Skip to main content

DDX6 Antibody (OTI2D6)

Novus Biologicals, part of Bio-Techne | Catalog # NBP2-46448

Novus Biologicals, part of Bio-Techne
Catalog #
Availability
Size / Price
Qty
Loading...
NBP2-46448

Key Product Details

Species Reactivity

Human, Mouse, Rat

Applications

Immunohistochemistry, Immunohistochemistry-Paraffin, Western Blot

Label

Unconjugated

Antibody Source

Monoclonal Mouse IgG2A Clone # OTI2D6

Concentration

1 mg/ml

Product Specifications

Immunogen

Human recombinant protein fragment corresponding to amino acids 1-298 of human DDX6 (NP_004388) produced in E.coli.

Reactivity Notes

Please note that this antibody is reactive to Mouse and derived from the same host, Mouse. Mouse-On-Mouse blocking reagent may be needed for IHC and ICC experiments to reduce high background signal. You can find these reagents under catalog numbers PK-2200-NB and MP-2400-NB. Please contact Technical Support if you have any questions.

Clonality

Monoclonal

Host

Mouse

Isotype

IgG2A

Theoretical MW

54.2 kDa.
Disclaimer note: The observed molecular weight of the protein may vary from the listed predicted molecular weight due to post translational modifications, post translation cleavages, relative charges, and other experimental factors.

Description

Novus Biologicals Mouse DDX6 Antibody (OTI2D6) (NBP2-46448) is a monoclonal antibody validated for use in IHC and WB. All Novus Biologicals antibodies are covered by our 100% guarantee.

Scientific Data Images for DDX6 Antibody (OTI2D6)

Western Blot: DDX6 Antibody (OTI2D6) [NBP2-46448]

Western Blot: DDX6 Antibody (OTI2D6) [NBP2-46448]

Western Blot: DDX6 Antibody (2D6) [NBP2-46448] - Analysis of HEK293T cells were transfected with the pCMV6-ENTRY control (Left lane) or pCMV6-ENTRY DDX6 .
Immunohistochemistry: DDX6 Antibody (OTI2D6) [NBP2-46448]

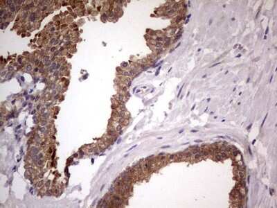
Immunohistochemistry: DDX6 Antibody (OTI2D6) [NBP2-46448]

Immunohistochemistry: DDX6 Antibody (2D6) [NBP2-46448] - Analysis of Carcinoma of Human prostate tissue. (Heat-induced epitope retrieval by 1 mM EDTA in 10mM Tris, pH8.5, 120C for 3min)

Applications for DDX6 Antibody (OTI2D6)

Application
Recommended Usage

Immunohistochemistry

1:150

Western Blot

1:500

Formulation, Preparation, and Storage

Purification

Immunogen affinity purified

Formulation

PBS (pH 7.3), 1.0% BSA and 50% Glycerol

Preservative

0.02% Sodium Azide

Concentration

1 mg/ml

Shipping

The product is shipped with polar packs. Upon receipt, store it immediately at the temperature recommended below.

Stability & Storage

Store at -20C. Avoid freeze-thaw cycles.

Background: DDX6

DDX6 encodes a member of the DEAD box protein family. The protein is an RNA helicase found in P-bodies and stress granules, and functions in translation suppression and mRNA degradation. It is required for microRNA-induced gene silencing.

Alternate Names

ATP-dependent RNA helicase p54, DEAD (Asp-Glu-Ala-Asp) box polypeptide 6, DEAD box protein 6, DEAD/H (Asp-Glu-Ala-Asp/His) box polypeptide 6 (RNA helicase, 54kD), EC 3.6.1, EC 3.6.4.13, FLJ36338, HLR2DEAD box-6, Oncogene RCK, probable ATP-dependent RNA helicase DDX6, RCKP54

Gene Symbol

DDX6

Additional DDX6 Products

Product Documents for DDX6 Antibody (OTI2D6)

Certificate of Analysis

To download a Certificate of Analysis, please enter a lot number in the search box below.

Product Specific Notices for DDX6 Antibody (OTI2D6)

This product is for research use only and is not approved for use in humans or in clinical diagnosis. Primary Antibodies are guaranteed for 1 year from date of receipt.

Loading...
Loading...
Loading...
Loading...