Skip to main content

DEK Antibody (20D2) - BSA Free

Novus Biologicals, part of Bio-Techne | Catalog # NBP3-26624

Recombinant monoclonal antibody expressed in HEK293F cells
Novus Biologicals, part of Bio-Techne
Catalog #
Availability
Size / Price
Qty
Loading...
NBP3-26624-100ul
NBP3-26624-50ul

Key Product Details

Species Reactivity

Human

Applications

ELISA, Flow Cytometry, Immunocytochemistry/ Immunofluorescence, Immunohistochemistry

Label

Unconjugated

Antibody Source

Recombinant Monoclonal Rabbit IgG Clone # 20D2 expressed in HEK293

Format

BSA Free

Concentration

Please see the vial label for concentration. If unlisted please contact technical services.

Product Specifications

Immunogen

A synthesized peptide derived from Human DEK [UniProt P35659]

Clonality

Monoclonal

Host

Rabbit

Isotype

IgG

Description

Novus Biologicals Rabbit DEK Antibody (20D2) - BSA Free (NBP3-26624) is a recombinant monoclonal antibody validated for use in IHC, ELISA, Flow and ICC/IF. All Novus Biologicals antibodies are covered by our 100% guarantee.

Scientific Data Images for DEK Antibody (20D2) - BSA Free

DEK Antibody (20D2)

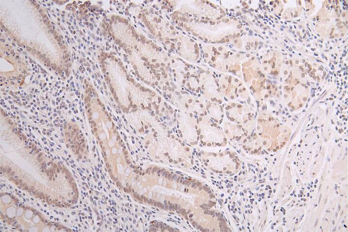
Immunohistochemistry: DEK Antibody (20D2) [NBP3-26624] -

Immunohistochemistry: DEK Antibody (20D2) [NBP3-26624] - Image of DEK Antibody (20D2) diluted at 1:50 and staining in paraffin-embedded human gastric cancer performed. After dewaxing and hydration, antigen retrieval was mediated by high pressure in a citrate buffer (pH 6.0). Section was blocked with 10% normal goat serum 30min at RT. Then primary antibody (1% BSA) was incubated at 4C overnight. The primary is detected by a Goat anti-rabbit polymer IgG labeled by HRP and visualized using 0.67% DAB.
DEK Antibody (20D2)

Immunohistochemistry: DEK Antibody (20D2) [NBP3-26624] -

Immunohistochemistry: DEK Antibody (20D2) [NBP3-26624] - Image of DEK Antibody (20D2) diluted at 1:50 and staining in paraffin-embedded human gastric cancer performed. After dewaxing and hydration, antigen retrieval was mediated by high pressure in a citrate buffer (pH 6.0). Section was blocked with 10% normal goat serum 30min at RT. Then primary antibody (1% BSA) was incubated at 4°C overnight. The primary is detected by a Goat anti-rabbit polymer IgG labeled by HRP and visualized using 0.67% DAB.
DEK Antibody (20D2)

Immunocytochemistry/Immunofluorescence: DEK Antibody (20D2) [NBP3-26624] -

Immunocytochemistry/Immunofluorescence: DEK Antibody (20D2) [NBP3-26624] - Staining of Hela with DEK Antibody (20D2) at 1:20, counter-stained with DAPI. The cells were fixed in 4% formaldehyde and blocked in 10% normal Goat Serum. The cells were then incubated with the antibody overnight at 4C. The secondary antibody was Alexa Fluor 524-conjugated Goat Anti-Rabbit IgG (H+L).

Applications for DEK Antibody (20D2) - BSA Free

Application
Recommended Usage

Flow Cytometry

1:50-1:200

Immunocytochemistry/ Immunofluorescence

1:50-1:200

Immunohistochemistry

1:50-1:200

Formulation, Preparation, and Storage

Purification

Affinity purified

Formulation

PBS, pH 7.4, 150mM NaCl, and 50% glycerol

Format

BSA Free

Preservative

0.02% Sodium Azide

Concentration

Please see the vial label for concentration. If unlisted please contact technical services.

Shipping

The product is shipped with polar packs. Upon receipt, store it immediately at the temperature recommended below.

Stability & Storage

Store at -20 to -70C. Avoid freeze-thaw cycles.

Background: DEK

DEK is a chromatin-binding protein that may serve as an architectural protein at promoter or enhancer sites of particular genes and may be involved in the regulation of transcription and mRNA processing. DEK has been identified as an oncoprotein and an autoantigen.

Alternate Names

D6S231EDEK oncogene (DNA binding), DEK oncogene, protein DEK

Gene Symbol

DEK

Additional DEK Products

Product Documents for DEK Antibody (20D2) - BSA Free

Certificate of Analysis

To download a Certificate of Analysis, please enter a lot number in the search box below.

Product Specific Notices for DEK Antibody (20D2) - BSA Free

This product is for research use only and is not approved for use in humans or in clinical diagnosis. Primary Antibodies are guaranteed for 1 year from date of receipt.

Loading...
Loading...
Loading...
Loading...
Loading...