Skip to main content

DNA Ligase I Antibody (10H5) - Azide and BSA Free

Novus Biologicals, part of Bio-Techne | Catalog # NB100-119

Novus Biologicals, part of Bio-Techne
Catalog #
Availability
Size / Price
Qty
Loading...
NB100-119

Key Product Details

Species Reactivity

Validated:

Human, Mouse

Cited:

Human, Avian - Chicken, Bacteria, Fish, Hamster, Rabbit

Applications

Validated:

Immunohistochemistry-Paraffin, Western Blot, Immunocytochemistry/ Immunofluorescence, Immunoprecipitation, In vitro assay, Radioimmunoassay

Cited:

Western Blot, Immunocytochemistry/ Immunofluorescence, Immunoprecipitation, Bacteria, Mass Spectrometry

Label

Unconjugated

Antibody Source

Monoclonal Mouse IgG1 Clone # 10H5

Format

Azide and BSA Free

Concentration

Concentrations vary lot to lot. See vial label for concentration. If unlisted please contact technical services.

Product Specifications

Immunogen

Full-length recombinant human DNA Ligase I protein

Reactivity Notes

Please note that this antibody is reactive to Mouse and derived from the same host, Mouse. Mouse-On-Mouse blocking reagent may be needed for IHC and ICC experiments to reduce high background signal. You can find these reagents under catalog numbers PK-2200-NB and MP-2400-NB. Please contact Technical Support if you have any questions.. Rabbit reactivity reported in scientific literature (PMID: 12668657). Hamster reactivity reported in scientific literature (PMID: 11912211). Fish, and chicken reactivity reported in scientific literature (PMID: 12928478). Bacteria reactivity reported in scientific literature (PMID: 9603940).

Localization

Nuclear

Specificity

This is specific for DNA ligase 1.

Clonality

Monoclonal

Host

Mouse

Isotype

IgG1

Theoretical MW

125 kDa.
Disclaimer note: The observed molecular weight of the protein may vary from the listed predicted molecular weight due to post translational modifications, post translation cleavages, relative charges, and other experimental factors.

Description

Novus Biologicals Mouse DNA Ligase I Antibody (10H5) - Azide and BSA Free (NB100-119) is a monoclonal antibody validated for use in IHC, WB, ICC/IF and IP. Anti-DNA Ligase I Antibody: Cited in 27 publications. All Novus Biologicals antibodies are covered by our 100% guarantee.

Scientific Data Images for DNA Ligase I Antibody (10H5) - Azide and BSA Free

Western Blot: DNA Ligase I Antibody (10H5) [NB100-119]

Western Blot: DNA Ligase I Antibody (10H5) [NB100-119]

Western Blot: DNA Ligase I Antibody (10H5) [NB100-119] - Various whole cell extracts (30 ug) were separated by 5% SDS-PAGE, and the membrane was blotted with DNA ligase I antibody [10H5] diluted at 1:2000. The HRP-conjugated anti-mouse IgG antibody (NBP2-19382) was used to detect the primary antibody.
Immunocytochemistry/ Immunofluorescence: DNA Ligase I Antibody (10H5) [NB100-119]

Immunocytochemistry/ Immunofluorescence: DNA Ligase I Antibody (10H5) [NB100-119]

Immunocytochemistry/Immunofluorescence: DNA Ligase I Antibody (10H5) [NB100-119] - HeLa cells were fixed in 4% paraformaldehyde at RT for 15 min. Green: DNA ligase I stained by DNA ligase I antibody [10H5] diluted at 1:500. Red: phalloidin, a cytoskeleton marker, diluted at 1:200. Scale bar= 10 um.
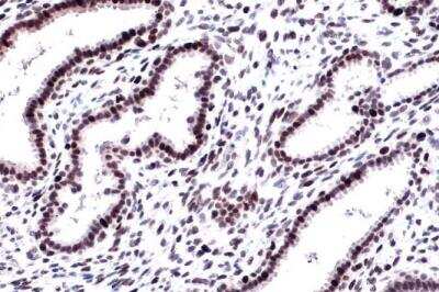
Immunohistochemistry-Paraffin: DNA Ligase I Antibody (10H5) [NB100-119]

Immunohistochemistry-Paraffin: DNA Ligase I Antibody (10H5) [NB100-119]

Immunohistochemistry-Paraffin: DNA Ligase I Antibody (10H5) [NB100-119] - Human breast carcinoma. DNA ligase I stained by DNA ligase I antibody [10H5] diluted at 1:100. Antigen Retrieval: Citrate buffer, pH 6.0, 15 min.

Applications for DNA Ligase I Antibody (10H5) - Azide and BSA Free

Application
Recommended Usage

Immunocytochemistry/ Immunofluorescence

Optimal dilutions of this antibody should be experimentally determined.

Immunohistochemistry-Paraffin

Optimal dilutions of this antibody should be experimentally determined.

Immunoprecipitation

Optimal dilutions of this antibody should be experimentally determined.

In vitro assay

Optimal dilutions of this antibody should be experimentally determined.

Radioimmunoassay

Optimal dilutions of this antibody should be experimentally determined.

Western Blot

Optimal dilutions of this antibody should be experimentally determined.
Application Notes
ICC/IF, IP usage reported in (PMID: 11912211). Use in Radioimmunoassay reported in (PMID: 9603940). Use In vitro assay reported in scientific literature (PMID: 11912211). WB, ICC/IF, IHC-P, IP-Assay dependent.

Formulation, Preparation, and Storage

Purification

Protein G purified

Formulation

PBS

Format

Azide and BSA Free

Preservative

No Preservative

Concentration

Concentrations vary lot to lot. See vial label for concentration. If unlisted please contact technical services.

Shipping

The product is shipped with polar packs. Upon receipt, store it immediately at the temperature recommended below.

Stability & Storage

Store at 4C short term. Aliquot and store at -20C long term. Avoid freeze-thaw cycles.

Background: DNA Ligase I

There are four distinct ligase proteins found in mammalian cells. The activity of these DNA ligases is required for the joining of DNA strand breaks that occur during DNA replication, repairand recombination. DNA ligase I migrates as a 125kDa phosphoprotein and is implicated in joining Okazaki fragments during DNA synthesis. It also has a role in the base and nucleotide excision repair pathways.

Long Name

DNA ligase 1

Alternate Names

EC 6.5.1.1

Entrez Gene IDs

3978 (Human)

Gene Symbol

LIG1

Additional DNA Ligase I Products

Product Documents for DNA Ligase I Antibody (10H5) - Azide and BSA Free

Certificate of Analysis

To download a Certificate of Analysis, please enter a lot number in the search box below.

Product Specific Notices for DNA Ligase I Antibody (10H5) - Azide and BSA Free

This product is for research use only and is not approved for use in humans or in clinical diagnosis. Primary Antibodies are guaranteed for 1 year from date of receipt.

Loading...
Loading...
Loading...
Loading...