Skip to main content

DPM1 Antibody

Novus Biologicals, part of Bio-Techne | Catalog # NBP1-05034

Novus Biologicals, part of Bio-Techne
Catalog #
Availability
Size / Price
Qty
Loading...
NBP1-05034

Key Product Details

Species Reactivity

Human

Applications

Immunohistochemistry, Immunohistochemistry-Paraffin, Western Blot, Peptide ELISA

Label

Unconjugated

Antibody Source

Polyclonal Goat IgG

Concentration

0.5 mg/ml

Product Specifications

Immunogen

Peptide with sequence RELEVRSPRQNKYS-C corresponding to N-Terminus according to NP_003850.1.

Epitope

N Terminus

Clonality

Polyclonal

Host

Goat

Isotype

IgG

Description

Novus Biologicals Goat DPM1 Antibody (NBP1-05034) is a polyclonal antibody validated for use in IHC, WB and ELISA. Anti-DPM1 Antibody: Cited in 1 publication. All Novus Biologicals antibodies are covered by our 100% guarantee.

Scientific Data Images for DPM1 Antibody

Western Blot: DPM1 Antibody [NBP1-05034]

Western Blot: DPM1 Antibody [NBP1-05034]

Western Blot: DPM1 Antibody [NBP1-05034] - (0.1ug/ml) staining of Human Liver lysate (35ug protein in RIPA buffer). Primary incubation was 1 hour. Detected by chemiluminescence.
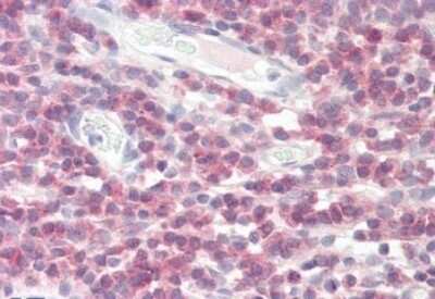
Immunohistochemistry-Paraffin: DPM1 Antibody [NBP1-05034]

Immunohistochemistry-Paraffin: DPM1 Antibody [NBP1-05034]

Immunohistochemistry-Paraffin: DPM1 Antibody [NBP1-05034] - (3.75ug/ml) staining of paraffin embedded Human Tonsil. Steamed antigen retrieval with citrate buffer pH 6, AP-staining.

Applications for DPM1 Antibody

Application
Recommended Usage

Immunohistochemistry-Paraffin

3.75 ug/ml

Peptide ELISA

Detection limit 1:32000

Western Blot

0.1-0.3 ug/ml
Application Notes
Western blot: Approx. 28kDa band observed in Human Liver lysates (calculated MW of 29.6kDa according to NP_003850.1). Primary incubation was 1 hour.
IHC: Paraffin embedded Human Tonsil.).

Formulation, Preparation, and Storage

Purification

Immunogen affinity purified

Formulation

Tris saline (20 mM Tris pH 7.3, 150 mM NaCl), 0.5% BSA

Preservative

0.02% Sodium Azide

Concentration

0.5 mg/ml

Shipping

The product is shipped with polar packs. Upon receipt, store it immediately at the temperature recommended below.

Stability & Storage

Store at -20C. Avoid freeze-thaw cycles.

Background: DPM1

Dolichol-phosphate mannose (Dol-P-Man) serves as a donor of mannosyl residues on the lumenal side of the endoplasmic reticulum (ER). Lack of Dol-P-Man results in defective surface expression of GPI-anchored proteins. Dol-P-Man is synthesized from GDP-mannose and dolichol-phosphate on the cytosolic side of the ER by the enzyme dolichyl-phosphate mannosyltransferase. Human DPM1 lacks a carboxy-terminal transmembrane domain and signal sequence and is regulated by DPM2. [provided by RefSeq]

Alternate Names

CDGIEEC 2.4.1.83, dolichol monophosphate mannose synthase, dolichol-phosphate mannosyltransferase, Dolichyl-phosphate beta-D-mannosyltransferase, dolichyl-phosphate mannosyltransferase polypeptide 1, catalytic subunit, DPM synthase, Mannose-P-dolichol synthase, MPD synthase, MPDSDolichol-phosphate mannose synthase

Entrez Gene IDs

8813 (Human)

Gene Symbol

DPM1

Additional DPM1 Products

Product Documents for DPM1 Antibody

Certificate of Analysis

To download a Certificate of Analysis, please enter a lot number in the search box below.

Product Specific Notices for DPM1 Antibody

This product is for research use only and is not approved for use in humans or in clinical diagnosis. Primary Antibodies are guaranteed for 1 year from date of receipt.

Loading...
Loading...
Loading...
Loading...