Skip to main content

DNMT1 Antibody - Azide and BSA Free

Novus Biologicals, part of Bio-Techne | Catalog # NBP2-98763

Novus Biologicals, part of Bio-Techne

Key Product Details

Species Reactivity

Human

Applications

Immunocytochemistry/ Immunofluorescence, Immunohistochemistry-Paraffin

Label

Unconjugated

Antibody Source

Polyclonal Rabbit IgG

Format

Azide and BSA Free

Concentration

Please see the vial label for concentration. If unlisted please contact technical services.

Product Specifications

Immunogen

Produced in rabbits immunized with a synthetic peptide corresponding to the N-terminus of the Human DNMT1.

Clonality

Polyclonal

Host

Rabbit

Isotype

IgG

Description

This antibody can be stored at 2C to 8C for one month without detectable loss of activity. Antibody products are stable for twelve months from date of receipt when stored at -20C to -80C. Avoid repeated freeze-thaw cycles.

Scientific Data Images for DNMT1 Antibody - Azide and BSA Free

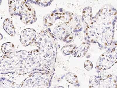
Immunohistochemistry-Paraffin: DNMT1 Antibody [NBP2-98763]

Immunohistochemistry-Paraffin: DNMT1 Antibody [NBP2-98763]

Immunohistochemistry-Paraffin: DNMT1 Antibody [NBP2-98763] - Immunochemical staining of human DNMT1 in human placenta with rabbit polyclonal antibody (1:500, formalin-fixed paraffin embedded sections).
Immunohistochemistry-Paraffin: DNMT1 Antibody [NBP2-98763]

Immunohistochemistry-Paraffin: DNMT1 Antibody [NBP2-98763]

Immunohistochemistry-Paraffin: DNMT1 Antibody [NBP2-98763] - Immunochemical staining of human DNMT1 in human brain with rabbit polyclonal antibody (1:500, formalin-fixed paraffin embedded sections).
DNMT1 Antibody - Azide and BSA Free

Immunocytochemistry/Immunofluorescence: DNMT1 Antibody [NBP2-98763] -

Immunocytochemistry/Immunofluorescence: DNMT1 Antibody [NBP2-98763] - Immunofluorescence staining of DNMT1 in HeLa cells. Cells were fixed with 4% PFA, permeabilzed with 0.3% Triton X-100 in PBS, blocked with 10% serum, and incubated with NBP2-98763 antibody (1:1000) at 4C overnight. Then cells were stained with the Alexa Fluor(R)594-conjugated Goat Anti-rabbit IgG secondary antibody (red). Positive staining was localized to nucleus.

Applications for DNMT1 Antibody - Azide and BSA Free

Application
Recommended Usage

Immunocytochemistry/ Immunofluorescence

1:300-1:10000

Immunohistochemistry-Paraffin

1:250-1:1000

Formulation, Preparation, and Storage

Purification

Antigen and protein A Affinity-purified

Formulation

0.2 um filtered solution in PBS

Format

Azide and BSA Free

Preservative

No Preservative

Concentration

Please see the vial label for concentration. If unlisted please contact technical services.

Shipping

The product is shipped with polar packs. Upon receipt, store it immediately at the temperature recommended below.

Stability & Storage

Store at 4C short term. Aliquot and store at -20C long term. Avoid freeze-thaw cycles.

Background: DNMT1

DNA (cytosine-5)-methyltransferase 1 (DNMT1) plays a role in the regulation of tissue-specific cytosine residue methylation patterns that are established during development. Spec ifically, DNMT-1 interacts with Histone deacetylases and other methyltransferases to preferentially methylate hemimethylated DNA in coordination with the methylation of histones.

Improper methylation patterns have been linked to certain human tumors and developmental abnormalities. DNMT1 antibodies are useful tools for DNA methlyation research and studies on certian cancer.

Long Name

DNA [Cytosine-5-]-Methyltransferase 1

Alternate Names

CXXC9, MCMT

Gene Symbol

DNMT1

Additional DNMT1 Products

Product Documents for DNMT1 Antibody - Azide and BSA Free

Certificate of Analysis

To download a Certificate of Analysis, please enter a lot number in the search box below.

Product Specific Notices for DNMT1 Antibody - Azide and BSA Free

This product is for research use only and is not approved for use in humans or in clinical diagnosis. Primary Antibodies are guaranteed for 1 year from date of receipt.

Loading...
Loading...
Loading...
Loading...