Skip to main content

DHX35 Antibody - BSA Free

Novus Biologicals, part of Bio-Techne | Catalog # NBP3-48011

Novus Biologicals, part of Bio-Techne
Catalog #
Availability
Size / Price
Qty
Loading...
NBP3-48011

Key Product Details

Species Reactivity

Human, Mouse

Applications

Immunohistochemistry, Western Blot, ELISA

Label

Unconjugated

Antibody Source

Polyclonal Rabbit IgG

Format

BSA Free

Concentration

Please see the vial label for concentration. If unlisted please contact technical services.

Product Specifications

Immunogen

DEAH(Asp-Glu-Ala-His) box polypeptide 35. (Uniprot# Q9H5Z1)

Clonality

Polyclonal

Host

Rabbit

Isotype

IgG

Theoretical MW

70 kDa.
Disclaimer note: The observed molecular weight of the protein may vary from the listed predicted molecular weight due to post translational modifications, post translation cleavages, relative charges, and other experimental factors.

Description

Novus Biologicals Rabbit DHX35 Antibody - BSA Free (NBP3-48011) is a polyclonal antibody validated for use in IHC, WB and ELISA. All Novus Biologicals antibodies are covered by our 100% guarantee.

Scientific Data Images for DHX35 Antibody - BSA Free

DHX35 Antibody - BSA Free

Western Blot: DHX35 Antibody - BSA Free [NBP3-48011] -

Western Blot: DHX35 Antibody - BSA Free [NBP3-48011] - Mouse kidney tissue were subjected to SDS PAGE followed by western blot with (DHX35 Antibody) at dilution of 1:300
DHX35 Antibody - BSA Free

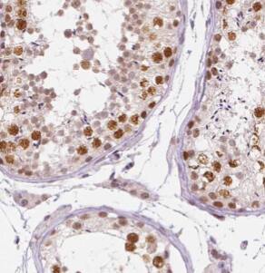
Immunohistochemistry: DHX35 Antibody - BSA Free [NBP3-48011] -

Immunohistochemistry: DHX35 Antibody - BSA Free [NBP3-48011] - Immunohistochemistry of paraffin-embedded human testis tissue slide using (DHX35 Antibody) at dilution of 1:50

Applications for DHX35 Antibody - BSA Free

Application
Recommended Usage

Immunohistochemistry

1:20-1:200

Western Blot

1:500-1:2000

Formulation, Preparation, and Storage

Purification

Immunogen affinity purified

Formulation

PBS, 50% Glycerol, pH (7.3)

Format

BSA Free

Preservative

0.02% Sodium Azide

Concentration

Please see the vial label for concentration. If unlisted please contact technical services.

Shipping

The product is shipped with polar packs. Upon receipt, store it immediately at the temperature recommended below.

Stability & Storage

Store at -20C. Avoid freeze-thaw cycles.

Background: DHX35

DHX35, also known as Probable ATP-dependent RNA helicase DHX35, consists of a 78.9 kDa and a 75.4 kDa isoform and is involved in altering RNA secondary structure and pre-mRNA splicing as a part of the DEAD box protein family. The protein interacts with UBC, CDC40, PRPF8, DKC1, and PLEKHF2. There is no available information about disease research or pathway involvement.

Alternate Names

C20orf15, DDX35, DEAD/H (Asp-Glu-Ala-Asp/His) box polypeptide 35, DEAH (Asp-Glu-Ala-His) box polypeptide 35, DEAH box protein 35, DEAH-box protein 35, EC 3.6.1, EC 3.6.4.13, FLJ22759, KAIA0875, probable ATP-dependent RNA helicase DHX35

Gene Symbol

DHX35

Additional DHX35 Products

Product Documents for DHX35 Antibody - BSA Free

Certificate of Analysis

To download a Certificate of Analysis, please enter a lot number in the search box below.

Product Specific Notices for DHX35 Antibody - BSA Free

This product is for research use only and is not approved for use in humans or in clinical diagnosis. Primary Antibodies are guaranteed for 1 year from date of receipt.

Loading...
Loading...
Loading...
Loading...