Skip to main content

Desmin Antibody (rDES/1711)

Novus Biologicals, part of Bio-Techne | Catalog # NBP3-13865

Recombinant Monoclonal Antibody
Novus Biologicals, part of Bio-Techne
Catalog #
Availability
Size / Price
Qty
Loading...
NBP3-13865-100ug
NBP3-13865-20ug

Key Product Details

Species Reactivity

Human, Mouse, Rat, Chicken, Hamster

Applications

Immunohistochemistry-Paraffin

Label

Unconjugated

Antibody Source

Recombinant Monoclonal Mouse IgG1 kappa Clone # rDES/1711

Concentration

0.2 mg/ml

Product Specifications

Immunogen

Recombinant full-length human desmin protein (Uniprot: P17661)

Localization

Cytoplasm

Specificity

Cytoskeletal intermediate filaments (IFs) constitute a diverse group of proteins that are expressed in a highly tissue-specific manner. IFs are constructed from two-chain -helical coiled-coil molecules arranged on an imperfect helical lattice, and have been widely used as markers for distinguishing individual cell types within a tissue and identifying the origins of metastatic tumors. Vimentin is an IF general marker of cells originating in the mesenchyme. Vimentin and Desmin, a related class III IF, are both expressed during skeletal muscle development. Desmin, a 469 amino acid protein found near the Z line in sarcomeres, is expressed more frequently in adult differentiated state tissues. Anti-desmin detects cells of normal smooth, skeletal, and cardiac muscles. Antibody reacts with leiomyomas, leiomyosarcoma, rhabdomyomas, rhabdomyosarcoma, and perivascular cells of glomus tumors of the skin.

Marker

Muscle Cell Marker

Clonality

Monoclonal

Host

Mouse

Isotype

IgG1 kappa

Theoretical MW

52 kDa.
Disclaimer note: The observed molecular weight of the protein may vary from the listed predicted molecular weight due to post translational modifications, post translation cleavages, relative charges, and other experimental factors.

Description

200ug/ml of antibody purified from Bioreactor Concentrate by Protein A or G. Prepared in 10 mM PBS with 0.05% BSA & 0.05% azide. Also available WITHOUT BSA & azide at 1.0 mg/ml. (NBP3-14038)

Antibody with azide - store at 2 to 8C. Antibody without azide - store at -20 to -80 C.

Scientific Data Images for Desmin Antibody (rDES/1711)

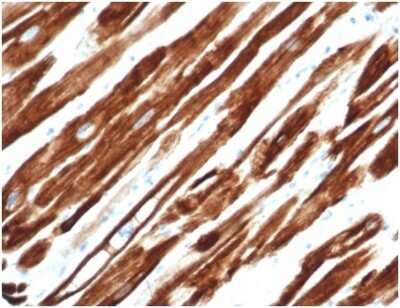
Immunohistochemistry-Paraffin: Desmin Antibody (rDES/1711) [NBP3-13865]

Immunohistochemistry-Paraffin: Desmin Antibody (rDES/1711) [NBP3-13865]

Immunohistochemistry-Paraffin: Desmin Antibody (rDES/1711) [NBP3-13865] - IHC analysis of formalin-fixed, paraffin-embedded human uterus. Stained using Desmin antibody (rDES/1711)at 2ug/ml in PBS for 30min RT. HIER: Tris/EDTA, pH9.0, 45min. HRP-polymer, 30min. DAB, 5min.
Immunohistochemistry-Paraffin: Desmin Antibody (rDES/1711) [NBP3-13865]

Immunohistochemistry-Paraffin: Desmin Antibody (rDES/1711) [NBP3-13865]

Immunohistochemistry-Paraffin: Desmin Antibody (rDES/1711) [NBP3-13865] - Formalin-fixed, paraffin-embedded human uterus stained with Desmin antibody (rDES/1711).

Applications for Desmin Antibody (rDES/1711)

Application
Recommended Usage

Immunohistochemistry-Paraffin

1-2 ug/ml
Application Notes
Immunohistochemistry (Formalin-fixed): 1-2ug/ml for 30 minutes at RT. Staining of formalin-fixed tissues requires heating tissue sections in 10mM Tris with 1mM EDTA, pH 9.0, for 45 min at 95C followed by cooling at RT for 20 minutes

Formulation, Preparation, and Storage

Purification

Protein A or G purified

Formulation

10 mM PBS with 0.05% BSA

Preservative

0.05% Sodium Azide

Concentration

0.2 mg/ml

Shipping

The product is shipped with polar packs. Upon receipt, store it immediately at the temperature recommended below.

Stability & Storage

Store at 4C.

Background: Desmin

Desmin is the protein subunit of muscle-type intermediate filaments (IFs). Desmin is one of the five major groups of IFs and is found predominantly in skeletal, cardiac, and smooth muscle.DE-U-10 labels desmin in tumors derived from muscle tissue (leiomyomas and rhabdomyosarcomas) (Debus E et al.).

Alternate Names

CMD1I, DES

Gene Symbol

DES

UniProt

Additional Desmin Products

Product Documents for Desmin Antibody (rDES/1711)

Certificate of Analysis

To download a Certificate of Analysis, please enter a lot number in the search box below.

Product Specific Notices for Desmin Antibody (rDES/1711)

This product is for research use only and is not approved for use in humans or in clinical diagnosis. Primary Antibodies are guaranteed for 1 year from date of receipt.

Loading...
Loading...
Loading...
Loading...