Skip to main content

Dnmt3L Antibody

Novus Biologicals, part of Bio-Techne | Catalog # NBP2-27098

Novus Biologicals, part of Bio-Techne
Catalog #
Availability
Size / Price
Qty
Loading...
NBP2-27098SS
NBP2-27098

Key Product Details

Species Reactivity

Validated:

Human, Primate

Cited:

Human

Predicted:

Chimpanzee (100%), Rhesus Macaque (94%). Backed by our 100% Guarantee.

Applications

Validated:

Immunohistochemistry, Immunohistochemistry-Paraffin, Western Blot, Immunocytochemistry/ Immunofluorescence

Cited:

Immunocytochemistry/ Immunofluorescence, IF/IHC

Label

Unconjugated

Antibody Source

Polyclonal Rabbit IgG

Concentration

0.5 mg/ml

Product Specifications

Immunogen

A portion of amino acids 130-180 from human Dnmt3L was used as the immunogen for this antibody.

Reactivity Notes

The amino acid sequence used as immunogen for this antibody is 94% in Macaque, and White-cheeked Gibbon, 89% in Bovine, New World Monkey, Chinese Hamster, Equine, Rat, and Porcine, and 83% in Canine, and Mouse.

Clonality

Polyclonal

Host

Rabbit

Isotype

IgG

Description

Novus Biologicals Rabbit Dnmt3L Antibody (NBP2-27098) is a polyclonal antibody validated for use in IHC, WB and ICC/IF. Anti-Dnmt3L Antibody: Cited in 2 publications. All Novus Biologicals antibodies are covered by our 100% guarantee.

Scientific Data Images for Dnmt3L Antibody

Western Blot: Dnmt3L Antibody [NBP2-27098]

Western Blot: Dnmt3L Antibody [NBP2-27098]

Western Blot: Dnmt3L Antibody [NBP2-27098] - Analysis of Dnmt3L using Dnmt3L antibody. GST tagged full length recombinant human Dnmt3L probed with 1) prebleed and 2) Dnmt3L antibody at 2 ug/ml. Goat anti-rabbit Ig HRP secondary antibody and PicoTect ECL substrate solution were used for this test.
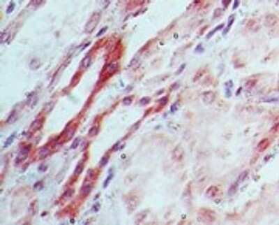
Immunohistochemistry-Paraffin: Dnmt3L Antibody [NBP2-27098]

Immunohistochemistry-Paraffin: Dnmt3L Antibody [NBP2-27098]

Immunohistochemistry-Paraffin: Dnmt3L Antibody [NBP2-27098] - Analysis of Dnmt3L in human kidney using Dnmt3L antibody at 5 ug/ml.

Applications for Dnmt3L Antibody

Application
Recommended Usage

Immunocytochemistry/ Immunofluorescence

reported in scientific literature (PMID 24529261)

Immunohistochemistry-Paraffin

5ug/ml

Western Blot

2-4ug/ml~

Formulation, Preparation, and Storage

Purification

Protein A purified

Formulation

PBS and 0.05% BSA

Preservative

0.05% Sodium Azide

Concentration

0.5 mg/ml

Shipping

The product is shipped with polar packs. Upon receipt, store it immediately at the temperature recommended below.

Stability & Storage

Store at 4C short term. Aliquot and store at -20C long term. Avoid freeze-thaw cycles.

Background: Dnmt3L

DNMT3L is a nuclear DNA methyltransferase (DNMT)-like protein. DNMTs are a family of enzymes that catalyze the transfer of a methyl group to DNA, a covalent genomic modification mechanism has a wide range of biological functions. DNMTs are most well recognized for regulating and maintaining genomic imprinting, a germline-specific epigenetic genome process involving both DNA methylation and histone modifications. Imprinting results in certain genes being expressed in a parent-of-origin manner and is essential for normal development. Three active DNMTs have been identified in mammals, DNMT1, DNMT3A and DNMT3B. However, DNMT3L lacks the amino acid residues necessary for methyltransferase activity and is catalytically inactive. Hence, DNMT3L cannot directly methylate DNA. Rather, DNMT3L is thought to function as a regulator of DNA methylation. For example, DNMT3L co-localizes with DNMT3a and DNMT3b in the nucleus and stimulates their activity through protein-protein interactions possibly by anchoring the DNMTs to the chromatin. DNMT3L is thought to be required for maternal genomic imprints and there is evidence that DNMT3L also mediates transcriptional repression through interaction with histone deacetylase 1. Dysregulation of DNMT3L has been associated with cancer, and hence DNMT3L may play an important role in aberrant gene expression during carcinogenesis through alteration of methylation patterns.

Alternate Names

DNA (cytosine-5-)-methyltransferase 3-like, DNA (cytosine-5)-methyltransferase 3-like, human cytosine-5-methyltransferase 3-like protein, 10cytosine-5-methyltransferase 3-like protein, MGC1090

Gene Symbol

DNMT3L

UniProt

Additional Dnmt3L Products

Product Documents for Dnmt3L Antibody

Certificate of Analysis

To download a Certificate of Analysis, please enter a lot number in the search box below.

Product Specific Notices for Dnmt3L Antibody

This product is for research use only and is not approved for use in humans or in clinical diagnosis. Primary Antibodies are guaranteed for 1 year from date of receipt.

Loading...
Loading...
Loading...
Loading...