DEPDC1B Antibody - BSA Free
Novus Biologicals, part of Bio-Techne | Catalog # NBP2-81913
Conjugate
Catalog #
Key Product Details
Species Reactivity
Validated:
Human
Predicted:
Mouse (94%). Backed by our 100% Guarantee.
Applications
Immunohistochemistry, Immunohistochemistry-Paraffin, Western Blot, ELISA
Label
Unconjugated
Antibody Source
Polyclonal Rabbit IgG
Format
BSA Free
Concentration
1 mg/ml
Product Specifications
Immunogen
DEPDC1B antibody was raised against a 19 amino acid peptide near the carboxy terminus of human DEPDC1B. The immunogen is located within the last 50 amino acids of DEPDC1B. Amino Acid Squence: ALKKPFQPFQRTRSFRM
Reactivity Notes
Immunogen displays the following percentage of sequence identity for non-tested species: Chicken: (88%)
Specificity
DEPDC1B antibody is human specific. At least two isoforms are known to exist; this antibody will only detect the largest isoform. DEPDC1B antibody is predicted to not cross-react with DEPDC1A.
Clonality
Polyclonal
Host
Rabbit
Isotype
IgG
Theoretical MW
57 kDa.
Disclaimer note: The observed molecular weight of the protein may vary from the listed predicted molecular weight due to post translational modifications, post translation cleavages, relative charges, and other experimental factors.
Disclaimer note: The observed molecular weight of the protein may vary from the listed predicted molecular weight due to post translational modifications, post translation cleavages, relative charges, and other experimental factors.
Scientific Data Images for DEPDC1B Antibody - BSA Free
Western Blot: DEPDC1B AntibodyBSA Free [NBP2-81913]
Western Blot: DEPDC1B Antibody [NBP2-81913] - Analysis of DEPDC1B in K562 cell lysate with DEPDC1B antibody at 1 ug/ml in (A) the absence and (B) presence of blocking peptide.Immunohistochemistry: DEPDC1B Antibody - BSA Free [NBP2-81913] -
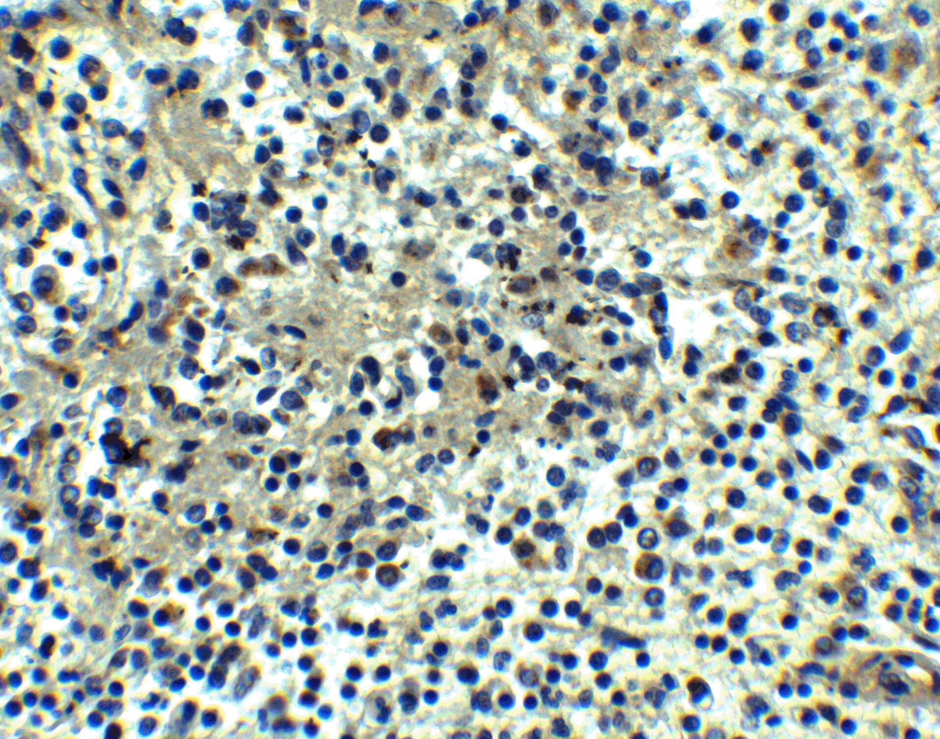
Immunohistochemistry: DEPDC1B Antibody - BSA Free [NBP2-81913] - Immunohistochemistry of DEPDC1B in human spleen tissue with DEPDC1B antibody at 5 ug/ml.Applications for DEPDC1B Antibody - BSA Free
Application
Recommended Usage
Immunohistochemistry
5 ug/ml
Immunohistochemistry-Paraffin
5 ug/ml
Western Blot
1-2 ug/ml
Formulation, Preparation, and Storage
Purification
Peptide affinity purified
Formulation
PBS
Format
BSA Free
Preservative
0.02% Sodium Azide
Concentration
1 mg/ml
Shipping
The product is shipped with polar packs. Upon receipt, store it immediately at the temperature recommended below.
Stability & Storage
Store at 4C short term. Aliquot and store at -20C long term. Avoid freeze-thaw cycles.
Background: DEPDC1B
Alternate Names
BRCC3, breast cancer cell 3, DEP domain containing 1B, DEP domain-containing protein 1B, FLJ11252, HBV XAg-transactivated protein 8, HBV X-transactivated gene 8 protein, HBxAg transactivated protein 1, XTP1, XTP8
Gene Symbol
DEPDC1B
Additional DEPDC1B Products
Product Documents for DEPDC1B Antibody - BSA Free
Product Specific Notices for DEPDC1B Antibody - BSA Free
This product is for research use only and is not approved for use in humans or in clinical diagnosis. Primary Antibodies are guaranteed for 1 year from date of receipt.
Loading...
Loading...
Loading...
Loading...