Skip to main content

DPP9 Antibody (OTI2E3)

Novus Biologicals, part of Bio-Techne | Catalog # NBP2-01521

Novus Biologicals, part of Bio-Techne
Catalog #
Availability
Size / Price
Qty
Loading...
NBP2-01521

Key Product Details

Species Reactivity

Validated:

Human, Mouse, Rat

Cited:

Human

Applications

Validated:

Immunohistochemistry, Immunohistochemistry-Paraffin, Western Blot, Flow Cytometry

Cited:

Western Blot

Label

Unconjugated

Antibody Source

Monoclonal Mouse IgG1 Clone # OTI2E3

Concentration

0.71 mg/ml

Product Specifications

Immunogen

Full length human recombinant protein of human DPP9(NP_631898) produecd in HEK293T cell.

Reactivity Notes

Please note that this antibody is reactive to Mouse and derived from the same host, Mouse. Mouse-On-Mouse blocking reagent may be needed for IHC and ICC experiments to reduce high background signal. You can find these reagents under catalog numbers PK-2200-NB and MP-2400-NB. Please contact Technical Support if you have any questions.

Clonality

Monoclonal

Host

Mouse

Isotype

IgG1

Theoretical MW

96.4 kDa.
Disclaimer note: The observed molecular weight of the protein may vary from the listed predicted molecular weight due to post translational modifications, post translation cleavages, relative charges, and other experimental factors.

Scientific Data Images for DPP9 Antibody (OTI2E3)

Western Blot: DPP9 Antibody (2E3) [NBP2-01521] Analysis of extracts (35ug) from 9 different cell lines by using anti-DPP9 monoclonal antibody.
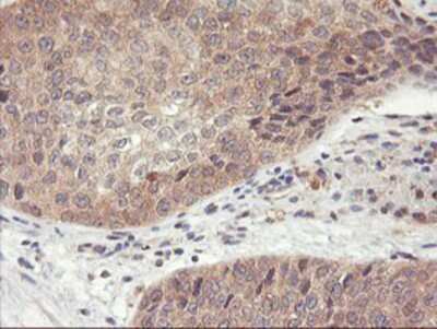
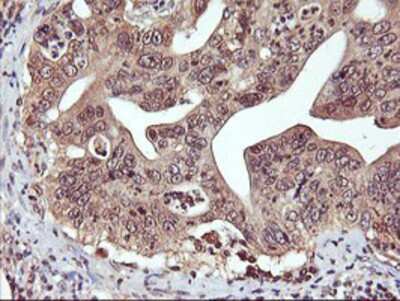
Immunohistochemistry-Paraffin: DPP9 Antibody (OTI2E3) [NBP2-01521]

Immunohistochemistry-Paraffin: DPP9 Antibody (OTI2E3) [NBP2-01521]

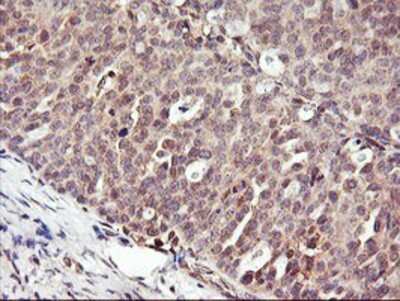
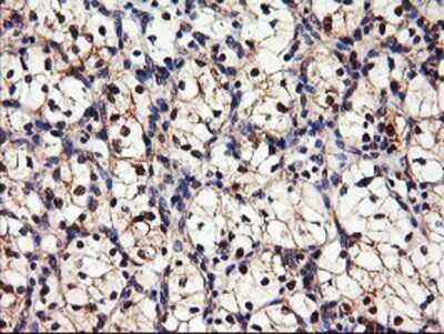
Immunohistochemistry-Paraffin: DPP9 Antibody (2E3) [NBP2-01521] - Staining of paraffin-embedded Human lymphoma tissue using anti-DPP9 mouse monoclonal antibody.
Flow Cytometry: DPP9 Antibody (OTI2E3) [NBP2-01521]

Flow Cytometry: DPP9 Antibody (OTI2E3) [NBP2-01521]

Flow Cytometry: DPP9 Antibody (2E3) [NBP2-01521] - Analysis of Jurkat cells, using anti-DPP9 antibody, (Red), compared to a nonspecific negative control antibody (Blue).

Applications for DPP9 Antibody (OTI2E3)

Application
Recommended Usage

Flow Cytometry

1:100

Immunohistochemistry

1:150

Immunohistochemistry-Paraffin

1:150

Western Blot

1:500-2000

Formulation, Preparation, and Storage

Purification

Immunogen affinity purified

Formulation

PBS (pH 7.3), 1.0% BSA and 50% Glycerol

Preservative

0.02% Sodium Azide

Concentration

0.71 mg/ml

Shipping

The product is shipped with polar packs. Upon receipt, store it immediately at the temperature recommended below.

Stability & Storage

Store at -20C. Avoid freeze-thaw cycles.

Background: DPP9

This gene encodes a protein that is a member of the S9B family in clan SC of the serine proteases. The protein has been shown to have post-proline dipeptidyl aminopeptidase activity, cleaving Xaa-Pro dipeptides from the N-termini of proteins. Although the activity of this protein is similar to that of dipeptidyl peptidase 4 (DPP4), it does not appear to be membrane bound. In general, dipeptidyl peptidases appear to be involved in the regulation of the activity of their substrates and have been linked to a variety of diseases including type 2 diabetes, obesity and cancer. Several transcript variants of this gene have been described but not fully characterized. [provided by RefSeq].

Long Name

Dipeptidyl peptidase 9

Alternate Names

DPLP9, DPRP2

Entrez Gene IDs

91039 (Human)

Gene Symbol

DPP9

Additional DPP9 Products

Product Documents for DPP9 Antibody (OTI2E3)

Certificate of Analysis

To download a Certificate of Analysis, please enter a lot number in the search box below.

Product Specific Notices for DPP9 Antibody (OTI2E3)

This product is for research use only and is not approved for use in humans or in clinical diagnosis. Primary Antibodies are guaranteed for 1 year from date of receipt.

Loading...
Loading...
Loading...
Loading...
Loading...