Skip to main content

DEC-205/CD205 Antibody (JB87-35)

Novus Biologicals, part of Bio-Techne | Catalog # NBP2-75467

Recombinant Monoclonal Antibody.
Novus Biologicals, part of Bio-Techne
Catalog #
Availability
Size / Price
Qty
Loading...
NBP2-75467

Key Product Details

Species Reactivity

Human, Mouse

Applications

Immunohistochemistry, Immunohistochemistry-Paraffin, Immunoprecipitation, Western Blot

Label

Unconjugated

Antibody Source

Recombinant Monoclonal Rabbit IgG Clone # JB87-35 expressed in HEK293

Concentration

1 mg/ml

Product Specifications

Immunogen

Recombinant protein within Human DEC-205/CD205 aa 1,560-1,722 / 1,722. (SwissProt: O60449 Human; SwissProt: Q60767 Mouse)

Localization

Membrane.

Clonality

Monoclonal

Host

Rabbit

Isotype

IgG

Theoretical MW

198 kDa.
Disclaimer note: The observed molecular weight of the protein may vary from the listed predicted molecular weight due to post translational modifications, post translation cleavages, relative charges, and other experimental factors.

Description

Novus Biologicals Rabbit DEC-205/CD205 Antibody (JB87-35) (NBP2-75467) is a recombinant monoclonal antibody validated for use in IHC, WB and IP. All Novus Biologicals antibodies are covered by our 100% guarantee.

Scientific Data Images for DEC-205/CD205 Antibody (JB87-35)

Western Blot: DEC-205/CD205 Antibody (JB87-35) [NBP2-75467]

Western Blot: DEC-205/CD205 Antibody (JB87-35) [NBP2-75467]

Western Blot: DEC-205/CD205 Antibody (JB87-35) [NBP2-75467] - Analysis of LY75 on THP-1 cell lysates. Proteins were transferred to a PVDF membrane and blocked with 5% BSA in PBS for 1 hour at room temperature. The primary antibody (1/500) was used in 5% BSA at room temperature for 2 hours. Goat Anti-Rabbit IgG - HRP Secondary Antibody at 1:200,000 dilution was used for 1 hour at room temperature.
Immunohistochemistry-Paraffin: DEC-205/CD205 Antibody (JB87-35) [NBP2-75467]

Immunohistochemistry-Paraffin: DEC-205/CD205 Antibody (JB87-35) [NBP2-75467]

Immunohistochemistry-Paraffin: DEC-205/CD205 Antibody (JB87-35) [NBP2-75467] - Analysis of paraffin-embedded mouse colon tissue using anti-LY75 antibody. Counter stained with hematoxylin.
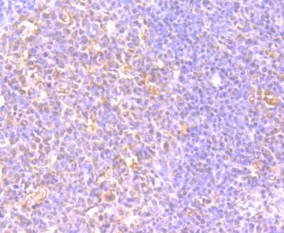
Immunohistochemistry-Paraffin: DEC-205/CD205 Antibody (JB87-35) [NBP2-75467]

Immunohistochemistry-Paraffin: DEC-205/CD205 Antibody (JB87-35) [NBP2-75467]

Immunohistochemistry-Paraffin: DEC-205/CD205 Antibody (JB87-35) [NBP2-75467] - Analysis of paraffin-embedded human tonsil tissue using anti-LY75 antibody. Counter stained with hematoxylin.

Applications for DEC-205/CD205 Antibody (JB87-35)

Application
Recommended Usage

Immunohistochemistry-Paraffin

1:50-1:200

Western Blot

1:500-1:1000

Formulation, Preparation, and Storage

Purification

Protein A purified

Formulation

TBS (pH7.4), 0.05% BSA, 40% Glycerol

Preservative

0.05% Sodium Azide

Concentration

1 mg/ml

Shipping

The product is shipped with polar packs. Upon receipt, store it immediately at the temperature recommended below.

Stability & Storage

Store at 4C short term. Aliquot and store at -20C long term. Avoid freeze-thaw cycles.

Background: DEC-205/CD205

Predicted to enable signaling receptor activity. Predicted to be involved in immune response and inflammatory response. Located in extracellular exosome. [provided by Alliance of Genome Resources, Apr 2022]

Alternate Names

CD205, DEC205, Ly75

Gene Symbol

LY75

Additional DEC-205/CD205 Products

Product Documents for DEC-205/CD205 Antibody (JB87-35)

Certificate of Analysis

To download a Certificate of Analysis, please enter a lot number in the search box below.

Product Specific Notices for DEC-205/CD205 Antibody (JB87-35)

This product is for research use only and is not approved for use in humans or in clinical diagnosis. Primary Antibodies are guaranteed for 1 year from date of receipt.

Loading...
Loading...
Loading...
Loading...