Skip to main content

DNA Ligase I Antibody (0D6M4)

Novus Biologicals, part of Bio-Techne | Catalog # NBP3-33540

Novus Biologicals, part of Bio-Techne
Catalog #
Availability
Size / Price
Qty
Loading...
NBP3-33540-100ul
NBP3-33540-20ul

Key Product Details

Species Reactivity

Human, Mouse, Rat

Applications

ELISA, Immunocytochemistry/ Immunofluorescence, Immunohistochemistry, Immunohistochemistry-Paraffin, Western Blot

Label

Unconjugated

Antibody Source

Monoclonal Rabbit IgG Clone # 0D6M4

Concentration

Please see the vial label for concentration. If unlisted please contact technical services.

Product Specifications

Immunogen

Recombinant fusion protein containing a sequence corresponding to amino acids 1-91 of human DNA Ligase I (P18858).

Sequence:
MQRSIMSFFHPKKEGKAKKPEKEASNSSRETEPPPKAALKEWNGVVSESDSPVKRPGRKAARVLGSEGEEEDEALSPAKGQKPALDCSQVS

Clonality

Monoclonal

Host

Rabbit

Isotype

IgG

Theoretical MW

102 kDa.
Disclaimer note: The observed molecular weight of the protein may vary from the listed predicted molecular weight due to post translational modifications, post translation cleavages, relative charges, and other experimental factors.

Description

Novus Biologicals Rabbit DNA Ligase I Antibody (0D6M4) (NBP3-33540) is a monoclonal antibody validated for use in IHC, WB, ELISA and ICC/IF. All Novus Biologicals antibodies are covered by our 100% guarantee.

Scientific Data Images for DNA Ligase I Antibody (0D6M4)

DNA Ligase I Antibody (0D6M4)

Western Blot: DNA Ligase I Antibody (0D6M4) [NBP3-33540] -

Western Blot: DNA Ligase I Antibody (0D6M4) [NBP3-33540] - Western blot analysis of lysates from Jurkat cells, using DNA Ligase I Rabbit mAb at 1:1000 dilution.
Secondary antibody: HRP-conjugated Goat anti-Rabbit IgG (H+L) at 1:10000 dilution.
Lysates/proteins: 25ug per lane.
Blocking buffer: 3% nonfat dry milk in TBST.
Detection: ECL Basic Kit.
Exposure time: 30s.
DNA Ligase I Antibody (0D6M4)

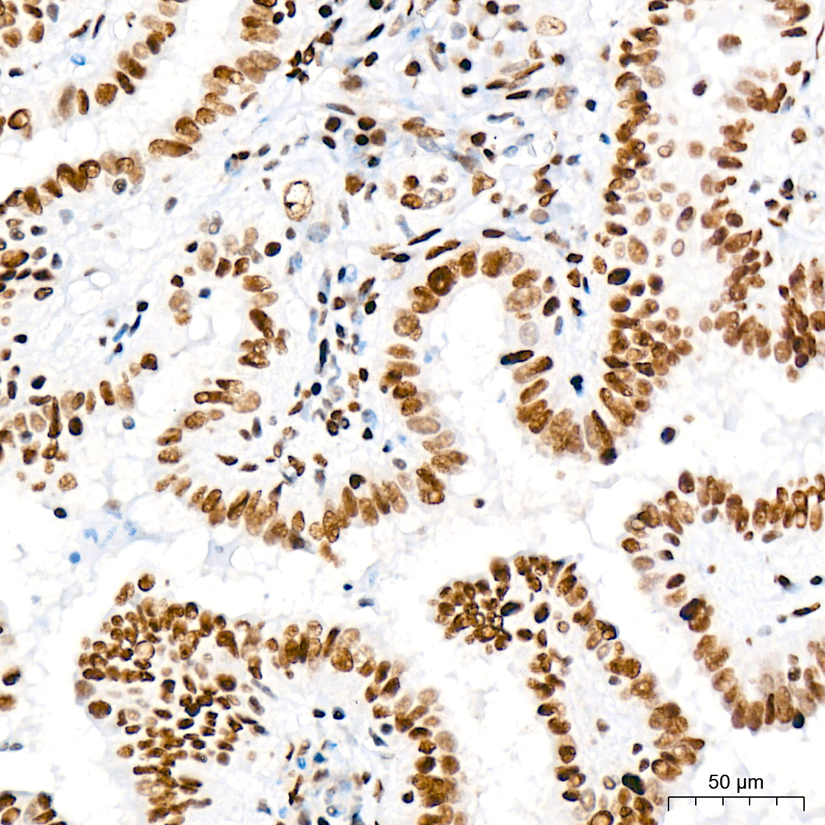
Immunohistochemistry: DNA Ligase I Antibody (0D6M4) [NBP3-33540] -

