Skip to main content

Decorin Antibody (DCN/3523)

Novus Biologicals, part of Bio-Techne | Catalog # NBP2-79774

Novus Biologicals, part of Bio-Techne
Catalog #
Availability
Size / Price
Qty
Loading...
NBP2-79774-100ug
NBP2-79774-20ug

Key Product Details

Species Reactivity

Human

Applications

Immunohistochemistry, Immunohistochemistry-Paraffin, Protein Array

Label

Unconjugated

Antibody Source

Monoclonal Mouse IgG2b Kappa Clone # DCN/3523

Concentration

0.2 mg/ml

Product Specifications

Immunogen

Recombinant human Decorin protein fragment (aa212-336) (exact sequence is proprietary) (Uniprot: P07585)

Localization

Secreted

Clonality

Monoclonal

Host

Mouse

Isotype

IgG2b Kappa

Theoretical MW

43 kDa.
Disclaimer note: The observed molecular weight of the protein may vary from the listed predicted molecular weight due to post translational modifications, post translation cleavages, relative charges, and other experimental factors.

Description

200ug/ml of antibody purified from Bioreactor Concentrate by Protein A or G. Prepared in 10 mM PBS with 0.05% BSA & 0.05% azide. Also available WITHOUT BSA & azide at 1.0 mg/ml. (NBP2-79908)

Antibody with azide - store at 2 to 8C. Antibody without azide - store at -20 to -80 C.

Scientific Data Images for Decorin Antibody (DCN/3523)

Immunohistochemistry-Paraffin: Decorin Antibody (DCN/3523) [NBP2-79774]

Immunohistochemistry-Paraffin: Decorin Antibody (DCN/3523) [NBP2-79774]

Immunohistochemistry-Paraffin: Decorin Antibody (DCN/3523) [NBP2-79774] - Formalin-fixed, paraffin-embedded human Skin stained with Decorin Antibody (DCN/3523).
Immunohistochemistry-Paraffin: Decorin Antibody (DCN/3523) [NBP2-79774]

Immunohistochemistry-Paraffin: Decorin Antibody (DCN/3523) [NBP2-79774]

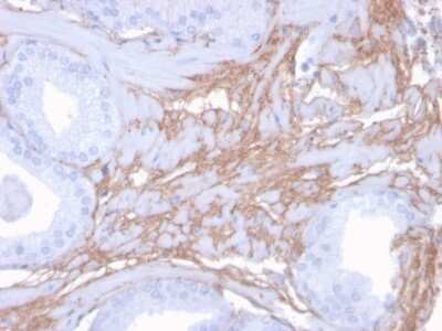
Immunohistochemistry-Paraffin: Decorin Antibody (DCN/3523) [NBP2-79774] - Formalin-fixed, paraffin-embedded human Prostate stained with Decorin Antibody (DCN/3523).
Protein Array: Decorin Antibody (DCN/3523) [NBP2-79774]

Protein Array: Decorin Antibody (DCN/3523) [NBP2-79774]

Protein Array: Decorin Antibody (DCN/3523) [NBP2-79774] - Analysis of Protein Array containing more than 19,000 full-length human proteins using Decorin Antibody (DCN/3523) to Decorin (DCN/3523). Z- and S- Score: The Z-score represents the strength of a signal that a monoclonal antibody (Monoclonal Antibody) (in combination with a fluorescently-tagged anti-IgG secondary antibody) produces when binding to a particular protein on the HuProt(TM) array. Z-scores are described in units of standard deviations (SD's) above the mean value of all signals generated on that array. If targets on HuProt(TM) are arranged in descending order of the Z-score, the S-score is the difference (also in units of SD's) between the Z-score. S-score therefore represents the relative target specificity of a Monoclonal Antibody to its intended target. A Monoclonal Antibody is considered to specific to its intended target, if the Monoclonal Antibody has an S-score of at least 2.5

Applications for Decorin Antibody (DCN/3523)

Application
Recommended Usage

Immunohistochemistry

1-2 ug/ml

Immunohistochemistry-Paraffin

1-2 ug/ml
Application Notes
Immunohistochemistry (Formalin-fixed): 1-2ug/ml for 30 minutes at RT. Staining of formalin-fixed tissues requires heating tissue sections in 10mM Tris with 1mM EDTA, pH 9.0, for 45 min at 95C followed by cooling at RT for 20 minutes.
Optimal dilution for a specific application should be determined.

Formulation, Preparation, and Storage

Purification

Protein A or G purified

Formulation

10 mM PBS with 0.05% BSA

Preservative

0.05% Sodium Azide

Concentration

0.2 mg/ml

Shipping

The product is shipped with polar packs. Upon receipt, store it immediately at the temperature recommended below.

Stability & Storage

Store at 4C.

Background: Decorin

Decorin is encoded by this gene is a small cellular or pericellular matrix proteoglycan that is closely related in structure to biglycan protein. The encoded protein and biglycan are thought to be the result of a gene duplication. This protein is a component of connective tissue, binds to type I collagen fibrils, and plays a role in matrix assembly. It contains one attached glycosaminoglycan chain. This protein is capable of suppressing the growth of various tumor cell lines. There are multiple alternatively spliced transcript variants known for this gene. This gene is a candidate gene for Marfan syndrome.

Alternate Names

DCN, DSPG2, PG-II, PGS2, SLRR1B

Gene Symbol

DCN

UniProt

Additional Decorin Products

Product Documents for Decorin Antibody (DCN/3523)

Certificate of Analysis

To download a Certificate of Analysis, please enter a lot number in the search box below.

Product Specific Notices for Decorin Antibody (DCN/3523)

This product is for research use only and is not approved for use in humans or in clinical diagnosis. Primary Antibodies are guaranteed for 1 year from date of receipt.

Loading...
Loading...
Loading...
Loading...