Skip to main content

DFF45/ICAD Antibody - BSA Free

Novus Biologicals, part of Bio-Techne | Catalog # NBP1-77010

Novus Biologicals, part of Bio-Techne
Catalog #
Availability
Size / Price
Qty
Loading...
NBP1-77010SS
NBP1-77010

Key Product Details

Species Reactivity

Mouse

Applications

Immunohistochemistry, Immunohistochemistry-Paraffin, Western Blot, ELISA, Immunocytochemistry/ Immunofluorescence

Label

Unconjugated

Antibody Source

Polyclonal Rabbit IgG

Format

BSA Free

Concentration

1 mg/ml

Product Specifications

Immunogen

Antibody was raised against a peptide corresponding to amino acids near the amino terminus of mouse ICAD. The immunogen is located within the first 50 amino acids of ICAD. Amino Acid Squence: ELSRGASAPDPDDVRPLKPC

Clonality

Polyclonal

Host

Rabbit

Isotype

IgG

Theoretical MW

45 kDa.
Disclaimer note: The observed molecular weight of the protein may vary from the listed predicted molecular weight due to post translational modifications, post translation cleavages, relative charges, and other experimental factors.

Scientific Data Images for DFF45/ICAD Antibody - BSA Free

Western Blot: DFF45/ICAD AntibodyBSA Free [NBP1-77010]

Western Blot: DFF45/ICAD AntibodyBSA Free [NBP1-77010]

Western Blot: DFF45/ICAD Antibody [NBP1-77010] - Analysis of ICAD in murine lung tissue lysate with ICAD antibody at 1 ug/ml.
DFF45/ICAD Antibody - BSA Free

Immunocytochemistry/ Immunofluorescence: DFF45/ICAD Antibody - BSA Free [NBP1-77010] -

Immunocytochemistry/ Immunofluorescence: DFF45/ICAD Antibody - BSA Free [NBP1-77010] - Immunofluorescence of DFF45/ICAD in Mouse Lung cells with DFF45/ICAD antibody at 10 ug/mL.
DFF45/ICAD Antibody - BSA Free

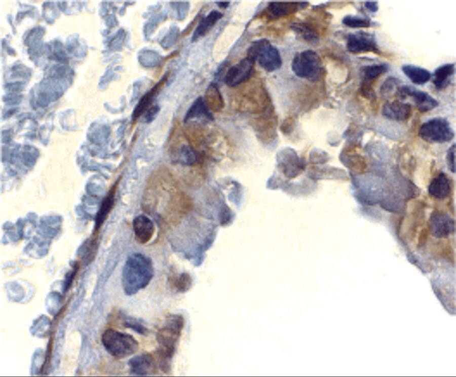
Immunohistochemistry: DFF45/ICAD Antibody - BSA Free [NBP1-77010] -

Immunohistochemistry: DFF45/ICAD Antibody - BSA Free [NBP1-77010] - Immunohistochemistry of DFF45/ICAD in mouse lung tissue with DFF45/ICAD antibody at 2 ug/mL.

Applications for DFF45/ICAD Antibody - BSA Free

Application
Recommended Usage

ELISA

1:100-1:2000

Immunocytochemistry/ Immunofluorescence

10 ug/mL

Immunohistochemistry

2 ug/ml

Immunohistochemistry-Paraffin

2 ug/ml

Western Blot

1 ug/ml
Application Notes
A 45 kDa band can be detected in Western Blot.

Formulation, Preparation, and Storage

Purification

Peptide affinity purified

Formulation

PBS

Format

BSA Free

Preservative

0.02% Sodium Azide

Concentration

1 mg/ml

Shipping

The product is shipped with polar packs. Upon receipt, store it immediately at the temperature recommended below.

Stability & Storage

Store at 4C short term. Aliquot and store at -20C long term. Avoid freeze-thaw cycles.

Background: DFF45/ICAD

Apoptosis is related to many diseases and induced by a family of cell death receptors and their ligands. Cell death signals are transduced by death domain containing adapter molecules and members of the caspase family of proteases. These death signals finally cause the degradation of chromosomal DNA by activated DNase. A human DNA fragmentation factor (DFF) was identified recently which is cleaved by caspase-3 during apoptosis. Mouse homologue of human DFF was identified as a DNase inhibitor designated ICAD, for inhibitor of caspase-activated DNase. Upon cleavage of DFF/ICAD, a caspase activated deoxyribonuclease (CAD) is released and activated and eventually causes the degradation of DNA in the nuclei. Therefore, the cleavage of CAD inhibitor molecule DFF/ICAD, which causes DNase activation and DNA degradation, is the hallmark of apoptotic cell death.

Long Name

DNA Fragmentation Factor, Subunit alpha

Alternate Names

DFF1, DFFA, ICAD

Gene Symbol

DFFA

UniProt

Additional DFF45/ICAD Products

Product Documents for DFF45/ICAD Antibody - BSA Free

Certificate of Analysis

To download a Certificate of Analysis, please enter a lot number in the search box below.

Product Specific Notices for DFF45/ICAD Antibody - BSA Free

This product is for research use only and is not approved for use in humans or in clinical diagnosis. Primary Antibodies are guaranteed for 1 year from date of receipt.

Loading...
Loading...
Loading...
Loading...