Skip to main content

DDX6 Antibody

Novus Biologicals, part of Bio-Techne | Catalog # NB200-191

Novus Biologicals, part of Bio-Techne
Catalog #
Availability
Size / Price
Qty
Loading...
NB200-191

Key Product Details

Species Reactivity

Validated:

Human, Mouse, Hamster

Cited:

Human, Mouse, Rat

Predicted:

Chicken (100%), Orangutan (100%). Backed by our 100% Guarantee.

Applications

Validated:

Immunohistochemistry, Immunohistochemistry-Paraffin, Western Blot, Immunocytochemistry/ Immunofluorescence, Immunoprecipitation

Cited:

Immunohistochemistry-Paraffin, Western Blot, Immunocytochemistry/ Immunofluorescence

Label

Unconjugated

Antibody Source

Polyclonal Rabbit IgG

Concentration

0.2 mg/ml

Product Specifications

Immunogen

The immunogen recognized by NB200-191 maps to a region between residues 1 and 50 of human DEAD (Asp-Glu-Ala-Asp) box polypeptide 6 using the numbering given Swiss-Prot entry P26196 (GeneID 1656).

Reactivity Notes

Hamster reactivity reported from a verified customer reivew.

Clonality

Polyclonal

Host

Rabbit

Isotype

IgG

Description

Novus Biologicals Rabbit DDX6 Antibody (NB200-191) is a polyclonal antibody validated for use in IHC, WB, ICC/IF and IP. Anti-DDX6 Antibody: Cited in 42 publications. All Novus Biologicals antibodies are covered by our 100% guarantee.

Scientific Data Images for DDX6 Antibody

Western Blot: DDX6 Antibody [NB200-191]

Western Blot: DDX6 Antibody [NB200-191]

DDX6-Antibody-Western-Blot-NB200-191-img0014.jpg
Immunocytochemistry/ Immunofluorescence: DDX6 Antibody [NB200-191]

Immunocytochemistry/ Immunofluorescence: DDX6 Antibody [NB200-191]

Immunocytochemistry/Immunofluorescence: DDX6 Antibody [NB200-191] - In normal condition, cells were fixed and stained for DDX6, that usually punctuate in process bodies (PBs). Primary Antibody rabbit-anti-DDX6 diluted 1:1000. Image submitted by a verified customer review.
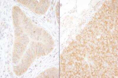
Immunohistochemistry-Paraffin: DDX6 Antibody [NB200-191]

Immunohistochemistry-Paraffin: DDX6 Antibody [NB200-191]

Immunohistochemistry-Paraffin: DDX6 Antibody [NB200-191] - Section of human colon carcinoma (left) and mouse renal cell carcinoma(right). Antibody: Affinity purified rabbit anti-DDX6 used at a dilution of 1:200 (1ug/ml). Detection: DAB.

Applications for DDX6 Antibody

Application
Recommended Usage

Immunohistochemistry

1:100-1:500

Immunohistochemistry-Paraffin

1:100-1:500

Immunoprecipitation

2-5 ug/mg lysate

Western Blot

1:5000-1:15000
Application Notes
ICC/IF was reported in scientific literature (PMID: 25800057) and a verified customer review. Optimal working dilutions should be determined experimentally by the investigator. Prepare working dilution immediately before use. Epitope retrieval with Tris-EDTA pH 9.0 is recommended for FFPE tissue sections.

Reviewed Applications

Read 1 review rated 4 using NB200-191 in the following applications:

Formulation, Preparation, and Storage

Purification

Immunogen affinity purified

Formulation

TBS, 0.1% BSA

Preservative

0.09% Sodium Azide

Concentration

0.2 mg/ml

Shipping

The product is shipped with polar packs. Upon receipt, store it immediately at the temperature recommended below.

Stability & Storage

Store at 4C. Do not freeze.

Background: DDX6

DEAD box proteins, characterized by the conserved motif Asp-Glu-Ala-Asp (DEAD), are putative RNA helicases. They are implicated in a number of cellular processes involving alteration of RNA secondary structure such as translation initiation, nuclear and mitochondrial splicing, and ribosome and spliceosome assembly. Based on their distribution patterns, some members of this family are believed to be involved in embryogenesis, spermatogenesis, and cellular growth and division. This gene encodes a DEAD box protein. It may contribute to the cell proliferation and carcinogenesis.

Alternate Names

ATP-dependent RNA helicase p54, DEAD (Asp-Glu-Ala-Asp) box polypeptide 6, DEAD box protein 6, DEAD/H (Asp-Glu-Ala-Asp/His) box polypeptide 6 (RNA helicase, 54kD), EC 3.6.1, EC 3.6.4.13, FLJ36338, HLR2DEAD box-6, Oncogene RCK, probable ATP-dependent RNA helicase DDX6, RCKP54

Entrez Gene IDs

1656 (Human)

Gene Symbol

DDX6

UniProt

Additional DDX6 Products

Product Documents for DDX6 Antibody

Certificate of Analysis

To download a Certificate of Analysis, please enter a lot number in the search box below.

Product Specific Notices for DDX6 Antibody

This product is for research use only and is not approved for use in humans or in clinical diagnosis. Primary Antibodies are guaranteed for 1 year from date of receipt.

Loading...
Loading...
Loading...
Loading...