Skip to main content

DRG2 Antibody

Novus Biologicals, part of Bio-Techne | Catalog # NBP2-16227

Novus Biologicals, part of Bio-Techne
Catalog #
Availability
Size / Price
Qty
Loading...
NBP2-16227

Key Product Details

Species Reactivity

Validated:

Human

Cited:

Frog - Xenopus (African Clawed Frog)

Predicted:

Bovine (98%), Chicken (96%), Mouse (96%), Rhesus Macaque (98%), Zebrafish (92%). Backed by our 100% Guarantee.

Applications

Validated:

Immunohistochemistry, Immunohistochemistry-Paraffin, Western Blot

Cited:

Western Blot

Label

Unconjugated

Antibody Source

Polyclonal Rabbit IgG

Concentration

Concentrations vary lot to lot. See vial label for concentration. If unlisted please contact technical services.

Product Specifications

Immunogen

Recombinant protein encompassing a sequence within the center region of human DRG2. The exact sequence is proprietary.

Reactivity Notes

Xenopus laevis (94%). Use in Xenopus reported in scientific literature (PMID:31270137).

Localization

Cytoplasm

Clonality

Polyclonal

Host

Rabbit

Isotype

IgG

Theoretical MW

41 kDa.
Disclaimer note: The observed molecular weight of the protein may vary from the listed predicted molecular weight due to post translational modifications, post translation cleavages, relative charges, and other experimental factors.

Description

Novus Biologicals Rabbit DRG2 Antibody (NBP2-16227) is a polyclonal antibody validated for use in IHC and WB. Anti-DRG2 Antibody: Cited in 1 publication. All Novus Biologicals antibodies are covered by our 100% guarantee.

Scientific Data Images for DRG2 Antibody

Western Blot: DRG2 Antibody [NBP2-16227]

Western Blot: DRG2 Antibody [NBP2-16227]

Western Blot: DRG2 Antibody [NBP2-16227] - Sample (30 ug of whole cell lysate) A: Jurkat 10% SDS PAGE gel, diluted at 1:1000.
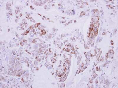
Immunohistochemistry-Paraffin: DRG2 Antibody [NBP2-16227]

Immunohistochemistry-Paraffin: DRG2 Antibody [NBP2-16227]

Immunohistochemistry-Paraffin: DRG2 Antibody [NBP2-16227] - Immunohistochemical analysis of paraffin-embedded Lung ca, using antibody at 1:500 dilution.

Applications for DRG2 Antibody

Application
Recommended Usage

Immunohistochemistry

1:100-1:1000

Immunohistochemistry-Paraffin

1:100-1:1000

Western Blot

1:500-1:3000

Formulation, Preparation, and Storage

Purification

Antigen Affinity-purified

Formulation

PBS, 1% BSA, 20% Glycerol

Preservative

0.01% Thimerosal

Concentration

Concentrations vary lot to lot. See vial label for concentration. If unlisted please contact technical services.

Shipping

The product is shipped with polar packs. Upon receipt, store it immediately at the temperature recommended below.

Stability & Storage

Aliquot and store at -20C or -80C. Avoid freeze-thaw cycles.

Background: DRG2

The DRG2 gene encodes the developmentally regulated GTP-binding protein 2, a name derived from the fact that it shares significant similarity to known GTP-binding proteins. DRG2 was identified because it is expressed in normal fibroblasts but not in SV40-transformed fibroblasts. Read-through transcripts containing this gene and a downstream gene have been identified, but they are not thought to encode a fusion protein. This gene is located within the Smith-Magenis syndrome region on chromosome 17. [provided by RefSeq]

Alternate Names

developmentally regulated GTP binding protein 2, developmentally regulated GTP-binding protein 2, developmentally-regulated GTP-binding protein 2, DRG-2

Gene Symbol

DRG2

UniProt

Additional DRG2 Products

Product Documents for DRG2 Antibody

Certificate of Analysis

To download a Certificate of Analysis, please enter a lot number in the search box below.

Product Specific Notices for DRG2 Antibody

This product is for research use only and is not approved for use in humans or in clinical diagnosis. Primary Antibodies are guaranteed for 1 year from date of receipt.

Loading...
Loading...
Loading...
Loading...

⚠ WARNING: This product can expose you to chemicals including mercury, which is known to the State of California to cause reproductive toxicity with developmental effects.  For more information go to www.P65Warnings.ca.gov.