Skip to main content

Dnmt2 Antibody - BSA Free

Novus Biologicals, part of Bio-Techne | Catalog # NBP2-47483

Novus Biologicals, part of Bio-Techne
Catalog #
Availability
Size / Price
Qty
Loading...
NBP2-47483
NBP2-47483-25ul

Key Product Details

Species Reactivity

Human

Applications

Immunohistochemistry, Immunohistochemistry-Paraffin, Western Blot

Label

Unconjugated

Antibody Source

Polyclonal Rabbit IgG

Format

BSA Free

Concentration

Concentrations vary lot to lot. See vial label for concentration. If unlisted please contact technical services.

Product Specifications

Immunogen

This antibody was developed against a recombinant protein corresponding to amino acids: RVLELYSGVGGMHHALRESCIPAQVVAAIDVNTVANEVYKYNFPHTQLLAKTIEGITLEEFDRLSFDMILMSPPCQPFTRIGRQGDMTDSRT

Reactivity Notes

Immunogen displays the following percentage of sequence identity for non-tested species: Mouse (87%), Rat (86%)

Clonality

Polyclonal

Host

Rabbit

Isotype

IgG

Description

Novus Biologicals Rabbit Dnmt2 Antibody - BSA Free (NBP2-47483) is a polyclonal antibody validated for use in IHC and WB. All Novus Biologicals antibodies are covered by our 100% guarantee.

Scientific Data Images for Dnmt2 Antibody - BSA Free

Western Blot: Dnmt2 Antibody [NBP2-47483]

Western Blot: Dnmt2 Antibody [NBP2-47483]

Western Blot: Dnmt2 Antibody [NBP2-47483] - Lane 1: Marker [kDa] 230, 130, 95, 72, 56, 36, 28, 17, 11. Lane 2: Human cell line RT-4. Lane 3: Human cell line U-251 MG
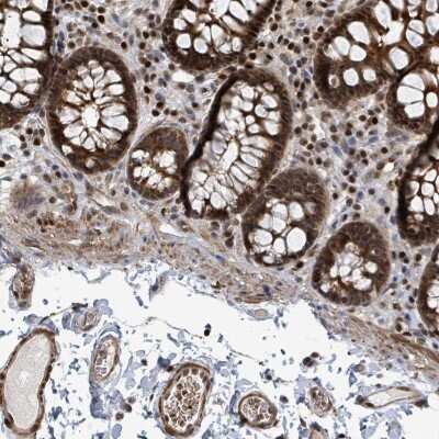
Immunohistochemistry: Dnmt2 Antibody [NBP2-47483]

Immunohistochemistry: Dnmt2 Antibody [NBP2-47483]

Immunohistochemistry: Dnmt2 Antibody [NBP2-47483] - Staining of human colon tissue. Shows cytoplasmic and nuclear positivity in glandular cells.

Applications for Dnmt2 Antibody - BSA Free

Application
Recommended Usage

Immunohistochemistry

1:50 - 1:200

Immunohistochemistry-Paraffin

1:50 - 1:200

Western Blot

0.04-0.4 ug/ml
Application Notes
For IHC-Paraffin, HIER pH 6 retrieval is recommended.

Formulation, Preparation, and Storage

Purification

Immunogen affinity purified

Formulation

PBS (pH 7.2) and 40% Glycerol

Format

BSA Free

Preservative

0.02% Sodium Azide

Concentration

Concentrations vary lot to lot. See vial label for concentration. If unlisted please contact technical services.

Shipping

The product is shipped with polar packs. Upon receipt, store it immediately at the temperature recommended below.

Stability & Storage

Store at 4C short term. Aliquot and store at -20C long term. Avoid freeze-thaw cycles.

Background: Dnmt2

tRNA aspartic acid methyltransferase 1 (TRDMT1), also known as DNMT2, is a DNA methyltransferase homolog that does not methylate DNA. Instead DNMT-2 methylates cytosine-38 in the anticodon loop of aspartic acid transfer RNA. Spec ifically, DNMT-2 methylates cytosine 38 in the anticodon loop of tRNA(Asp)

DNMT2 antibodies are useful for RNA research, cell replication studies, and research on certian cancers.

Alternate Names

DMNT2, DNA (cytosine-5-)-methyltransferase 2, DNA (cytosine-5)-methyltransferase-like protein 2, DNA methyltransferase homolog HsaIIP, DNA methyltransferase-2, DNA MTase homolog HsaIIP, DNMT2, EC 2.1.1, EC 2.1.1.29, M.HsaIIP, MHSAIIP, PUMET, RNMT1, tRNA (cytosine-5-)-methyltransferase, tRNA aspartic acid methyltransferase 1

Gene Symbol

TRDMT1

Additional Dnmt2 Products

Product Documents for Dnmt2 Antibody - BSA Free

Certificate of Analysis

To download a Certificate of Analysis, please enter a lot number in the search box below.

Product Specific Notices for Dnmt2 Antibody - BSA Free

This product is for research use only and is not approved for use in humans or in clinical diagnosis. Primary Antibodies are guaranteed for 1 year from date of receipt.

Loading...
Loading...
Loading...
Loading...