Skip to main content

DGAT1 Antibody (JE34-88)

Novus Biologicals, part of Bio-Techne | Catalog # NBP3-32265

Recombinant Monoclonal Antibody
Novus Biologicals, part of Bio-Techne
Catalog #
Availability
Size / Price
Qty
Loading...
NBP3-32265

Key Product Details

Species Reactivity

Human

Applications

Immunohistochemistry, Immunohistochemistry-Paraffin, Western Blot

Label

Unconjugated

Antibody Source

Recombinant Monoclonal Rabbit IgG Clone # JE34-88 expressed in HEK293

Concentration

1 mg/ml

Product Specifications

Immunogen

Recombinant protein within Human DGAT1 aa 1-150 / 488. (Uniprot: O75907)

Localization

Endoplasmic reticulum membrane.

Clonality

Monoclonal

Host

Rabbit

Isotype

IgG

Theoretical MW

55 kDa.
Disclaimer note: The observed molecular weight of the protein may vary from the listed predicted molecular weight due to post translational modifications, post translation cleavages, relative charges, and other experimental factors.

Description

Novus Biologicals Rabbit DGAT1 Antibody (JE34-88) (NBP3-32265) is a recombinant monoclonal antibody validated for use in IHC and WB. All Novus Biologicals antibodies are covered by our 100% guarantee.

Scientific Data Images for DGAT1 Antibody (JE34-88)

DGAT1 Antibody (JE34-88)

Western Blot: DGAT1 Antibody (JE34-88) [NBP3-32265]

Western Blot: DGAT1 Antibody (JE34-88) [NBP3-32265] - Western blot analysis of DGAT1 on different lysates with Rabbit anti-DGAT1 antibody (NBP3-32265) at 1/1,000 dilution.

Lane 1: Human liver tissue lysate
Lane 2: MCF7 cell lysate (RIPA lysis)
Lane 3: MCF7 cell lysate (hot lysis)

Lysates/proteins at 15 ug/Lane.

Predicted band size: 55 kDa
Observed band size: 45 kDa

Exposure time: 2 minutes;

4-20% SDS-PAGE gel.

Proteins were transferred to a PVDF membrane and blocked with 5% NFDM/TBST for 1 hour at room temperature. The primary antibody (NBP3-32265) at 1/1,000 dilution was used in 5% NFDM/TBST at 4C overnight. Goat Anti-Rabbit IgG - HRP Secondary Antibody at 1:100,000 dilution was used for 1 hour at room temperature.
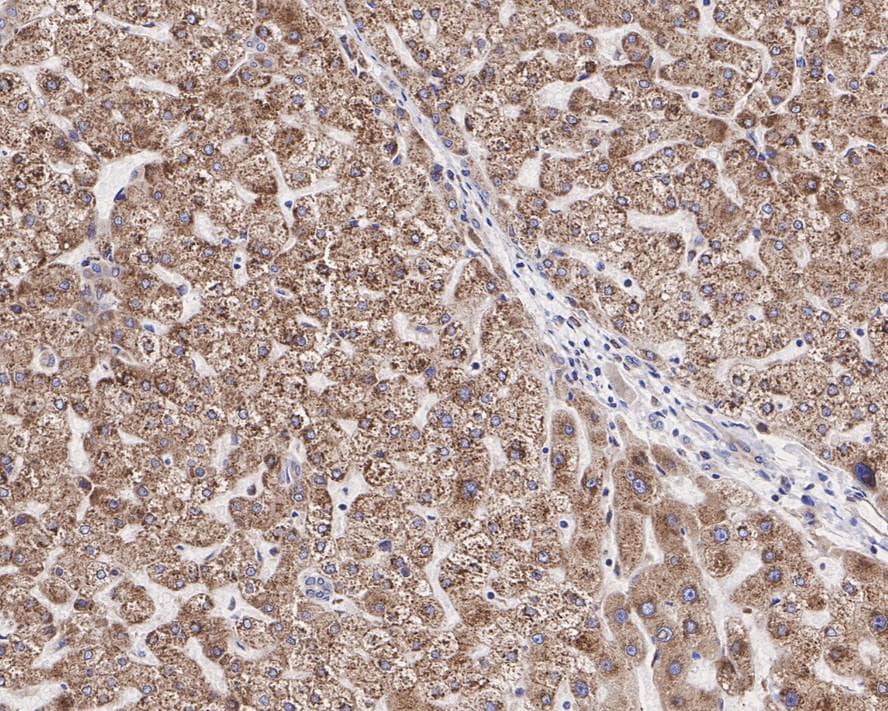
DGAT1 Antibody (JE34-88)

Immunohistochemistry: DGAT1 Antibody (JE34-88) [NBP3-32265]

Immunohistochemistry: DGAT1 Antibody (JE34-88) [NBP3-32265] - Immunohistochemical analysis of paraffin-embedded human liver tissue with Rabbit anti-DGAT1 antibody (NBP3-32265) at 1/1,000 dilution.

The section was pre-treated using heat mediated antigen retrieval with Tris-EDTA buffer (pH 9.0) for 20 minutes. The tissues were blocked in 1% BSA for 20 minutes at room temperature, washed with ddH2O and PBS, and then probed with the primary antibody (NBP3-32265) at 1/1,000 dilution for 1 hour at room temperature. The detection was performed using an HRP conjugated compact polymer system. DAB was used as the chromogen. Tissues were counterstained with hematoxylin and mounted with DPX.

Applications for DGAT1 Antibody (JE34-88)

Application
Recommended Usage

Immunohistochemistry-Paraffin

1:1000

Western Blot

1:1000

Formulation, Preparation, and Storage

Purification

Protein A purified

Formulation

1*TBS (pH7.4), 0.05% BSA and 40% Glycerol

Preservative

0.05% Sodium Azide

Concentration

1 mg/ml

Shipping

The product is shipped with polar packs. Upon receipt, store it immediately at the temperature recommended below.

Stability & Storage

Store at 4C short term. Aliquot and store at -20C long term. Avoid freeze-thaw cycles.

Background: DGAT1

Diglyceride acyltransferase (DGAT) is a membrane-bound Sterol o-acyltransferase subfamily member. DGAT1 is a microsomal enzyme that assists in the synthesis of fatty acids into triglycerides. Specifically, it catalyzes the terminal step in triacylglycerol synthesis, using diacylglycerol (DAG) and fatty acyl CoA as substrates.

DGAT plays a fundamental role in the metabolism of cellular diacylglycerol and is important in higher eukaryotes for physiologic processes involving triacylglycerol metabolism such as intestinal fat absorption, lipoprotein assembly, adipose tissue formation, and lactation. DGAT1 is involved in fat absorption in the intestine and in basal level triglyceride synthesis in adipose tissue, where it is more highly expressed.

Long Name

Diacylglycerol O-Acyltransferase 1

Alternate Names

AGRP1, ARAT, ARGP1, DGAT, DIAR7

Gene Symbol

DGAT1

Additional DGAT1 Products

Product Documents for DGAT1 Antibody (JE34-88)

Certificate of Analysis

To download a Certificate of Analysis, please enter a lot number in the search box below.

Product Specific Notices for DGAT1 Antibody (JE34-88)

This product is for research use only and is not approved for use in humans or in clinical diagnosis. Primary Antibodies are guaranteed for 1 year from date of receipt.

Loading...
Loading...
Loading...
Loading...