Skip to main content

DNA Ligase IV Antibody - BSA Free

Novus Biologicals, part of Bio-Techne | Catalog # NBP2-16182

Novus Biologicals, part of Bio-Techne
Catalog #
Availability
Size / Price
Qty
Loading...
NBP2-16182

Key Product Details

Species Reactivity

Validated:

Human, Mouse, Rat

Cited:

Rat

Applications

Validated:

Immunohistochemistry, Immunohistochemistry-Paraffin, Western Blot, Immunocytochemistry/ Immunofluorescence

Cited:

Western Blot

Label

Unconjugated

Antibody Source

Polyclonal Rabbit IgG

Format

BSA Free

Concentration

Concentrations vary lot to lot. See vial label for concentration. If unlisted please contact technical services.

Product Specifications

Immunogen

Recombinant protein encompassing a sequence within the C-terminus region of human DNA Ligase IV. The exact sequence is proprietary.

Reactivity Notes

Sheep (83%), Bovine (86%).

Localization

Nucleus

Clonality

Polyclonal

Host

Rabbit

Isotype

IgG

Theoretical MW

104 kDa.
Disclaimer note: The observed molecular weight of the protein may vary from the listed predicted molecular weight due to post translational modifications, post translation cleavages, relative charges, and other experimental factors.

Scientific Data Images for DNA Ligase IV Antibody - BSA Free

Western Blot: DNA Ligase IV Antibody [NBP2-16182]

Western Blot: DNA Ligase IV Antibody [NBP2-16182]

Western Blot: DNA Ligase IV Antibody [NBP2-16182] - Mouse tissue extract (50 ug) was separated by 7.5% SDS-PAGE, and the membrane was blotted with DNA ligase IV antibody diluted at 1:500.
Immunocytochemistry/ Immunofluorescence: DNA Ligase IV Antibody [NBP2-16182]

Immunocytochemistry/ Immunofluorescence: DNA Ligase IV Antibody [NBP2-16182]

Immunocytochemistry/Immunofluorescence: DNA Ligase IV Antibody [NBP2-16182] - Analysis of paraformaldehyde-fixed HeLa, using antibody at 1:500 dilution.
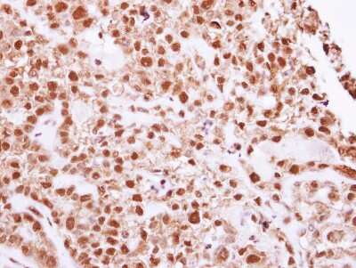
Immunohistochemistry-Paraffin: DNA Ligase IV Antibody [NBP2-16182]

Immunohistochemistry-Paraffin: DNA Ligase IV Antibody [NBP2-16182]

Immunohistochemistry-Paraffin: DNA Ligase IV Antibody [NBP2-16182] - Human ovarian cancer, using DNA ligase IV antibody at 1:250 dilution. Antigen Retrieval: Trilogy™ (EDTA based, pH 8.0) buffer, 15min.

Applications for DNA Ligase IV Antibody - BSA Free

Application
Recommended Usage

Immunocytochemistry/ Immunofluorescence

1:100-1:1000

Immunohistochemistry

1:100-1:1000

Immunohistochemistry-Paraffin

1:100-1:1000

Western Blot

1:500-1:3000

Formulation, Preparation, and Storage

Purification

Antigen Affinity-purified

Formulation

0.1M Tris, 0.1M Glycine, 20% Glycerol

Format

BSA Free

Preservative

0.01% Thimerosal

Concentration

Concentrations vary lot to lot. See vial label for concentration. If unlisted please contact technical services.

Shipping

The product is shipped with polar packs. Upon receipt, store it immediately at the temperature recommended below.

Stability & Storage

Aliquot and store at -20C or -80C. Avoid freeze-thaw cycles.

Background: DNA Ligase IV

The protein encoded by this gene is a DNA ligase that joins single-strand breaks in a double-stranded polydeoxynucleotide in an ATP-dependent reaction. This protein is essential for V(D)J recombination and DNA double-strand break (DSB) repair through nonhomologous end joining (NHEJ). This protein forms a complex with the X-ray repair cross complementing protein 4 (XRCC4), and further interacts with the DNA-dependent protein kinase (DNA-PK). Both XRCC4 and DNA-PK are known to be required for NHEJ. The crystal structure of the complex formed by this protein and XRCC4 has been resolved. Defects in this gene are the cause of LIG4 syndrome. Alternatively spliced transcript variants encoding the same protein have been observed. [provided by RefSeq]

Long Name

DNA ligase 4

Alternate Names

LIG4

Gene Symbol

LIG4

UniProt

Additional DNA Ligase IV Products

Product Documents for DNA Ligase IV Antibody - BSA Free

Certificate of Analysis

To download a Certificate of Analysis, please enter a lot number in the search box below.

Product Specific Notices for DNA Ligase IV Antibody - BSA Free

This product is for research use only and is not approved for use in humans or in clinical diagnosis. Primary Antibodies are guaranteed for 1 year from date of receipt.

Loading...
Loading...
Loading...
Loading...

⚠ WARNING: This product can expose you to chemicals including mercury, which is known to the State of California to cause reproductive toxicity with developmental effects.  For more information go to www.P65Warnings.ca.gov.