Skip to main content

DDX56 Antibody (OTI2E5)

Novus Biologicals, part of Bio-Techne | Catalog # NBP2-46440

Novus Biologicals, part of Bio-Techne
Catalog #
Availability
Size / Price
Qty
Loading...
NBP2-46440

Key Product Details

Species Reactivity

Human, Mouse, Rat

Applications

Immunohistochemistry, Immunohistochemistry-Paraffin, Western Blot

Label

Unconjugated

Antibody Source

Monoclonal Mouse IgG1 Clone # OTI2E5

Concentration

1 mg/ml

Product Specifications

Immunogen

Human recombinant protein fragment corresponding to amino acids 323-547 of human DDX56 (NP_061955) produced in E.coli.

Reactivity Notes

Please note that this antibody is reactive to Mouse and derived from the same host, Mouse. Mouse-On-Mouse blocking reagent may be needed for IHC and ICC experiments to reduce high background signal. You can find these reagents under catalog numbers PK-2200-NB and MP-2400-NB. Please contact Technical Support if you have any questions.

Clonality

Monoclonal

Host

Mouse

Isotype

IgG1

Theoretical MW

61.4 kDa.
Disclaimer note: The observed molecular weight of the protein may vary from the listed predicted molecular weight due to post translational modifications, post translation cleavages, relative charges, and other experimental factors.

Description

Novus Biologicals Mouse DDX56 Antibody (OTI2E5) (NBP2-46440) is a monoclonal antibody validated for use in IHC and WB. All Novus Biologicals antibodies are covered by our 100% guarantee.

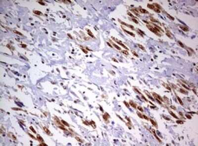
Scientific Data Images for DDX56 Antibody (OTI2E5)

Western Blot: DDX56 Antibody (OTI2E5) [NBP2-46440]

Western Blot: DDX56 Antibody (OTI2E5) [NBP2-46440]

Western Blot: DDX56 Antibody (2E5) [NBP2-46440] - Analysis of HEK293T cells were transfected with the pCMV6-ENTRY control (Left lane) or pCMV6-ENTRY DDX56.
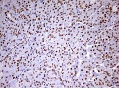
Immunohistochemistry: DDX56 Antibody (OTI2E5) [NBP2-46440]

Immunohistochemistry: DDX56 Antibody (OTI2E5) [NBP2-46440]

Immunohistochemistry: DDX56 Antibody (2E5) [NBP2-46440] - Analysis of Human tonsil tissue. (Heat-induced epitope retrieval by 10mM citric buffer, pH6.0, 120C for 3min)
Immunohistochemistry: DDX56 Antibody (OTI2E5) [NBP2-46440]

Immunohistochemistry: DDX56 Antibody (OTI2E5) [NBP2-46440]

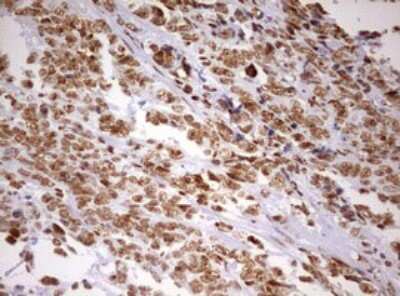
Immunohistochemistry: DDX56 Antibody (2E5) [NBP2-46440] - Analysis of Human breast tissue. (Heat-induced epitope retrieval by 10mM citric buffer, pH6.0, 120C for 3min)

Applications for DDX56 Antibody (OTI2E5)

Application
Recommended Usage

Immunohistochemistry

1:150

Western Blot

1:2000

Formulation, Preparation, and Storage

Purification

Immunogen affinity purified

Formulation

PBS (pH 7.3), 1.0% BSA and 50% Glycerol

Preservative

0.02% Sodium Azide

Concentration

1 mg/ml

Shipping

The product is shipped with polar packs. Upon receipt, store it immediately at the temperature recommended below.

Stability & Storage

Store at -20C. Avoid freeze-thaw cycles.

Background: DDX56

DDX56 encodes a member of the DEAD box protein family. DEAD box proteins, characterized by the conserved motif Asp-Glu-Ala-Asp (DEAD), are putative RNA helicases. They are implicated in a number of cellular processes involving alteration of RNA secondary structure such as translation initiation, nuclear and mitochondrial splicing, and ribosome and spliceosome assembly. Based on their distribution patterns, some members of this family are believed to be involved in embryogenesis, spermatogenesis, and cellular growth and division. The protein encoded by this gene shows ATPase activity in the presence of polynucleotides and associates with nucleoplasmic 65S preribosomal particles. This gene may be involved in ribosome synthesis, most likely during assembly of the large 60S ribosomal subunit.

Alternate Names

ATP-dependent 61 kDa nucleolar RNA helicase, DDX26, DEAD (Asp-Glu-Ala-Asp) box polypeptide 56, DEAD box protein 21, DEAD box protein 56, DEAD-box RNA helicase, EC 3.6.1, EC 3.6.4.13,61-kd nucleolar helicase, NOH61DDX21, probable ATP-dependent RNA helicase DDX56, putative nucleolar RNA helicase

Gene Symbol

DDX56

Additional DDX56 Products

Product Documents for DDX56 Antibody (OTI2E5)

Certificate of Analysis

To download a Certificate of Analysis, please enter a lot number in the search box below.

Product Specific Notices for DDX56 Antibody (OTI2E5)

This product is for research use only and is not approved for use in humans or in clinical diagnosis. Primary Antibodies are guaranteed for 1 year from date of receipt.

Loading...
Loading...
Loading...
Loading...