Skip to main content

DMRT1 Antibody - BSA Free

Novus Biologicals, part of Bio-Techne | Catalog # NBP1-84071

Novus Biologicals, part of Bio-Techne
Catalog #
Availability
Size / Price
Qty
Loading...
NBP1-84071-25ul
NBP1-84071

Key Product Details

Validated by

Orthogonal Validation

Species Reactivity

Validated:

Human

Cited:

Human

Applications

Validated:

Immunohistochemistry, Immunohistochemistry-Paraffin, Western Blot

Cited:

IF/IHC

Label

Unconjugated

Antibody Source

Polyclonal Rabbit IgG

Format

BSA Free

Concentration

Concentrations vary lot to lot. See vial label for concentration. If unlisted please contact technical services.

Product Specifications

Immunogen

This antibody was developed against Recombinant Protein corresponding to amino acids: LAADSASGEVGNPLGGSPVKNSLRGLPGPYVPGQTGNQWQMKNMENRHAMSSQYRMHSYYPPPSYLGQSVPQFFTFEDAPSYPEARASVFSPPSSQDSGLVSLSSSSPISNKSTKAVLECEPASEPSSFTVTPVI

Reactivity Notes

Reactivity reported in scientific literature (PMID: 24598113)

Clonality

Polyclonal

Host

Rabbit

Isotype

IgG

Description

Novus Biologicals Rabbit DMRT1 Antibody - BSA Free (NBP1-84071) is a polyclonal antibody validated for use in IHC and WB. Anti-DMRT1 Antibody: Cited in 4 publications. All Novus Biologicals antibodies are covered by our 100% guarantee.

Scientific Data Images for DMRT1 Antibody - BSA Free

Immunohistochemistry-Paraffin: DMRT1 Antibody [NBP1-84071]

Immunohistochemistry-Paraffin: DMRT1 Antibody [NBP1-84071]

Immunohistochemistry-Paraffin: DMRT1 Antibody [NBP1-84071] - Staining of human liver shows no positivity in hepatocytes as expected.
Immunohistochemistry-Paraffin: DMRT1 Antibody [NBP1-84071]

Immunohistochemistry-Paraffin: DMRT1 Antibody [NBP1-84071]

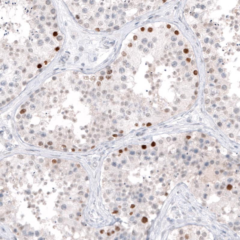
Immunohistochemistry-Paraffin: DMRT1 Antibody [NBP1-84071] - Analysis in human testis and fallopian tube tissues. Corresponding DMRT1 RNA-seq data are presented for the same tissues.
Immunohistochemistry-Paraffin: DMRT1 Antibody [NBP1-84071]

Immunohistochemistry-Paraffin: DMRT1 Antibody [NBP1-84071]

Immunohistochemistry-Paraffin: DMRT1 Antibody [NBP1-84071] - Staining of human fallopian tube shows no nuclear positivity in glandular cells as expected.

Applications for DMRT1 Antibody - BSA Free

Application
Recommended Usage

Immunohistochemistry

1:1000 - 1:2500

Immunohistochemistry-Paraffin

1:1000-1:2500

Western Blot

0.04-0.4 ug/ml
Application Notes
IHC reported in scientific literature (PMID: 30067948). For IHC-Paraffin, HIER pH 6 retrieval is recommended.

Formulation, Preparation, and Storage

Purification

Affinity purified

Formulation

PBS (pH 7.2) and 40% Glycerol

Format

BSA Free

Preservative

0.02% Sodium Azide

Concentration

Concentrations vary lot to lot. See vial label for concentration. If unlisted please contact technical services.

Shipping

The product is shipped with polar packs. Upon receipt, store it immediately at the temperature recommended below.

Stability & Storage

Store at 4C short term. Aliquot and store at -20C long term. Avoid freeze-thaw cycles.

Background: DMRT1

DMRT1 is found in a cluster with two other members of the gene family, having in common a zinc finger-like DNA-binding motif (DM domain). The DM domain is an ancient, conserved component of the vertebrate sex-determining pathway that is also a key regulator of male development in flies and nematodes. This gene exhibits a gonad-specific and sexually dimorphic expression pattern. Defective testicular development and XY feminization occur when this gene is hemizygous.

Alternate Names

DM domain expressed in testis 1, DMT1DM domain expressed in testis protein 1, doublesex and mab-3 related transcription factor 1, doublesex- and mab-3-related transcription factor 1

Gene Symbol

DMRT1

Additional DMRT1 Products

Product Documents for DMRT1 Antibody - BSA Free

Certificate of Analysis

To download a Certificate of Analysis, please enter a lot number in the search box below.

Product Specific Notices for DMRT1 Antibody - BSA Free

This product is for research use only and is not approved for use in humans or in clinical diagnosis. Primary Antibodies are guaranteed for 1 year from date of receipt.

Loading...
Loading...
Loading...
Loading...