Skip to main content

DNA Polymerase delta, catalytic subunit Antibody - BSA Free

Novus Biologicals, part of Bio-Techne | Catalog # NBP1-31541

Novus Biologicals, part of Bio-Techne
Catalog #
Availability
Size / Price
Qty
Loading...
NBP1-31541

Key Product Details

Species Reactivity

Validated:

Human, Rat

Cited:

Human

Predicted:

Bovine (98%), Mouse (92%). Backed by our 100% Guarantee.

Applications

Validated:

Immunohistochemistry, Immunohistochemistry-Paraffin, Western Blot, Immunocytochemistry/ Immunofluorescence

Cited:

Western Blot

Label

Unconjugated

Antibody Source

Polyclonal Rabbit IgG

Format

BSA Free

Concentration

Concentrations vary lot to lot. See vial label for concentration. If unlisted please contact technical services.

Product Specifications

Immunogen

Recombinant protein encompassing a sequence within the center region of human DNA Polymerase delta, catalytic subunit. The exact sequence is proprietary.

Localization

Nucleus

Clonality

Polyclonal

Host

Rabbit

Isotype

IgG

Theoretical MW

124 kDa.
Disclaimer note: The observed molecular weight of the protein may vary from the listed predicted molecular weight due to post translational modifications, post translation cleavages, relative charges, and other experimental factors.

Description

Novus Biologicals Rabbit DNA Polymerase delta, catalytic subunit Antibody - BSA Free (NBP1-31541) is a polyclonal antibody validated for use in IHC, WB and ICC/IF. Anti-DNA Polymerase delta, catalytic subunit Antibody: Cited in 1 publication. All Novus Biologicals antibodies are covered by our 100% guarantee.

Scientific Data Images for DNA Polymerase delta, catalytic subunit Antibody - BSA Free

Western Blot: DNA Polymerase delta, catalytic subunit Antibody [NBP1-31541]

Western Blot: DNA Polymerase delta, catalytic subunit Antibody [NBP1-31541]

Western Blot: DNA Polymerase delta, catalytic subunit Antibody [NBP1-31541] - Various whole cell extracts (30 ug) were separated by 5% SDS-PAGE, and the membrane was blotted with DNA polymerase delta antibody diluted at 1:500. The HRP-conjugated anti-rabbit IgG antibody (NBP2-19301) was used to detect the primary antibody.
Immunocytochemistry/ Immunofluorescence: DNA Polymerase delta, catalytic subunit Antibody [NBP1-31541]

Immunocytochemistry/ Immunofluorescence: DNA Polymerase delta, catalytic subunit Antibody [NBP1-31541]

Immunocytochemistry/Immunofluorescence: DNA Polymerase delta, catalytic subunit Antibody [NBP1-31541] - Analysis of HeLa, using NBP1-31541 at 1:200 dilution.
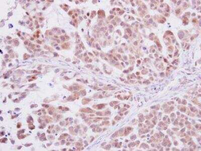
Immunohistochemistry-Paraffin: DNA Polymerase delta, catalytic subunit Antibody [NBP1-31541]

Immunohistochemistry-Paraffin: DNA Polymerase delta, catalytic subunit Antibody [NBP1-31541]

Immunohistochemistry-Paraffin: DNA Polymerase delta, catalytic subunit Antibody [NBP1-31541] - Human lung adenocarcinoma. DNA polymerase delta antibody diluted at 1:250.Antigen Retrieval: Trilogy™ (EDTA based, pH 8.0) buffer, 15min.

Applications for DNA Polymerase delta, catalytic subunit Antibody - BSA Free

Application
Recommended Usage

Immunocytochemistry/ Immunofluorescence

1:100-1:1000

Immunohistochemistry

1:100-1:1000

Immunohistochemistry-Paraffin

1:100-1:1000

Western Blot

1:500-1:3000

Formulation, Preparation, and Storage

Purification

Antigen Affinity-purified

Formulation

0.1M Tris, 0.1M Glycine, 10% Glycerol

Format

BSA Free

Preservative

0.01% Thimerosal

Concentration

Concentrations vary lot to lot. See vial label for concentration. If unlisted please contact technical services.

Shipping

The product is shipped with polar packs. Upon receipt, store it immediately at the temperature recommended below.

Stability & Storage

Aliquot and store at -20C or -80C. Avoid freeze-thaw cycles.

Background: DNA Polymerase delta, catalytic subunit

DNA polymerase d (delta) functions in DNA replication and DNA repair. It also possesses 3' to 5' exonuclease activity. In leading strand synthesis it requires the processivity factor, PCNA. It is also possibly involved in the completion of DNA synthesis during Okazaki fragment elongation following the initiation of synthesis by the DNA polymerase a/primase complex

Alternate Names

CDC2, CDC2 homolog, DNA polymerase delta catalytic subunit, DNA polymerase subunit delta p125, DNA-directed polymerase delta 1, EC 2.7.7.7, POLD, polymerase (DNA directed), delta 1, catalytic subunit (125kD), polymerase (DNA directed), delta 1, catalytic subunit 125kDa

Entrez Gene IDs

5424 (Human)

Gene Symbol

POLD1

Additional DNA Polymerase delta, catalytic subunit Products

Product Documents for DNA Polymerase delta, catalytic subunit Antibody - BSA Free

Certificate of Analysis

To download a Certificate of Analysis, please enter a lot number in the search box below.

Product Specific Notices for DNA Polymerase delta, catalytic subunit Antibody - BSA Free

This product is for research use only and is not approved for use in humans or in clinical diagnosis. Primary Antibodies are guaranteed for 1 year from date of receipt.

Loading...
Loading...
Loading...
Loading...

⚠ WARNING: This product can expose you to chemicals including mercury, which is known to the State of California to cause reproductive toxicity with developmental effects.  For more information go to www.P65Warnings.ca.gov.