Skip to main content

DEC1 Antibody (PSH01-90)

Novus Biologicals, part of Bio-Techne | Catalog # NBP3-32946

Recombinant Monoclonal Antibody
Novus Biologicals, part of Bio-Techne
Catalog #
Availability
Size / Price
Qty
Loading...
NBP3-32946

Key Product Details

Species Reactivity

Human

Applications

Immunocytochemistry/ Immunofluorescence, Immunohistochemistry, Immunohistochemistry-Paraffin, Western Blot

Label

Unconjugated

Antibody Source

Recombinant Monoclonal Rabbit IgG Clone # PSH01-90 expressed in HEK293

Concentration

1 mg/ml

Product Specifications

Immunogen

Recombinant protein within human DEC1 aa 151-412 / 412. (Uniprot: O14503)

Localization

Cytoplasm, Nucleus.

Clonality

Monoclonal

Host

Rabbit

Isotype

IgG

Theoretical MW

46 kDa.
Disclaimer note: The observed molecular weight of the protein may vary from the listed predicted molecular weight due to post translational modifications, post translation cleavages, relative charges, and other experimental factors.

Description

Novus Biologicals Rabbit DEC1 Antibody (PSH01-90) (NBP3-32946) is a recombinant monoclonal antibody validated for use in IHC, WB and ICC/IF. All Novus Biologicals antibodies are covered by our 100% guarantee.

Scientific Data Images for DEC1 Antibody (PSH01-90)

DEC1 Antibody (PSH01-90)

Western Blot: DEC1 Antibody (PSH01-90) [NBP3-32946]

Western Blot: DEC1 Antibody (PSH01-90) [NBP3-32946] - Western blot analysis of 45627 on different lysates with Rabbit anti-DEC1 antibody (NBP3-32946) at 1/1,000 dilution.

Lane 1: MCF7 cell lysate
Lane 2: HeLa cell lysate
Lane 3: MDA-MB-231 cell lysate
Lane 4: 293T cell lysate
Lane 5: A431 cell lysate

Lysates/proteins at 20 ug/Lane.

Predicted band size: 46 kDa
Observed band size: 46/50 kDa

Exposure time: 3 minutes;

4-20% SDS-PAGE gel.

Proteins were transferred to a PVDF membrane and blocked with 5% NFDM/TBST for 1 hour at room temperature. The primary antibody (NBP3-32946) at 1/1,000 dilution was used in 5% NFDM/TBST at 4C overnight. Goat Anti-Rabbit IgG - HRP Secondary Antibody at 1/50,000 dilution was used for 1 hour at room temperature.
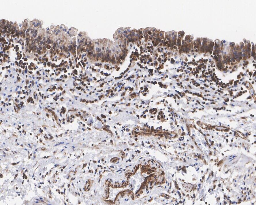
DEC1 Antibody (PSH01-90)

Immunohistochemistry: DEC1 Antibody (PSH01-90) [NBP3-32946]

Immunohistochemistry: DEC1 Antibody (PSH01-90) [NBP3-32946] - Immunohistochemical analysis of paraffin-embedded human bladder tissue with Rabbit anti-DEC1 antibody (NBP3-32946) at 1/1,000 dilution.

The section was pre-treated using heat mediated antigen retrieval with sodium citrate buffer (pH 6.0) for 2 minutes. The tissues were blocked in 1% BSA for 20 minutes at room temperature, washed with ddH2O and PBS, and then probed with the primary antibody (NBP3-32946) at 1/1,000 dilution for 1 hour at room temperature. The detection was performed using an HRP conjugated compact polymer system. DAB was used as the chromogen. Tissues were counterstained with hematoxylin and mounted with DPX.
DEC1 Antibody (PSH01-90)

Immunocytochemistry/ Immunofluorescence: DEC1 Antibody (PSH01-90) [NBP3-32946]

Immunocytochemistry/ Immunofluorescence: DEC1 Antibody (PSH01-90) [NBP3-32946] - Immunocytochemistry analysis of MCF7 cells labeling DEC1 with Rabbit anti-DEC1 antibody (NBP3-32946) at 1/100 dilution.

Cells were fixed in 100% precooled methanol for 5 minutes at room temperature, then blocked with 1% BSA in 10% negative goat serum for 1 hour at room temperature. Cells were then incubated with Rabbit anti-DEC1 antibody (NBP3-32946) at 1/100 dilution in 1% BSA in PBST overnight at 4 ℃. Goat Anti-Rabbit IgG H&L (iFluor™ 488) was used as the secondary antibody at 1/1,000 dilution. PBS instead of the primary antibody was used as the secondary antibody only control. Nuclear DNA was labelled in blue with DAPI.

Beta tubulin (red) was stained at 1/100 dilution overnight at +4℃. Goat Anti-Mouse IgG H&L (iFluor™ 594) was used as the secondary antibody at 1/1,000 dilution.

Applications for DEC1 Antibody (PSH01-90)

Application
Recommended Usage

Immunocytochemistry/ Immunofluorescence

1:100

Immunohistochemistry-Paraffin

1:1000

Western Blot

1:1000

Formulation, Preparation, and Storage

Purification

Protein A purified

Formulation

PBS (pH7.4), 0.1% BSA and 40% Glycerol

Preservative

0.05% Sodium Azide

Concentration

1 mg/ml

Shipping

The product is shipped with polar packs. Upon receipt, store it immediately at the temperature recommended below.

Stability & Storage

Store at 4C short term. Aliquot and store at -20C long term. Avoid freeze-thaw cycles.

Background: DEC1

DEC1 encodes a basic helix-loop-helix protein expressed in various tissues. Expression in the chondrocytes is responsive to the addition of Bt2cAMP. Differentiated embryo chondrocyte expressed gene 1 is believed to be involved in the control of cell differentiation.

Alternate Names

basic helix-loop-helix domain containing, class B, 2, basic helix-loop-helix family, member e40, bHLHb2, bHLHe40, Class B basic helix-loop-helix protein 2, class E basic helix-loop-helix protein 40, DEC1HLHB2, differentially expressed in chondrocytes 1, Differentially expressed in chondrocytes protein 1, differentiated embryo chondrocyte expressed gene 1, Enhancer-of-split and hairy-related protein 2, SHARP2, SHARP-2, Stimulated by retinoic acid gene 13 protein, STRA13FLJ99214, Stra14

Gene Symbol

BHLHE40

Additional DEC1 Products

Product Documents for DEC1 Antibody (PSH01-90)

Certificate of Analysis

To download a Certificate of Analysis, please enter a lot number in the search box below.

Product Specific Notices for DEC1 Antibody (PSH01-90)

This product is for research use only and is not approved for use in humans or in clinical diagnosis. Primary Antibodies are guaranteed for 1 year from date of receipt.

Loading...
Loading...
Loading...
Loading...