Skip to main content

DMAP1 Antibody (JE55-31)

Novus Biologicals, part of Bio-Techne | Catalog # NBP3-32271

Recombinant Monoclonal Antibody
Novus Biologicals, part of Bio-Techne
Catalog #
Availability
Size / Price
Qty
Loading...
NBP3-32271

Key Product Details

Species Reactivity

Human, Mouse, Rat

Applications

Flow Cytometry, Immunocytochemistry/ Immunofluorescence, Immunohistochemistry, Immunohistochemistry-Paraffin, Western Blot

Label

Unconjugated

Antibody Source

Recombinant Monoclonal Rabbit IgG Clone # JE55-31 expressed in HEK293

Concentration

1 mg/ml

Product Specifications

Immunogen

Recombinant protein within Human DMAP1 aa 368-467 / 467. (Uniprot: Q9NPF5)

Localization

Nucleus, Cytoplasm.

Clonality

Monoclonal

Host

Rabbit

Isotype

IgG

Theoretical MW

53 kDa.
Disclaimer note: The observed molecular weight of the protein may vary from the listed predicted molecular weight due to post translational modifications, post translation cleavages, relative charges, and other experimental factors.

Description

Novus Biologicals Rabbit DMAP1 Antibody (JE55-31) (NBP3-32271) is a recombinant monoclonal antibody validated for use in IHC, WB, Flow and ICC/IF. All Novus Biologicals antibodies are covered by our 100% guarantee.

Scientific Data Images for DMAP1 Antibody (JE55-31)

DMAP1 Antibody (JE55-31)

Western Blot: DMAP1 Antibody (JE55-31) [NBP3-32271]

Western Blot: DMAP1 Antibody (JE55-31) [NBP3-32271] - Western blot analysis of DMAP1 on different lysates with Rabbit anti-DMAP1 antibody (NBP3-32271) at 1/1,000 dilution.

Lane 1: HeLa cell lysate
Lane 2: HEK-293 cell lysate
Lane 3: HepG2 cell lysate
Lane 4: MCF7 cell lysate
Lane 5: Jurkat cell lysate
Lane 6: K-562 cell lysate
Lane 7: NIH/3T3 cell lysate
Lane 8: Neuro-2a cell lysate
Lane 9: F9 cell lysate
Lane 10: PC-12 cell lysate

Lysates/proteins at 20 ug/Lane.

Predicted band size: 53 kDa
Observed band size: 55 kDa

Exposure time: 2 minutes;

4-20% SDS-PAGE gel.

Proteins were transferred to a PVDF membrane and blocked with 5% NFDM/TBST for 1 hour at room temperature. The primary antibody (NBP3-32271) at 1/1,000 dilution was used in 5% NFDM/TBST at 4C overnight. Goat Anti-Rabbit IgG - HRP Secondary Antibody at 1/50,000 dilution was used for 1 hour at room temperature.
DMAP1 Antibody (JE55-31)

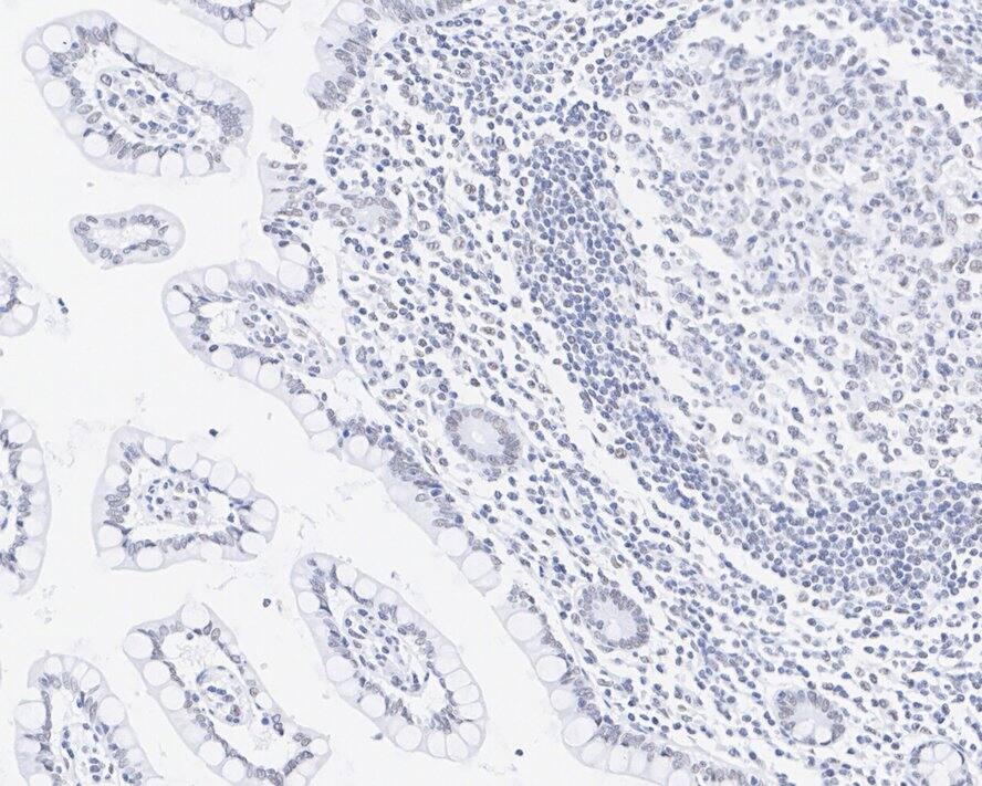
Immunohistochemistry: DMAP1 Antibody (JE55-31) [NBP3-32271]

