Skip to main content

DNAJC5G Antibody - BSA Free

Novus Biologicals, part of Bio-Techne | Catalog # NBP2-38484

Novus Biologicals, part of Bio-Techne
Catalog #
Availability
Size / Price
Qty
Loading...
NBP2-38484
NBP2-38484-25ul

Key Product Details

Species Reactivity

Human

Applications

Immunohistochemistry, Immunohistochemistry-Paraffin, Western Blot

Label

Unconjugated

Antibody Source

Polyclonal Rabbit IgG

Format

BSA Free

Concentration

Concentrations vary lot to lot. See vial label for concentration. If unlisted please contact technical services.

Product Specifications

Immunogen

This antibody was developed against a recombinant protein corresponding to amino acids: NAAHAILSDSKKRKIYDQHGSLGIYLYDHFGEEGVRY

Clonality

Polyclonal

Host

Rabbit

Isotype

IgG

Description

Novus Biologicals Rabbit DNAJC5G Antibody - BSA Free (NBP2-38484) is a polyclonal antibody validated for use in IHC and WB. All Novus Biologicals antibodies are covered by our 100% guarantee.

Scientific Data Images for DNAJC5G Antibody - BSA Free

Western Blot: DNAJC5G Antibody [NBP2-38484]

Western Blot: DNAJC5G Antibody [NBP2-38484]

Western Blot: DNAJC5G Antibody [NBP2-38484] - Analysis in control (vector only transfected HEK293T lysate) and DNAJC5G over-expression lysate (Co-expressed with a C-terminal myc-DDK tag (3.1 kDa) in mammalian HEK293T cells).
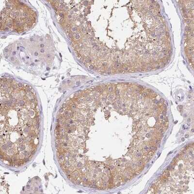
Immunohistochemistry: DNAJC5G Antibody [NBP2-38484]

Immunohistochemistry: DNAJC5G Antibody [NBP2-38484]

Immunohistochemistry: DNAJC5G Antibody [NBP2-38484] - Staining of human testis shows moderate cytoplasmic positivity in cells in seminiferous ducts.

Applications for DNAJC5G Antibody - BSA Free

Application
Recommended Usage

Immunohistochemistry

1:500 - 1:1000

Immunohistochemistry-Paraffin

1:500 - 1:1000

Western Blot

0.04-0.4 ug/ml
Application Notes
For IHC-Paraffin, HIER pH 6 retrieval is recommended.

Formulation, Preparation, and Storage

Purification

Immunogen affinity purified

Formulation

PBS (pH 7.2) and 40% Glycerol

Format

BSA Free

Preservative

0.02% Sodium Azide

Concentration

Concentrations vary lot to lot. See vial label for concentration. If unlisted please contact technical services.

Shipping

The product is shipped with polar packs. Upon receipt, store it immediately at the temperature recommended below.

Stability & Storage

Store at 4C short term. Aliquot and store at -20C long term. Avoid freeze-thaw cycles.

Background: DNAJC5G

Alternate Names

CSP-gamma, DnaJ (Hsp40) homolog, subfamily C, member 5 gamma, dnaJ homolog subfamily C member 5G, FLJ40417, gamma cysteine string protein, gamma-CSP, Gamma-cysteine string protein

Gene Symbol

DNAJC5G

UniProt

Additional DNAJC5G Products

Product Documents for DNAJC5G Antibody - BSA Free

Certificate of Analysis

To download a Certificate of Analysis, please enter a lot number in the search box below.

Product Specific Notices for DNAJC5G Antibody - BSA Free

This product is for research use only and is not approved for use in humans or in clinical diagnosis. Primary Antibodies are guaranteed for 1 year from date of receipt.

Loading...
Loading...
Loading...
Loading...