Skip to main content

DECR1 Antibody (OTI4G4)

Novus Biologicals, part of Bio-Techne | Catalog # NBP2-46449

Novus Biologicals, part of Bio-Techne

Key Product Details

Species Reactivity

Human

Applications

Immunohistochemistry, Immunohistochemistry-Paraffin, Western Blot

Label

Unconjugated

Antibody Source

Monoclonal Mouse IgG1 Clone # OTI4G4

Concentration

1 mg/ml

Product Specifications

Immunogen

Full length human recombinant protein of human DECR1 (NP_001350) produced in HEK293T cell.

Clonality

Monoclonal

Host

Mouse

Isotype

IgG1

Theoretical MW

32.1 kDa.
Disclaimer note: The observed molecular weight of the protein may vary from the listed predicted molecular weight due to post translational modifications, post translation cleavages, relative charges, and other experimental factors.

Description

Novus Biologicals Mouse DECR1 Antibody (OTI4G4) (NBP2-46449) is a monoclonal antibody validated for use in IHC and WB. All Novus Biologicals antibodies are covered by our 100% guarantee.

Scientific Data Images for DECR1 Antibody (OTI4G4)

Western Blot: DECR1 Antibody (OTI4G4) [NBP2-46449]

Western Blot: DECR1 Antibody (OTI4G4) [NBP2-46449]

Western Blot: DECR1 Antibody (OTI4G4) [NBP2-46449] - HEK293T cells were transfected with the pCMV6-ENTRY control (Left lane) or pCMV6-ENTRY DECR1 ( Right lane) cDNA for 48 hrs and lysed. Equivalent amounts of cell lysates (5 ug per lane) were separated by SDS-PAGE and immunoblotted with antiDECR1.(1:2000)
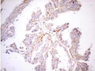
Immunohistochemistry-Paraffin: DECR1 Antibody (OTI4G4) [NBP2-46449]

Immunohistochemistry-Paraffin: DECR1 Antibody (OTI4G4) [NBP2-46449]

Immunohistochemistry-Paraffin: DECR1 Antibody (OTI4G4) [NBP2-46449] - Staining of paraffin-embedded Adenocarcinoma of Human breast tissue tissue using anti-DECR1 mouse monoclonal antibody. (Heat-induced epitope retrieval by 1mM EDTA in 10mM Tris buffer (pH8.5) at 120 degrees C for 3 min,1:150)
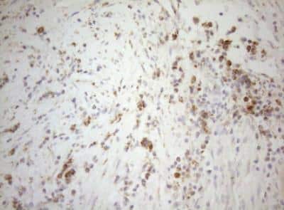
Immunohistochemistry-Paraffin: DECR1 Antibody (OTI4G4) [NBP2-46449]

Immunohistochemistry-Paraffin: DECR1 Antibody (OTI4G4) [NBP2-46449]

Immunohistochemistry-Paraffin: DECR1 Antibody (OTI4G4) [NBP2-46449] - Staining of paraffin-embedded Human tonsil within the normal limits using anti-DECR1 mouse monoclonal antibody.(Heat-induced epitope retrieval by 1mM EDTA in 10mM Tris buffer (pH8.5) at 120 degrees C for 3 min, (1:150)

Applications for DECR1 Antibody (OTI4G4)

Application
Recommended Usage

Immunohistochemistry

1:150

Immunohistochemistry-Paraffin

1:150

Western Blot

1:2000

Formulation, Preparation, and Storage

Purification

Immunogen affinity purified

Formulation

PBS (pH 7.3), 1.0% BSA and 50% Glycerol

Preservative

0.02% Sodium Azide

Concentration

1 mg/ml

Shipping

The product is shipped with polar packs. Upon receipt, store it immediately at the temperature recommended below.

Stability & Storage

Store at -20C. Avoid freeze-thaw cycles.

Background: DECR1

DECR1, also known as 2, 4-dienoyl-CoA reductase, mitochondrial, is a 36 kDa, 335 amino acid protein that catalyzes beta-oxidation in metabolism of unsaturated fatty enoyl-CoA esters with uneven double bonds. Current research is studying the involvement of the protein on diseases and disorders such as arthritis, malaria, dementia, nephropathy, brain disease, tuberculosis, anemia, and cancer. The protein interacts in metabolism, fatty acid biosynthesis, and beta oxidation pathways with other proteins such as HGS, PRKCE, ESR1, PTTG1, and SLC2A4.

Long Name

2,4-Dienoyl CoA Reductase 1, Mitochondrial

Alternate Names

SDR18C1

Gene Symbol

DECR1

Additional DECR1 Products

Product Documents for DECR1 Antibody (OTI4G4)

Certificate of Analysis

To download a Certificate of Analysis, please enter a lot number in the search box below.

Product Specific Notices for DECR1 Antibody (OTI4G4)

This product is for research use only and is not approved for use in humans or in clinical diagnosis. Primary Antibodies are guaranteed for 1 year from date of receipt.

Loading...
Loading...
Loading...
Loading...