Skip to main content

DPP3 Antibody - BSA Free

Novus Biologicals, part of Bio-Techne | Catalog # NBP1-89493

Novus Biologicals, part of Bio-Techne
Catalog #
Availability
Size / Price
Qty
Loading...
NBP1-89493
NBP1-89493-25ul

Key Product Details

Validated by

Independent Antibodies

Species Reactivity

Human

Applications

Immunocytochemistry/ Immunofluorescence, Immunohistochemistry, Immunohistochemistry-Paraffin, Western Blot

Label

Unconjugated

Antibody Source

Polyclonal Rabbit IgG

Format

BSA Free

Concentration

Concentrations vary lot to lot. See vial label for concentration. If unlisted please contact technical services.

Product Specifications

Immunogen

This antibody was developed against Recombinant Protein corresponding to amino acids: YFSGNCTMEDAKLAQDFLDSQNLSAYNTRLFKEVDGEGKPYYEVRLASVLGSEPSLDSEVTSKLKSYEFRGSPFQVTRGDYAPILQKVVEQLEKAKAYAANSH

Reactivity Notes

Immunogen displays the following percentage of sequence identity for non-tested species: Mouse (84%), Rat (84%)

Clonality

Polyclonal

Host

Rabbit

Isotype

IgG

Description

Novus Biologicals Rabbit DPP3 Antibody - BSA Free (NBP1-89493) is a polyclonal antibody validated for use in IHC, WB and ICC/IF. All Novus Biologicals antibodies are covered by our 100% guarantee.

Scientific Data Images for DPP3 Antibody - BSA Free

Immunocytochemistry/ Immunofluorescence: DPP3 Antibody [NBP1-89493]

Immunocytochemistry/ Immunofluorescence: DPP3 Antibody [NBP1-89493]

Immunocytochemistry/Immunofluorescence: DPP3 Antibody [NBP1-89493] - Immunofluorescent staining of human cell line U-2 OS shows localization to nuclear speckles, plasma membrane & cytosol.
Immunohistochemistry-Paraffin: DPP3 Antibody [NBP1-89493]

Immunohistochemistry-Paraffin: DPP3 Antibody [NBP1-89493]

Immunohistochemistry-Paraffin: DPP3 Antibody [NBP1-89493] - Staining of human vulva/anal skin shows strong cytoplasmic positivity in squamous epithelial cells.
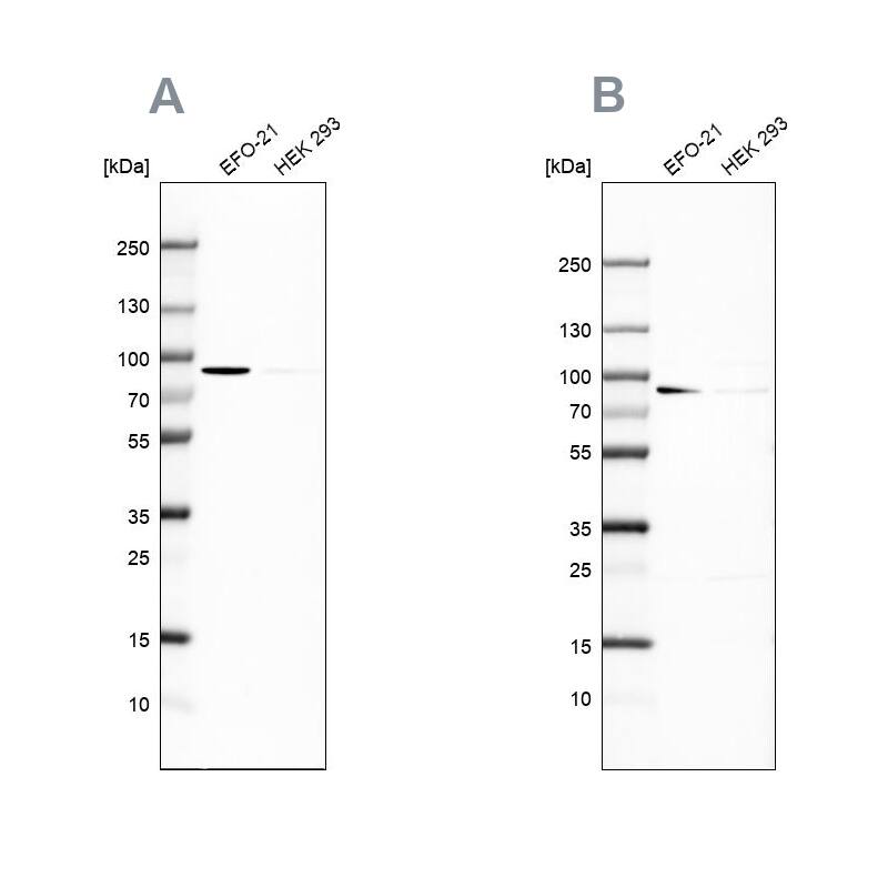
DPP3 Antibody - BSA Free Western Blot: DPP3 Antibody - BSA Free [NBP1-89493]

Western Blot: DPP3 Antibody - BSA Free [NBP1-89493]

Analysis using Anti-DPP3 antibody NBP1-89493 (A) shows similar pattern to independent antibody NBP2-34021 (B).

Applications for DPP3 Antibody - BSA Free

Application
Recommended Usage

Immunocytochemistry/ Immunofluorescence

0.25-2 ug/ml

Immunohistochemistry

1:500 - 1:1000

Immunohistochemistry-Paraffin

1:500 - 1:1000

Western Blot

0.04-0.4 ug/ml
Application Notes
For IHC-Paraffin, HIER pH 6 retrieval is recommended. Immunocytochemistry/Immunofluorescence Fixation Permeabilization: Use PFA/Triton X-100.

Formulation, Preparation, and Storage

Purification

Immunogen affinity purified

Formulation

PBS (pH 7.2) and 40% Glycerol

Format

BSA Free

Preservative

0.02% Sodium Azide

Concentration

Concentrations vary lot to lot. See vial label for concentration. If unlisted please contact technical services.

Shipping

The product is shipped with polar packs. Upon receipt, store it immediately at the temperature recommended below.

Stability & Storage

Store at 4C short term. Aliquot and store at -20C long term. Avoid freeze-thaw cycles.

Background: DPP3

DPP3 encodes a protein that is a member of the S9B family in clan SC of the serine proteases. This cytoplasmic protein binds a single zinc ion with its zinc-binding motif (HELLGH) and has post-proline dipeptidyl aminopeptidase activity, cleaving Xaa-Pro dipeptides from the N-termini of proteins. Increased activity of this protein is associated with endometrial and ovarian cancers. Alternate transcriptional splice variants have been characterized. [provided by RefSeq]

Long Name

Dipeptidyl-peptidase 3

Alternate Names

DPPIII

Gene Symbol

DPP3

Additional DPP3 Products

Product Documents for DPP3 Antibody - BSA Free

Certificate of Analysis

To download a Certificate of Analysis, please enter a lot number in the search box below.

Product Specific Notices for DPP3 Antibody - BSA Free

This product is for research use only and is not approved for use in humans or in clinical diagnosis. Primary Antibodies are guaranteed for 1 year from date of receipt.

Loading...
Loading...
Loading...
Loading...