DHRS3 Antibody - BSA Free
Novus Biologicals, part of Bio-Techne | Catalog # NBP3-06444
Conjugate
Catalog #
Key Product Details
Species Reactivity
Human
Applications
Immunohistochemistry-Paraffin, Western Blot, Immunocytochemistry/ Immunofluorescence
Label
Unconjugated
Antibody Source
Polyclonal Rabbit IgG
Format
BSA Free
Concentration
Please see the vial label for concentration. If unlisted please contact technical services.
Product Specifications
Immunogen
Produced in rabbits immunized with E. coli-derived Human DHRS3 fragment.
Clonality
Polyclonal
Host
Rabbit
Isotype
IgG
Description
This antibody can be stored at 2C-8C for one month without detectable loss of activity. Antibody products are stable for twelve months from date of receipt when stored at -20C to -80C. Avoid repeated freeze-thaw cycles.
Scientific Data Images for DHRS3 Antibody - BSA Free
Western Blot: DHRS3 Antibody [NBP3-06444]
Western Blot: DHRS3 Antibody [NBP3-06444] - Anti-DHRS3 rabbit polyclonal antibody at 1:500 dilution. Lane A: A375 Whole Cell Lysate Lane B: HepG2 Whole Cell Lysate Lysates/proteins at 30 ug per lane. Secondary: Goat Anti-Rabbit IgG (H+L)/HRP at 1/10000 dilution. Developed using the ECL technique. Performed under reducing conditions.Immunohistochemistry-Paraffin: DHRS3 Antibody [NBP3-06444]
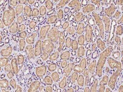
Immunohistochemistry-Paraffin: DHRS3 Antibody [NBP3-06444] - Immunochemical staining of human DHRS3 in human kidney with rabbit polyclonal antibody at 1:100 dilution, formalin-fixed paraffin embedded sections.Immunocytochemistry/Immunofluorescence: DHRS3 Antibody [NBP3-06444] -
Immunocytochemistry/Immunofluorescence: DHRS3 Antibody [NBP3-06444] - Immunofluorescence staining of DHRS3 in U2OS cells. Cells were fixed with 4% PFA, permeabilzed with 0.1% Triton X-100 in PBS, blocked with 10% serum, and incubated with NBP3-06444 antibody (dilution ratio 1:200) at 4 degrees celsius overnight. Then cells were stained with Alexa Fluor (TM) 488-conjugated Goat Anti-rabbit IgG secondary antibody (green) and counterstained with DAPI (blue). Positive staining was localized to Cytoplasm and Nucleus.Applications for DHRS3 Antibody - BSA Free
Application
Recommended Usage
Immunocytochemistry/ Immunofluorescence
1:100-1:500
Immunohistochemistry-Paraffin
1:50-1:200
Western Blot
1:500-1:2000
Formulation, Preparation, and Storage
Purification
Antigen and protein A Affinity-purified
Formulation
PBS
Format
BSA Free
Preservative
0.03% Proclin 300
Concentration
Please see the vial label for concentration. If unlisted please contact technical services.
Shipping
The product is shipped with polar packs. Upon receipt, store it immediately at the temperature recommended below.
Stability & Storage
Store at 4C short term. Aliquot and store at -20C long term. Avoid freeze-thaw cycles.
Background: DHRS3
Alternate Names
DD83.1, dehydrogenase/reductase (SDR family) member 3, EC 1.1.1, EC 1.1.1.300, RDH17, Retinal short-chain dehydrogenase/reductase 1, RETSDR1, retSDR1short chain dehydrogenase/reductase family 16C, member 1, Rsdr1, SDR1, SDR16C1, short-chain dehydrogenase/reductase 1, short-chain dehydrogenase/reductase 3
Gene Symbol
DHRS3
Additional DHRS3 Products
Product Specific Notices for DHRS3 Antibody - BSA Free
This product is for research use only and is not approved for use in humans or in clinical diagnosis. Primary Antibodies are guaranteed for 1 year from date of receipt.
Loading...
Loading...
Loading...
Loading...