Skip to main content

DGK-alpha Antibody (OTI4A11) - Azide and BSA Free

Novus Biologicals, part of Bio-Techne | Catalog # NBP2-70547

Novus Biologicals, part of Bio-Techne
Catalog #
Availability
Size / Price
Qty
Loading...
NBP2-70547

Key Product Details

Species Reactivity

Human

Applications

Immunohistochemistry, Immunohistochemistry-Paraffin, Western Blot, Flow Cytometry, CyTOF-ready

Label

Unconjugated

Antibody Source

Monoclonal Mouse IgG2B Clone # OTI4A11

Format

Azide and BSA Free

Concentration

LYOPH mg/ml

Product Specifications

Immunogen

Full length human recombinant protein of human DGKA(NP_001336) produced in HEK293T cell.

Clonality

Monoclonal

Host

Mouse

Isotype

IgG2B

Theoretical MW

82.5 kDa.
Disclaimer note: The observed molecular weight of the protein may vary from the listed predicted molecular weight due to post translational modifications, post translation cleavages, relative charges, and other experimental factors.

Description

Novus Biologicals Mouse DGK-alpha Antibody (OTI4A11) - Azide and BSA Free (NBP2-01597) is a monoclonal antibody validated for use in IHC, WB and Flow. All Novus Biologicals antibodies are covered by our 100% guarantee.

Scientific Data Images for DGK-alpha Antibody (OTI4A11) - Azide and BSA Free

Western Blot: DGK-alpha Antibody (OTI4A11)Azide and BSA Free [NBP2-70547]

Western Blot: DGK-alpha Antibody (OTI4A11)Azide and BSA Free [NBP2-70547]

Western Blot: DGK-alpha Antibody (OTI4A11) - Azide and BSA Free [NBP2-70547] - HEK293T cells were transfected with the pCMV6-ENTRY control (Left lane) or pCMV6-ENTRY DGKA (Right lane) cDNA for 48 hrs and lysed. Equivalent amounts of cell lysates (5 ug per lane) were separated by SDS-PAGE and immunoblotted with anti-DGKA.
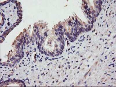
Immunohistochemistry: DGK-alpha Antibody (OTI4A11) - Azide and BSA Free [NBP2-70547]

Immunohistochemistry: DGK-alpha Antibody (OTI4A11) - Azide and BSA Free [NBP2-70547]

Immunohistochemistry: DGK-alpha Antibody (OTI4A11) - Azide and BSA Free [NBP2-70547] - Staining of paraffin-embedded Human prostate tissue using anti-DGKA mouse monoclonal antibody.
Flow Cytometry: DGK-alpha Antibody (OTI4A11) - Azide and BSA Free [NBP2-70547]

Flow Cytometry: DGK-alpha Antibody (OTI4A11) - Azide and BSA Free [NBP2-70547]

Flow Cytometry: DGK-alpha Antibody (OTI4A11) - Azide and BSA Free [NBP2-70547] - Analysis of Jurkat cells, using anti-DGKA antibody, (Red), compared to a nonspecific negative control antibody (Blue).

Applications for DGK-alpha Antibody (OTI4A11) - Azide and BSA Free

Application
Recommended Usage

Flow Cytometry

1:100

Immunohistochemistry

1:150

Western Blot

1:2000

Formulation, Preparation, and Storage

Purification

Immunogen affinity purified

Reconstitution

we recommend adding 100uL distilled water to a final antibody concentration of about 1 mg/mL. To use this carrier-free antibody for conjugation experiment, we strongly recommend performing another round of desalting process.

Formulation

Lyophilized from PBS (pH 7.3) with 8% Trehalose

Format

Azide and BSA Free

Preservative

No Preservative

Concentration

LYOPH mg/ml

Shipping

The product is shipped with polar packs. Upon receipt, store it immediately at the temperature recommended below.

Stability & Storage

Store at -20C. Avoid freeze-thaw cycles.

Background: DGK-alpha

DGKA is encoded by this gene belongs to the eukaryotic diacylglycerol kinase family. It acts as a modulator that competes with protein kinase C for the second messenger diacylglycerol in intracellular signaling pathways. It also plays an important role in the resynthesis of phosphatidylinositols and phosphorylating diacylglycerol to phosphatidic acid. Alternative splicing occurs at this locus and four transcript variants encoding the same protein have been identified. [provided by RefSeq]

Long Name

Diacylglycerol Kinase, alpha 80kDa

Alternate Names

DAGK1, DGKA, DGKalpha

Gene Symbol

DGKA

Additional DGK-alpha Products

Product Documents for DGK-alpha Antibody (OTI4A11) - Azide and BSA Free

Certificate of Analysis

To download a Certificate of Analysis, please enter a lot number in the search box below.

Product Specific Notices for DGK-alpha Antibody (OTI4A11) - Azide and BSA Free

This product is for research use only and is not approved for use in humans or in clinical diagnosis. Primary Antibodies are guaranteed for 1 year from date of receipt.

Loading...
Loading...
Loading...
Loading...
Loading...
Loading...