

Immunohistochemistry-Paraffin

1-2 ug/ml
Application Notes
Immunohistochemistry (Formalin-fixed): 1-2ug/ml for 30 minutes. at RT. Staining of formalin-fixed tissues requires heating tissue sections in 10mM Tris with 1mM EDTA, pH 9.0, for 45 min at 95C followed by cooling at RT for 20 minutes.

Optimal dilution for a specific application should be determined.

Formulation, Preparation, and Storage

Purification

Protein A purified

Formulation

10mM PBS

Format

Azide and BSA Free

Preservative

No Preservative

Concentration

1 mg/ml

Shipping

The product is shipped with polar packs. Upon receipt, store it immediately at the temperature recommended below.

Stability & Storage

Store at -20 to -70C. Avoid freeze-thaw cycles.

Background: dsDNA

Alternate Names

Double stranded DNA

Additional dsDNA Products

Product Documents for dsDNA Antibody (DSD/8204R) - Azide and BSA Free

Certificate of Analysis

To download a Certificate of Analysis, please enter a lot number in the search box below.

Product Specific Notices for dsDNA Antibody (DSD/8204R) - Azide and BSA Free

This product is for research use only and is not approved for use in humans or in clinical diagnosis. Primary Antibodies are guaranteed for 1 year from date of receipt.

Loading...
Loading...
Loading...
Loading...