Skip to main content

Doublecortin Antibody (2G5) - BSA Free

Novus Biologicals, part of Bio-Techne | Catalog # NBP2-37476

Novus Biologicals, part of Bio-Techne
Catalog #
Availability
Size / Price
Qty
Loading...
NBP2-37476-0.025ml
NBP2-37476

Key Product Details

Species Reactivity

Validated:

Human, Mouse

Predicted:

Rat (91%). Backed by our 100% Guarantee.

Applications

Multiplex Immunofluorescence, Immunohistochemistry, Immunohistochemistry-Paraffin, Western Blot, ELISA, Flow Cytometry, Immunocytochemistry/ Immunofluorescence

Label

Unconjugated

Antibody Source

Monoclonal Mouse IgG1 Clone # 2G5

Format

BSA Free

Concentration

1 mg/ml

Product Specifications

Immunogen

Purified recombinant fragment of human Doublecortin (AA: 362-411) expressed in E. Coli.

Reactivity Notes

Reacts with Human and Mouse. Predicted to react with Rat (91%).

Localization

Cell projection, Cytoplasm, Microtubule

Specificity

Doublecortin's Isoform a (NP_000546.2) and other isoforms.

Clonality

Monoclonal

Host

Mouse

Isotype

IgG1

Theoretical MW

49.3 kDa.
Disclaimer note: The observed molecular weight of the protein may vary from the listed predicted molecular weight due to post translational modifications, post translation cleavages, relative charges, and other experimental factors.

Description

Please note that this antibody is reactive to Mouse and derived from the same host, Mouse. Additional Mouse on Mouse blocking steps may be required for IHC and ICC experiments. Please contact Technical Support for more information.

Scientific Data Images for Doublecortin Antibody (2G5) - BSA Free

Western Blot: Doublecortin Antibody (2G5)BSA Free [NBP2-37476]

Western Blot: Doublecortin Antibody (2G5)BSA Free [NBP2-37476]

Western Blot: Doublecortin Antibody (2G5) [NBP2-37476] - Analysis using DCX mouse mAb against Mouse heart (1) lysate.
Immunocytochemistry/ Immunofluorescence: Doublecortin Antibody (2G5) - BSA Free [NBP2-37476]

Immunocytochemistry/ Immunofluorescence: Doublecortin Antibody (2G5) - BSA Free [NBP2-37476]

Immunocytochemistry/Immunofluorescence: Doublecortin Antibody (2G5) [NBP2-37476] - Immunofluorescence analysis of HepG2 cells using DCX mouse mAb (green). Blue: DRAQ5 fluorescent DNA dye.
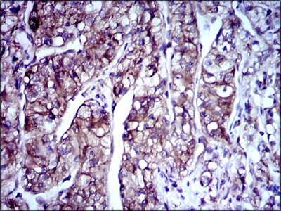
Immunohistochemistry-Paraffin: Doublecortin Antibody (2G5) - BSA Free [NBP2-37476]

Immunohistochemistry-Paraffin: Doublecortin Antibody (2G5) - BSA Free [NBP2-37476]

Immunohistochemistry-Paraffin: Doublecortin Antibody (2G5) [NBP2-37476] - Analysis of kidney cancer tissues using DCX mouse mAb with DAB staining.

Applications for Doublecortin Antibody (2G5) - BSA Free

Application
Recommended Usage

ELISA

1:10000

Flow Cytometry

1:200 - 1:400

Immunocytochemistry/ Immunofluorescence

1:200 - 1:1000

Immunohistochemistry

1:200 - 1:1000

Immunohistochemistry-Paraffin

1:200 - 1:1000

Western Blot

1:500 - 1:2000
Application Notes
Doublecortin's Isoform a (NP_000546.2) is larger than other isoforms and this antibody may detect other isoforms of this protein.

Formulation, Preparation, and Storage

Purification

Protein G purified

Formulation

PBS

Format

BSA Free

Preservative

0.05% Sodium Azide

Concentration

1 mg/ml

Shipping

The product is shipped with polar packs. Upon receipt, store it immediately at the temperature recommended below.

Stability & Storage

Store at 4C short term. Aliquot and store at -20C long term. Avoid freeze-thaw cycles.

Background: Doublecortin/DCX

In the developing cortex, cortical neurons must migrate over long distances to reach the site of their final differentiation. The protein encoded by this gene is a cytoplasmic protein which appears to direct neuronal migration by regulating the organization and stability of microtubules. The encoded protein contains two doublecortin domains, which bind microtubules. In addition, the encoded protein interacts with LIS1, the regulatory gamma subunit of platelet activating factor acetylhydrolase, and this interaction is important to proper microtubule function in the developing cortex. Mutations in this gene are a cause of X-linked lissencephaly. Multiple transcript variants encoding at least three different isoforms have been found for this gene.

Long Name

Doublecortin

Alternate Names

DBCN, Doublecortex, Doublin, Lis-X, LISX

Gene Symbol

DCX

Additional Doublecortin/DCX Products

Product Documents for Doublecortin Antibody (2G5) - BSA Free

Certificate of Analysis

To download a Certificate of Analysis, please enter a lot number in the search box below.

Product Specific Notices for Doublecortin Antibody (2G5) - BSA Free

This product is for research use only and is not approved for use in humans or in clinical diagnosis. Primary Antibodies are guaranteed for 1 year from date of receipt.

Loading...
Loading...
Loading...
Loading...
Loading...