Skip to main content

Derlin 1 Antibody - BSA Free

Novus Biologicals, part of Bio-Techne | Catalog # NBP2-97369

Novus Biologicals, part of Bio-Techne

Key Product Details

Species Reactivity

Human

Applications

Immunocytochemistry/ Immunofluorescence, Immunohistochemistry, Immunohistochemistry-Paraffin

Label

Unconjugated

Antibody Source

Polyclonal Rabbit IgG

Format

BSA Free

Concentration

Please see the vial label for concentration. If unlisted please contact technical services.

Product Specifications

Immunogen

Produced in rabbits immunized with E. coli-derived Human Derlin 1 fragment.

Clonality

Polyclonal

Host

Rabbit

Isotype

IgG

Description

This antibody can be stored at 2C to 8C for one month without detectable loss of activity. Antibody products are stable for twelve months from date of receipt when stored at -20C to -80C. Avoid repeated freeze-thaw cycles.

Scientific Data Images for Derlin 1 Antibody - BSA Free

Immunohistochemistry-Paraffin: Derlin 1 Antibody [NBP2-97369]

Immunohistochemistry-Paraffin: Derlin 1 Antibody [NBP2-97369]

Immunohistochemistry-Paraffin: Derlin 1 Antibody [NBP2-97369] - Immunochemical staining of human Derlin 1 in human brain with rabbit polyclonal antibody at 1:100 dilution, formalin-fixed paraffin embedded sections.
Derlin 1 Antibody - BSA Free

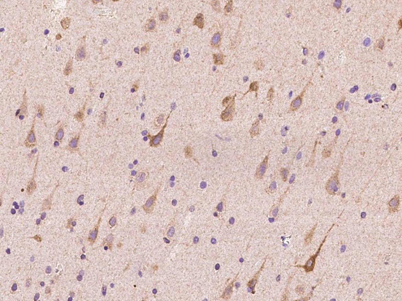
Immunohistochemistry-Paraffin: Derlin 1 Antibody - BSA Free [NBP2-97369] -

Immunohistochemistry-Paraffin: Derlin 1 Antibody - BSA Free [NBP2-97369] - Immunochemical staining of human Derlin 1 in human brain with NBP2-97369 at 1:100 dilution, formalin-fixed paraffin embedded sections.
Derlin 1 Antibody - BSA Free

Immunocytochemistry/Immunofluorescence: Derlin 1 Antibody [NBP2-97369] -

Immunocytochemistry/Immunofluorescence: Derlin 1 Antibody [NBP2-97369] - Immunofluorescence staining of Derlin 1 in U2OS cells. Cells were fixed with 4% PFA, permeabilzed with 0.1% Triton X-100 in PBS, blocked with 10% serum, and incubated with NBP2-97369 antibody (dilution ratio 1:200) at 4C overnight. Then cells were stained with the Alexa Fluor(R)488-conjugated Goat Anti-rabbit IgG Secondary antibody (green) and counterstained with DAPI (blue).Positive staining was localized to Cytoplasm.

Applications for Derlin 1 Antibody - BSA Free

Application
Recommended Usage

Immunocytochemistry/ Immunofluorescence

1:100-1:500

Immunohistochemistry

1:50-1:200

Immunohistochemistry-Paraffin

1:50-1:200

Formulation, Preparation, and Storage

Purification

Antigen and protein A Affinity-purified

Formulation

PBS

Format

BSA Free

Preservative

0.03% Proclin 300

Concentration

Please see the vial label for concentration. If unlisted please contact technical services.

Shipping

The product is shipped with polar packs. Upon receipt, store it immediately at the temperature recommended below.

Stability & Storage

Store at 4C short term. Aliquot and store at -20C long term. Avoid freeze-thaw cycles.

Background: Derlin 1

Degradation in Endoplasmic Reticulum protein 1 (Derlin1) is a channel-like protein, found in the ER membrane, responsible for degrading and funneling misfolded proteins and other cellular debris into the appropriate degradative pathways within the cell. Specifically, Derlin-1 is thought to form a channel to allow retrotranslocation of misfolded proteins into the cytosol where they may be ubiquitinated and degraded by the proteasome.

Derlin 1 antibodies will serve as useful tools for protein degradation studies and for research on certian types of cancers.

Alternate Names

DER-1, DER1Degradation in endoplasmic reticulum protein 1, Der1-like domain family, member 1, Der1-like protein 1, derlin-1, DERtrin-1, FLJ13784, FLJ42092, MGC3067, PRO2577

Gene Symbol

DERL1

Additional Derlin 1 Products

Product Documents for Derlin 1 Antibody - BSA Free

Certificate of Analysis

To download a Certificate of Analysis, please enter a lot number in the search box below.

Product Specific Notices for Derlin 1 Antibody - BSA Free

This product is for research use only and is not approved for use in humans or in clinical diagnosis. Primary Antibodies are guaranteed for 1 year from date of receipt.

Loading...
Loading...
Loading...
Loading...