Skip to main content

Dkk-3 Antibody (8A5C6) - BSA Free

Novus Biologicals, part of Bio-Techne | Catalog # NBP2-37430

Novus Biologicals, part of Bio-Techne
Catalog #
Availability
Size / Price
Qty
Loading...
NBP2-37430-0.025ml
NBP2-37430

Key Product Details

Species Reactivity

Human

Applications

Immunohistochemistry, Immunohistochemistry-Paraffin, Western Blot, ELISA, Flow Cytometry, CyTOF-ready

Label

Unconjugated

Antibody Source

Monoclonal Mouse IgG1 Clone # 8A5C6

Format

BSA Free

Concentration

1 mg/ml

Product Specifications

Immunogen

Purified recombinant fragment of human Dkk-3 (AA: 91-350) expressed in E. Coli.

Clonality

Monoclonal

Host

Mouse

Isotype

IgG1

Theoretical MW

38.3 kDa.
Disclaimer note: The observed molecular weight of the protein may vary from the listed predicted molecular weight due to post translational modifications, post translation cleavages, relative charges, and other experimental factors.

Description

Novus Biologicals Mouse Dkk-3 Antibody (8A5C6) - BSA Free (NBP2-37430) is a monoclonal antibody validated for use in IHC, WB, ELISA and Flow. Anti-Dkk-3 Antibody: Cited in 1 publication. All Novus Biologicals antibodies are covered by our 100% guarantee.

Scientific Data Images for Dkk-3 Antibody (8A5C6) - BSA Free

Western Blot: Dkk-3 Antibody (8A5C6)BSA Free [NBP2-37430]

Western Blot: Dkk-3 Antibody (8A5C6)BSA Free [NBP2-37430]

Western Blot: Dkk-3 Antibody (8A5C6) [NBP2-37430] - Western blot analysis using DKK3 mAb against HEK293 (1) and DKK3 (AA: 91-350)-hIgGFc transfected HEK293 (2) cell lysate.
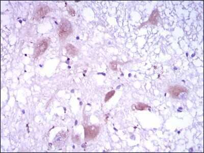
Immunohistochemistry-Paraffin: Dkk-3 Antibody (8A5C6) - BSA Free [NBP2-37430]

Immunohistochemistry-Paraffin: Dkk-3 Antibody (8A5C6) - BSA Free [NBP2-37430]

Immunohistochemistry-Paraffin: Dkk-3 Antibody (8A5C6) [NBP2-37430] - Analysis of brain tissues using DKK3 mouse mAb with DAB staining.
Western Blot: Dkk-3 Antibody (8A5C6)BSA Free [NBP2-37430]

Western Blot: Dkk-3 Antibody (8A5C6)BSA Free [NBP2-37430]

Western Blot: Dkk-3 Antibody (8A5C6) [NBP2-37430] - Western blot analysis using DKK3 mAb against human DKK3 recombinant protein. (Expected MW is 54.4 kDa)

Applications for Dkk-3 Antibody (8A5C6) - BSA Free

Application
Recommended Usage

ELISA

1:10000

Flow Cytometry

1:200-1:400

Immunohistochemistry

1:200 - 1:1000

Western Blot

1:500 - 1:2000
Application Notes
This antibody is Cytof ready.

Formulation, Preparation, and Storage

Purification

Protein G purified

Formulation

PBS

Format

BSA Free

Preservative

0.05% Sodium Azide

Concentration

1 mg/ml

Shipping

The product is shipped with polar packs. Upon receipt, store it immediately at the temperature recommended below.

Stability & Storage

Store at 4C short term. Aliquot and store at -20C long term. Avoid freeze-thaw cycles.

Background: Dkk-3

DKK3 is a secreted protein that is a member of the dickkopf family. It contains two cysteine rich regions and is involved in embryonic development through its interactions with the Wnt signaling pathway. The expression of this gene is decreased in a variety of cancer cell lines and it may function as a tumor suppressor gene.

Long Name

Dickkopf-3

Alternate Names

Dkk3, REIC

Gene Symbol

DKK3

Additional Dkk-3 Products

Product Documents for Dkk-3 Antibody (8A5C6) - BSA Free

Certificate of Analysis

To download a Certificate of Analysis, please enter a lot number in the search box below.

Product Specific Notices for Dkk-3 Antibody (8A5C6) - BSA Free

This product is for research use only and is not approved for use in humans or in clinical diagnosis. Primary Antibodies are guaranteed for 1 year from date of receipt.

Loading...
Loading...
Loading...
Loading...
Loading...