Skip to main content

DLC1 Antibody

Novus Biologicals, part of Bio-Techne | Catalog # NBP2-16173

Novus Biologicals, part of Bio-Techne
Catalog #
Availability
Size / Price
Qty
Loading...
NBP2-16173

Key Product Details

Species Reactivity

Validated:

Human, Mouse

Predicted:

Bovine (96%), Canine (97%), Rat (93%). Backed by our 100% Guarantee.

Applications

Immunohistochemistry, Immunohistochemistry-Paraffin, Western Blot

Label

Unconjugated

Antibody Source

Polyclonal Rabbit IgG

Concentration

Concentrations vary lot to lot. See vial label for concentration. If unlisted please contact technical services.

Product Specifications

Immunogen

Recombinant protein encompassing a sequence within the C-terminus region of human DLC1. The exact sequence is proprietary.

Localization

Cytoplasm

Clonality

Polyclonal

Host

Rabbit

Isotype

IgG

Theoretical MW

171 kDa.
Disclaimer note: The observed molecular weight of the protein may vary from the listed predicted molecular weight due to post translational modifications, post translation cleavages, relative charges, and other experimental factors.

Description

Novus Biologicals Rabbit DLC1 Antibody (NBP2-16173) is a polyclonal antibody validated for use in IHC and WB. All Novus Biologicals antibodies are covered by our 100% guarantee.

Scientific Data Images for DLC1 Antibody

Western Blot: DLC1 Antibody [NBP2-16173]

Western Blot: DLC1 Antibody [NBP2-16173]

Western Blot: DLC1 Antibody [NBP2-16173] - Sample (30 ug of whole cell lysate) A: HepG2 5% SDS PAGEdiluted at 1:1000
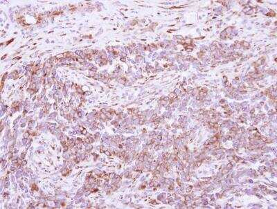
Immunohistochemistry-Paraffin: DLC1 Antibody [NBP2-16173]

Immunohistochemistry-Paraffin: DLC1 Antibody [NBP2-16173]

Immunohistochemistry-Paraffin: DLC1 Antibody [NBP2-16173] - Human breast cancer, using DLC1 antibody at 1:500 dilution. Antigen Retrieval: Trilogy™ (EDTA based, pH 8.0) buffer, 15min.

Applications for DLC1 Antibody

Application
Recommended Usage

Immunohistochemistry

1:100-1:1000

Immunohistochemistry-Paraffin

1:100-1:1000

Western Blot

1:500-1:3000

Formulation, Preparation, and Storage

Purification

Antigen Affinity-purified

Formulation

PBS, 1% BSA, 20% Glycerol

Preservative

0.01% Thimerosal

Concentration

Concentrations vary lot to lot. See vial label for concentration. If unlisted please contact technical services.

Shipping

The product is shipped with polar packs. Upon receipt, store it immediately at the temperature recommended below.

Stability & Storage

Aliquot and store at -20C or -80C. Avoid freeze-thaw cycles.

Background: DLC1

This gene is deleted in the primary tumor of hepatocellular carcinoma. It maps to 8p22-p21.3, a region frequently deleted in solid tumors. It is suggested that this gene is a candidate tumor suppressor gene for human liver cancer, as well as for prostate, lung, colorectal, and breast cancers. Alternative splicing at this locus results in several transcript variants encoding different isoforms. [provided by RefSeq]

Alternate Names

ARHGAP7 STARD12 deleted in liver cancer 1 variant 2, deleted in liver cancer 1, Deleted in liver cancer 1 protein, DLC-1, FLJ21120, HP, HP protein, KIAA1723, p122-RhoGAP, rho GTPase-activating protein 7, Rho-GTPase-activating protein 7, Rho-type GTPase-activating protein 7, StARD12, StAR-related lipid transfer (START) domain containing 12, StAR-related lipid transfer protein 12, START domain-containing protein 12

Gene Symbol

DLC1

UniProt

Additional DLC1 Products

Product Documents for DLC1 Antibody

Certificate of Analysis

To download a Certificate of Analysis, please enter a lot number in the search box below.

Product Specific Notices for DLC1 Antibody

This product is for research use only and is not approved for use in humans or in clinical diagnosis. Primary Antibodies are guaranteed for 1 year from date of receipt.

Loading...
Loading...
Loading...
Loading...

⚠ WARNING: This product can expose you to chemicals including mercury, which is known to the State of California to cause reproductive toxicity with developmental effects.  For more information go to www.P65Warnings.ca.gov.