Immunohistochemistry: DMAP1 Antibody (JE55-31) [NBP3-32271] - Immunohistochemical analysis of paraffin-embedded human small intestine tissue with Rabbit anti-DMAP1 antibody (NBP3-32271) at 1/200 dilution.

The section was pre-treated using heat mediated antigen retrieval with sodium citrate buffer (pH 6.0) for 2 minutes. The tissues were blocked in 1% BSA for 20 minutes at room temperature, washed with ddH2O and PBS, and then probed with the primary antibody (NBP3-32271) at 1/200 dilution for 1 hour at room temperature. The detection was performed using an HRP conjugated compact polymer system. DAB was used as the chromogen. Tissues were counterstained with hematoxylin and mounted with DPX.
DMAP1 Antibody (JE55-31)

Immunocytochemistry/ Immunofluorescence: DMAP1 Antibody (JE55-31) [NBP3-32271]

Immunocytochemistry/ Immunofluorescence: DMAP1 Antibody (JE55-31) [NBP3-32271] - Immunocytochemistry analysis of HeLa cells labeling DMAP1 with Rabbit anti-DMAP1 antibody (NBP3-32271) at 1/100 dilution.

Cells were fixed in 4% paraformaldehyde for 20 minutes at room temperature, permeabilized with 0.1% Triton X-100 in PBS for 5 minutes at room temperature, then blocked with 1% BSA in 10% negative goat serum for 1 hour at room temperature. Cells were then incubated with Rabbit anti-DMAP1 antibody (NBP3-32271) at 1/100 dilution in 1% BSA in PBST overnight at 4 ℃. Goat Anti-Rabbit IgG H&L (iFluor™ 488) was used as the secondary antibody at 1/1,000 dilution. PBS instead of the primary antibody was used as the secondary antibody only control. Nuclear DNA was labelled in blue with DAPI.

Beta tubulin (red) was stained at 1/100 dilution overnight at +4℃. Goat Anti-Mouse IgG H&L (iFluor™ 594) was used as the secondary antibody at 1/1,000 dilution.

Applications for DMAP1 Antibody (JE55-31)

Application
Recommended Usage

Flow Cytometry

1:1000

Immunocytochemistry/ Immunofluorescence

1:100

Immunohistochemistry-Paraffin

1:50

Western Blot

1:1000

Formulation, Preparation, and Storage

Purification

Protein A purified

Formulation

1*TBS (pH7.4), 0.05% BSA and 40% Glycerol

Preservative

0.05% Sodium Azide

Concentration

1 mg/ml

Shipping

The product is shipped with polar packs. Upon receipt, store it immediately at the temperature recommended below.

Stability & Storage

Store at 4C short term. Aliquot and store at -20C long term. Avoid freeze-thaw cycles.

Background: DMAP1

DMAP1 (DNA methyltransferase 1 associated protein 1) has been identified as a subunit of several distinct protein complexes involved in the repression and activation of transcription. It has been observed to interact with histone deacetylase 2 (HDAC2) as well as histone acetyltransferase (HAT) indicating a role in nucleosome modification to regulate transcription. DMAP1 can act independently to repress transcription in association with DNA methyltransferase 1. Alternate names for DMAP1 include DNMT1-associated protein 1, DNMAP1, DMAP1, KIAA1425, EAF2, SWC4, DNMAP1, DNMTAP1, FLJ11543, and DKFZp686L09142.

Alternate Names

DNA methyltransferase 1 associated protein 1, DNA methyltransferase 1-associated protein 1, DNMAP1DNMT1-associated protein 1, DNMT1 associated protein 1, DNMTAP1, EAF2, FLJ11543, KIAA1425DKFZp686L09142, MEAF2, SWC4

Gene Symbol

DMAP1

Additional DMAP1 Products

Product Documents for DMAP1 Antibody (JE55-31)

Certificate of Analysis

To download a Certificate of Analysis, please enter a lot number in the search box below.

Product Specific Notices for DMAP1 Antibody (JE55-31)

This product is for research use only and is not approved for use in humans or in clinical diagnosis. Primary Antibodies are guaranteed for 1 year from date of receipt.

Loading...
Loading...
Loading...
Loading...
Loading...