Skip to main content

DORFIN Antibody - BSA Free

Novus Biologicals, part of Bio-Techne | Catalog # NBP1-87989

Novus Biologicals, part of Bio-Techne
Catalog #
Availability
Size / Price
Qty
Loading...
NBP1-87989
NBP1-87989-25ul

Key Product Details

Species Reactivity

Validated:

Human

Predicted:

Mouse (98%), Rat (93%). Backed by our 100% Guarantee.

Applications

Immunohistochemistry, Immunohistochemistry-Paraffin, Western Blot

Label

Unconjugated

Antibody Source

Polyclonal Rabbit IgG

Format

BSA Free

Concentration

Concentrations vary lot to lot. See vial label for concentration. If unlisted please contact technical services.

Product Specifications

Immunogen

This antibody was developed against Recombinant Protein corresponding to amino acids: EMCTDKNSIFSTNTSSDNGLTSISKQIGDFIECPLCLLRHSKDRFPDIMTCHHRSCVDCL

Clonality

Polyclonal

Host

Rabbit

Isotype

IgG

Scientific Data Images for DORFIN Antibody - BSA Free

Immunohistochemistry-Paraffin: DORFIN Antibody [NBP1-87989]

Immunohistochemistry-Paraffin: DORFIN Antibody [NBP1-87989]

Immunohistochemistry-Paraffin: DORFIN Antibody [NBP1-87989] - Staining of human prostate shows strong cytoplasmic positivity in smooth muscle cells.
Immunohistochemistry-Paraffin: DORFIN Antibody [NBP1-87989]

Immunohistochemistry-Paraffin: DORFIN Antibody [NBP1-87989]

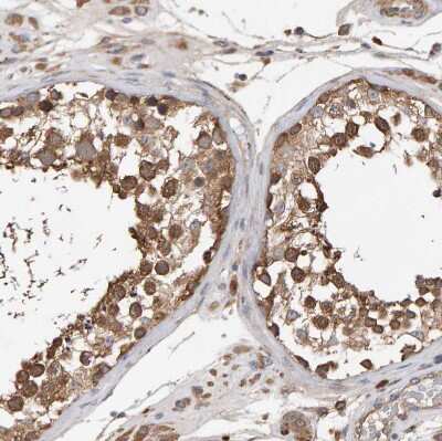
Immunohistochemistry-Paraffin: DORFIN Antibody [NBP1-87989] - Staining of human testis shows strong cytoplasmic positivity in cells in seminiferous ducts.
DORFIN Antibody - BSA Free Western Blot: DORFIN Antibody - BSA Free [NBP1-87989]

Western Blot: DORFIN Antibody - BSA Free [NBP1-87989]

Lane 1: Marker [kDa] 230, 130, 95, 72, 56, 36, 28, 17, 11
Lane 2: Human cell line RT-4
Lane 3: Human cell line U-251MG sp

Applications for DORFIN Antibody - BSA Free

Application
Recommended Usage

Immunohistochemistry

1:20 - 1:50

Immunohistochemistry-Paraffin

1:20 - 1:50

Western Blot

0.04-0.4 ug/ml
Application Notes
For IHC-Paraffin, HIER pH 6 retrieval is recommended.

Formulation, Preparation, and Storage

Purification

Affinity purified

Formulation

PBS (pH 7.2) and 40% Glycerol

Format

BSA Free

Preservative

0.02% Sodium Azide

Concentration

Concentrations vary lot to lot. See vial label for concentration. If unlisted please contact technical services.

Shipping

The product is shipped with polar packs. Upon receipt, store it immediately at the temperature recommended below.

Stability & Storage

Store at 4C short term. Aliquot and store at -20C long term. Avoid freeze-thaw cycles.

Background: DORFIN

Dorfin is an E3 ubiquitin ligase which mediates ubiquitination of cellular proteins. Dorfin contains two RING-finger motifs and an IBR (in between RING fingers) motif. Dorfin interacts with UBE2L3/UBCH7 and UBE2E2/UBCH8, but not other ubiquitin-conjugating enzymes. Dorfin is of interest in Parkinson's Disease, as it binds and ubiquitylates synphilin 1 (SNCAIP - interacts with alpha synuclein) in neurons. Furthermore, Dorfin expression is increased in Lewy bodies, the characteristic neuronal inclusions in Parkinson's diseased brains. In normal subjects, Dorfin is widely expressed at low levels with higher levels found in the heart and is ubiquitously expressed in the central nervous system. Alternatively spliced transcript variants encoding the same protein have been reported.

Alternate Names

DKFZp566B1346, DORFIN, Double ring-finger protein, E3 ubiquitin-protein ligase RNF19A, EC 6.3.2, EC 6.3.2.-, p38, protein p38 interacting with transcription factor Sp1, ring finger protein 19, RING finger protein 19 isoform, ring finger protein 19Ap38 protein, ring-IBR-ring domain containing protein Dorfin, RNF19

Gene Symbol

RNF19A

Additional DORFIN Products

Product Documents for DORFIN Antibody - BSA Free

Certificate of Analysis

To download a Certificate of Analysis, please enter a lot number in the search box below.

Product Specific Notices for DORFIN Antibody - BSA Free

This product is for research use only and is not approved for use in humans or in clinical diagnosis. Primary Antibodies are guaranteed for 1 year from date of receipt.

Loading...
Loading...
Loading...
Loading...