Immunohistochemistry: DNA Ligase I Antibody (0D6M4) [NBP3-33540] - Immunohistochemistry analysis of DNA Ligase I in paraffin-embedded human colon carcinoma tissue using DNA Ligase I Rabbit mAb at a dilution of 1:200 (40x lens). High pressure antigen retrieval was performed with 0.01 M citrate buffer (pH 6.0) prior to IHC staining.
DNA Ligase I Antibody (0D6M4)

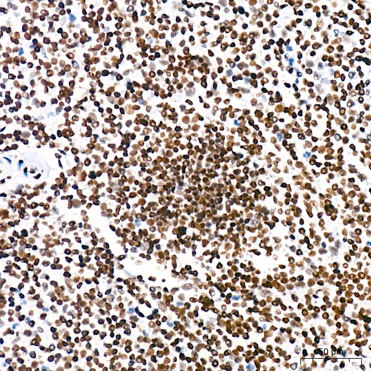
Immunohistochemistry: DNA Ligase I Antibody (0D6M4) [NBP3-33540] -

Immunohistochemistry: DNA Ligase I Antibody (0D6M4) [NBP3-33540] - Immunohistochemistry analysis of DNA Ligase I in paraffin-embedded rat lung tissue using DNA Ligase I Rabbit mAb at a dilution of 1:200 (40x lens). High pressure antigen retrieval was performed with 0.01 M citrate buffer (pH 6.0) prior to IHC staining.

Applications for DNA Ligase I Antibody (0D6M4)

Application
Recommended Usage

ELISA

Recommended starting concentration is 1 ug/mL

Immunocytochemistry/ Immunofluorescence

1:50 - 1:200

Immunohistochemistry-Paraffin

1:50 - 1:200

Western Blot

1:500 - 1:1000

Formulation, Preparation, and Storage

Purification

Affinity purified

Formulation

PBS (pH 7.3), 50% glycerol, 0.05% BSA

Preservative

0.02% Sodium Azide

Concentration

Please see the vial label for concentration. If unlisted please contact technical services.

Shipping

The product is shipped with polar packs. Upon receipt, store it immediately at the temperature recommended below.

Stability & Storage

Store at -20C. Avoid freeze-thaw cycles.

Background: DNA Ligase I

DNA ligase 1 catalyzes the joining of double-stranded DNA ends during replication, recombination, and repair. Structurally, DNA ligase 1 is toroidal and encircles nicked DNA substrates. The 9-1-1 complex, a DNA damage checkpoint complex, has been reported to associate with DNA ligase 1 and stimulate ligase activity. Mutations in DNA ligase 1 result in immunodeficiency and increased sensitivity to DNA-damaging agents.

Long Name

DNA ligase 1

Alternate Names

EC 6.5.1.1

Gene Symbol

LIG1

Additional DNA Ligase I Products

Product Documents for DNA Ligase I Antibody (0D6M4)

Certificate of Analysis

To download a Certificate of Analysis, please enter a lot number in the search box below.

Product Specific Notices for DNA Ligase I Antibody (0D6M4)

This product is for research use only and is not approved for use in humans or in clinical diagnosis. Primary Antibodies are guaranteed for 1 year from date of receipt.

Loading...
Loading...
Loading...
Loading...