Skip to main content

DEK Antibody - BSA Free

Novus Biologicals, part of Bio-Techne | Catalog # NBP2-38834

Novus Biologicals, part of Bio-Techne
Catalog #
Availability
Size / Price
Qty
Loading...
NBP2-38834
NBP2-38834-25ul

Key Product Details

Species Reactivity

Validated:

Human, Mouse

Predicted:

Rat (91%). Backed by our 100% Guarantee.

Applications

Immunocytochemistry/ Immunofluorescence, Immunohistochemistry, Immunohistochemistry-Paraffin, Western Blot

Label

Unconjugated

Antibody Source

Polyclonal Rabbit IgG

Format

BSA Free

Concentration

Concentrations vary lot to lot. See vial label for concentration. If unlisted please contact technical services.

Product Specifications

Immunogen

This antibody was developed against a recombinant protein corresponding to amino acids: KFRNAMLKSICEVLDLERSGVNSELVKRILNFLMHPKPSGKPLPKSKKTCSKGSKKERNSSGMARKAKRTKCPEI

Reactivity Notes

Mouse reactivity reported from a verified customer review.

Clonality

Polyclonal

Host

Rabbit

Isotype

IgG

Description

Novus Biologicals Rabbit DEK Antibody - BSA Free (NBP2-38834) is a polyclonal antibody validated for use in IHC, WB and ICC/IF. All Novus Biologicals antibodies are covered by our 100% guarantee.

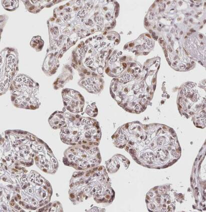
Scientific Data Images for DEK Antibody - BSA Free

Western Blot: DEK Antibody [NBP2-38834]

Western Blot: DEK Antibody [NBP2-38834]

Western Blot: DEK Antibody [NBP2-38834] - Analysis in human cell line U-251 MG.
Immunocytochemistry/ Immunofluorescence: DEK Antibody [NBP2-38834]

Immunocytochemistry/ Immunofluorescence: DEK Antibody [NBP2-38834]

Immunocytochemistry/Immunofluorescence: DEK Antibody [NBP2-38834] - Immunofluorescent staining of human cell line RH-30 shows localization to nucleus.
DEK Antibody

Western Blot: Rabbit Polyclonal DEK Antibody [NBP2-38834]

Western Blot: Rabbit Polyclonal DEK Antibody [NBP2-38834] - Antibody used to detect DEK protein in the liver lysates of DEK+/+ and DEK -/- mice by western blot at 1 ug/ml. DEK bands appeared at around 52 kDa. Image from a verified customer review.

Applications for DEK Antibody - BSA Free

Application
Recommended Usage

Immunocytochemistry/ Immunofluorescence

0.25-2 ug/ml

Immunohistochemistry

1:20 - 1:50

Immunohistochemistry-Paraffin

1:20 - 1:50

Western Blot

0.04-0.4 ug/ml
Application Notes
For IHC-Paraffin, HIER pH 6 retrieval is recommended. ICC/IF Fixation Permeabilization: Use PFA/Triton X-100.

Reviewed Applications

Read 1 review rated 4 using NBP2-38834 in the following applications:

Formulation, Preparation, and Storage

Purification

Immunogen affinity purified

Formulation

PBS (pH 7.2) and 40% Glycerol

Format

BSA Free

Preservative

0.02% Sodium Azide

Concentration

Concentrations vary lot to lot. See vial label for concentration. If unlisted please contact technical services.

Shipping

The product is shipped with polar packs. Upon receipt, store it immediately at the temperature recommended below.

Stability & Storage

Store at 4C short term. Aliquot and store at -20C long term. Avoid freeze-thaw cycles.

Background: DEK

DEK is a chromatin-binding protein that may serve as an architectural protein at promoter or enhancer sites of particular genes and may be involved in the regulation of transcription and mRNA processing. DEK has been identified as an oncoprotein and an autoantigen.

Alternate Names

D6S231EDEK oncogene (DNA binding), DEK oncogene, protein DEK

Gene Symbol

DEK

UniProt

Additional DEK Products

Product Documents for DEK Antibody - BSA Free

Certificate of Analysis

To download a Certificate of Analysis, please enter a lot number in the search box below.

Product Specific Notices for DEK Antibody - BSA Free

This product is for research use only and is not approved for use in humans or in clinical diagnosis. Primary Antibodies are guaranteed for 1 year from date of receipt.

Loading...
Loading...
Loading...
Loading...