Skip to main content

DOK1 [p Tyr362] Antibody - BSA Free

Novus Biologicals, part of Bio-Techne | Catalog # NB100-82112

Novus Biologicals, part of Bio-Techne
Catalog #
Availability
Size / Price
Qty
Loading...
NB100-82112
NB100-82112-0.025ml

Key Product Details

Validated by

Biological Validation

Species Reactivity

Human, Mouse, Rat

Applications

Immunohistochemistry, Immunohistochemistry-Paraffin, Western Blot

Label

Unconjugated

Antibody Source

Polyclonal Rabbit IgG

Format

BSA Free

Concentration

1.0 mg/ml

Product Specifications

Immunogen

The antiserum was produced against synthesized phosphopeptide derived from human DOK1 around the phosphorylation site of tyrosine 362 (P-I-YP-D-E).

Modification

p Tyr362

Specificity

Detects endogenous levels of DOK1 only when phosphorylated at tyrosine 362.

Clonality

Polyclonal

Host

Rabbit

Isotype

IgG

Theoretical MW

55 kDa.
Disclaimer note: The observed molecular weight of the protein may vary from the listed predicted molecular weight due to post translational modifications, post translation cleavages, relative charges, and other experimental factors.

Description

Novus Biologicals Rabbit DOK1 [p Tyr362] Antibody - BSA Free (NB100-82112) is a polyclonal antibody validated for use in IHC and WB. All Novus Biologicals antibodies are covered by our 100% guarantee.

Scientific Data Images for DOK1 [p Tyr362] Antibody - BSA Free

Western Blot: DOK1 [p Tyr362] Antibody [NB100-82112] -

Western Blot: DOK1 [p Tyr362] Antibody [NB100-82112] - Analysis of extracts from Jurkat cells untreated or treated with insulin using NB100-82112

Western Blot: DOK1 [p Tyr362] Antibody [NB100-82112] -

Western Blot: DOK1 [p Tyr362] Antibody [NB100-82112] - Western blot analysis of extracts from JK cells, treated with G-CSF or calf intestinal phosphatase (CIP)
DOK1 [p Tyr362] Antibody - BSA Free

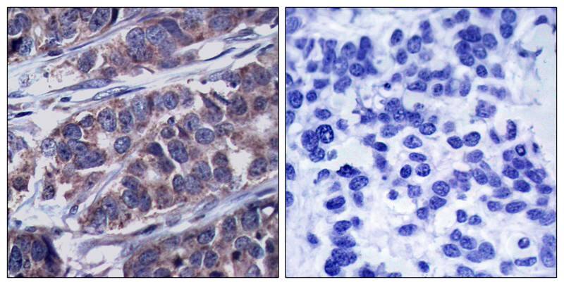
Immunohistochemistry-Paraffin: DOK1 [p Tyr362] Antibody [NB100-82112] -

Immunohistochemistry-Paraffin: DOK1 [p Tyr362] Antibody [NB100-82112] - Immunohistochemical analysis of paraffin-embedded human breast carcinoma tissue, using NB100-82112(left) or the same antibody preincubated with blocking peptide (right).

Applications for DOK1 [p Tyr362] Antibody - BSA Free

Application
Recommended Usage

Immunohistochemistry

1:50-1:100

Immunohistochemistry-Paraffin

1:50-1:100

Western Blot

1:500-1:1000

Formulation, Preparation, and Storage

Purification

Immunogen affinity purified

Formulation

PBS (without Mg2+ and Ca2+), pH 7.4, 150 mM NaCl, 50% glycerol

Format

BSA Free

Preservative

0.02% Sodium Azide

Concentration

1.0 mg/ml

Shipping

The product is shipped with polar packs. Upon receipt, store it immediately at the temperature recommended below.

Stability & Storage

Store at 4C short term. Aliquot and store at -20C long term. Avoid freeze-thaw cycles.

Background: DOK1

DOK1 (P62dok, Docking protein 1) is believed to be a mainly cytoplasmic adaptor protein which down-regulates mitogen-activated protein kinase activation, inhibits cell proliferation and transformation, and promotes cell spreading and cell migration. DOK1 is a major substrate for many tyrosine kinases including c-kit, v-abl, vFPS, EGF, and PDGF. Upon phosphorylation by kinases, DOK1 forms a complex with ras GTPase-activating protein. Phosphorylation on tyrosine residues by the insulin receptor kinase results in the negative regulation of the insulin signaling pathway. DOK1 contains a putative pleckstrin homology domain at the amino terminus and ten PXXP SH3 recognition motifs.

Alternate Names

docking protein 1, docking protein 1 (downstream of tyrosine kinase 1), docking protein 1, 62kD (downstream of tyrosine kinase 1), docking protein 1, 62kDa (downstream of tyrosine kinase 1), Downstream of tyrosine kinase 1, MGC117395, MGC138860, p62(dok), p62dok, pp62

Entrez Gene IDs

1796 (Human); 312477 (Rat)

Gene Symbol

DOK1

UniProt

Additional DOK1 Products

Product Documents for DOK1 [p Tyr362] Antibody - BSA Free

Certificate of Analysis

To download a Certificate of Analysis, please enter a lot number in the search box below.

Product Specific Notices for DOK1 [p Tyr362] Antibody - BSA Free

This product is for research use only and is not approved for use in humans or in clinical diagnosis. Primary Antibodies are guaranteed for 1 year from date of receipt.

Loading...
Loading...
Loading...
Loading...