Skip to main content

DHX30 Antibody - BSA Free

Novus Biologicals, part of Bio-Techne | Catalog # NBP1-85270

Novus Biologicals, part of Bio-Techne
Catalog #
Availability
Size / Price
Qty
Loading...
NBP1-85270
NBP1-85270-25ul

Key Product Details

Species Reactivity

Validated:

Human

Predicted:

Mouse (100%), Rat (100%). Backed by our 100% Guarantee.

Applications

Immunocytochemistry/ Immunofluorescence, Immunohistochemistry, Immunohistochemistry-Paraffin

Label

Unconjugated

Antibody Source

Polyclonal Rabbit IgG

Format

BSA Free

Concentration

Concentrations vary lot to lot. See vial label for concentration. If unlisted please contact technical services.

Product Specifications

Immunogen

This antibody was developed against Recombinant Protein corresponding to amino acids: ISHAKDKLVYVHTNGPKKKKVTLHIKWPKSVEVEGYGSKKIDAERQAAAAACQLFKGWGLLGPRNELFDAAKYRVLADRFGSPA

Clonality

Polyclonal

Host

Rabbit

Isotype

IgG

Description

Novus Biologicals Rabbit DHX30 Antibody - BSA Free (NBP1-85270) is a polyclonal antibody validated for use in IHC and ICC/IF. All Novus Biologicals antibodies are covered by our 100% guarantee.

Scientific Data Images for DHX30 Antibody - BSA Free

Immunocytochemistry/ Immunofluorescence: DHX30 Antibody [NBP1-85270]

Immunocytochemistry/ Immunofluorescence: DHX30 Antibody [NBP1-85270]

Immunocytochemistry/Immunofluorescence: DHX30 Antibody [NBP1-85270] - Immunofluorescent staining of human cell line U-2 OS shows localization to mitochondria.
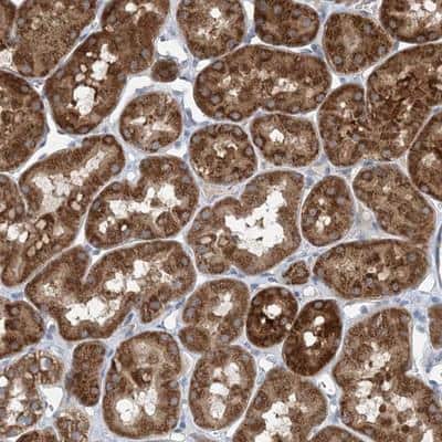
Immunohistochemistry-Paraffin: DHX30 Antibody [NBP1-85270]

Immunohistochemistry-Paraffin: DHX30 Antibody [NBP1-85270]

Immunohistochemistry-Paraffin: DHX30 Antibody [NBP1-85270] - Staining of human kidney shows strong cytoplasmic positivity in cells in tubules.

Applications for DHX30 Antibody - BSA Free

Application
Recommended Usage

Immunocytochemistry/ Immunofluorescence

0.25-2 ug/ml

Immunohistochemistry

1:50 - 1:200

Immunohistochemistry-Paraffin

1:50 - 1:200
Application Notes
For IHC-Paraffin, HIER pH 6 retrieval is recommended. ICC/IF, Fixation Permeabilization: Use PFA/Triton X-100.

Formulation, Preparation, and Storage

Purification

Immunogen affinity purified

Formulation

PBS (pH 7.2) and 40% Glycerol

Format

BSA Free

Preservative

0.02% Sodium Azide

Concentration

Concentrations vary lot to lot. See vial label for concentration. If unlisted please contact technical services.

Shipping

The product is shipped with polar packs. Upon receipt, store it immediately at the temperature recommended below.

Stability & Storage

Store at 4C short term. Aliquot and store at -20C long term. Avoid freeze-thaw cycles.

Background: DHX30

DHX30 (DEAH-box polypeptide 30) is a member of the DEAD box family of proteins that possesses several conserved motifs which include the highly conserved DEAD (Asp-Glu-Ala-Asp) amino acid sequence motif. The major activity of DEAD box proteins is to function as ATP-dependent RNA helicases. As helicases, DEAD proteins play an important role in all aspects of RNA metabolism and function which include pre-mRNA splicing, RNA synthesis, RNA degradation, RNA export, RNA translation, RNA secondary structure formation, ribosome biogenesis, and the assembly of RNP complexes. DHX30 has been implicated to be involved in the packaging of HIV-1 viral RNA and HIV-1 replication.

Alternate Names

ATP-dependent RNA helicase DHX30, DDX30, DEAD/H (Asp-Glu-Ala-Asp/His) box polypeptide 30, DEAH (Asp-Glu-Ala-His) box polypeptide 30, DEAH box protein 30, EC 3.6.1, EC 3.6.4.13, FLJ11214, KIAA0890RETCOR, putative ATP-dependent RNA helicase DHX30, retina co-repressor

Gene Symbol

DHX30

Additional DHX30 Products

Product Documents for DHX30 Antibody - BSA Free

Certificate of Analysis

To download a Certificate of Analysis, please enter a lot number in the search box below.

Product Specific Notices for DHX30 Antibody - BSA Free

This product is for research use only and is not approved for use in humans or in clinical diagnosis. Primary Antibodies are guaranteed for 1 year from date of receipt.

Loading...
Loading...
Loading...
Loading...