DFF45/ICAD Antibody - BSA Free
Novus Biologicals, part of Bio-Techne | Catalog # NBP3-03452
Key Product Details
Validated by
Knockout/Knockdown
Species Reactivity
Human, Mouse, Rat
Applications
Knockout Validated, Western Blot, Immunocytochemistry/ Immunofluorescence
Label
Unconjugated
Antibody Source
Polyclonal Rabbit IgG
Format
BSA Free
Concentration
Please see the vial label for concentration. If unlisted please contact technical services.
Product Specifications
Immunogen
Recombinant fusion protein containing a sequence corresponding to amino acids 1-331 of human DFF45/ICAD (NP_004392.1). MEVTGDAGVPESGEIRTLKPCLLRRNYSREQHGVAASCLEDLRSKACDILAIDKSLTPVTLVLAEDGTIVDDDDYFLCLPSNTKFVALASNEKWAYNNSDGGTAWISQESFDVDETDSGAGLKWKNVARQLKEDLSSIILLSEEDLQMLVDAPCSDLAQELRQSCATVQRLQHTLQQVLDQREEVRQSKQLLQLYLQALEKEGSLLSKQEESKAAFGEEVDAVDTGISRETSSDVALASHILTALREKQAPELSLSSQDLELVTKEDPKALAVALNWDIKKTETVQEACERELALRLQQTQSLHSLRSISASKASPPGDLQNPKRARQDPT
Clonality
Polyclonal
Host
Rabbit
Isotype
IgG
Description
Novus Biologicals Knockout (KO) Validated Rabbit DFF45/ICAD Antibody - BSA Free (NBP3-03452) is a polyclonal antibody validated for use in WB and ICC/IF. All Novus Biologicals antibodies are covered by our 100% guarantee.
Scientific Data Images for DFF45/ICAD Antibody - BSA Free
Western Blot: DFF45/ICAD AntibodyBSA Free [NBP3-03452]
Western Blot: DFF45/ICAD Antibody [NBP3-03452] - Western blot analysis of extracts of various cell lines, using DFF45/ICAD antibody (NBP3-03452) at 1:1000 dilution. Secondary antibody: HRP Goat Anti-Rabbit IgG (H+L) at 1:10000 dilution. Lysates/proteins: 25ug per lane. Blocking buffer: 3% nonfat dry milk in TBST. Detection: ECL Basic Kit. Exposure time: 15s.Immunocytochemistry/ Immunofluorescence: DFF45/ICAD Antibody - BSA Free [NBP3-03452]
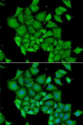
Immunocytochemistry/Immunofluorescence: DFF45/ICAD Antibody [NBP3-03452] - Immunofluorescence analysis of HeLa cells using DFF45/ICAD antibody (NBP3-03452). Blue: DAPI for nuclear staining.Western Blot: DFF45/ICAD Antibody - BSA Free [NBP3-03452]
Western Blot: DFF45/ICAD Antibody [NBP3-03452] - Western blot analysis of extracts from normal (control) and DFF45/ICAD knockout (KO) HeLa cells, using DFF45/ICAD antibody (NBP3-03452) at 1:3000 dilution. Secondary antibody: HRP Goat Anti-Rabbit IgG (H+L) at 1:10000 dilution. Lysates/proteins: 25ug per lane. Blocking buffer: 3% nonfat dry milk in TBST. Detection: ECL Basic Kit. Exposure time: 5s.Applications for DFF45/ICAD Antibody - BSA Free
Application
Recommended Usage
Immunocytochemistry/ Immunofluorescence
1:50 - 1:100
Western Blot
1:500 - 1:2000
Formulation, Preparation, and Storage
Purification
Affinity purified
Formulation
PBS (pH 7.3), 50% glycerol
Format
BSA Free
Preservative
0.02% Sodium Azide
Concentration
Please see the vial label for concentration. If unlisted please contact technical services.
Shipping
The product is shipped with polar packs. Upon receipt, store it immediately at the temperature recommended below.
Stability & Storage
Store at -20C. Avoid freeze-thaw cycles.
Background: DFF45/ICAD
Long Name
DNA Fragmentation Factor, Subunit alpha
Alternate Names
DFF1, DFFA, ICAD
Gene Symbol
DFFA
Additional DFF45/ICAD Products
Product Documents for DFF45/ICAD Antibody - BSA Free
Product Specific Notices for DFF45/ICAD Antibody - BSA Free
This product is for research use only and is not approved for use in humans or in clinical diagnosis. Primary Antibodies are guaranteed for 1 year from date of receipt.
Loading...
Loading...
Loading...
Loading...