DDX5 Antibody (2C3) - BSA Free
Novus Biologicals, part of Bio-Techne | Catalog # NBP3-26627
Recombinant Monoclonal Antibody
Key Product Details
Species Reactivity
Human, Mouse
Applications
Immunohistochemistry, Western Blot, ELISA, Flow Cytometry, Immunocytochemistry/ Immunofluorescence
Label
Unconjugated
Antibody Source
Recombinant Monoclonal Rabbit IgG Clone # 2C3 expressed in HEK293
Format
BSA Free
Concentration
Please see the vial label for concentration. If unlisted please contact technical services.
Product Specifications
Immunogen
A synthesized peptide derived from Human DDX5 [UniProt P17844]
Clonality
Monoclonal
Host
Rabbit
Isotype
IgG
Description
Novus Biologicals Rabbit DDX5 Antibody (2C3) - BSA Free (NBP3-26627) is a recombinant monoclonal antibody validated for use in IHC, WB, ELISA, Flow and ICC/IF. All Novus Biologicals antibodies are covered by our 100% guarantee.
Scientific Data Images for DDX5 Antibody (2C3) - BSA Free
Immunohistochemistry: DDX5 Antibody (2C3) [NBP3-26627] -
Immunohistochemistry: DDX5 Antibody (2C3) [NBP3-26627] - Image of DDX5 Antibody (2C3) diluted at 1:100 and staining in paraffin-embedded human colon cancer performed. After dewaxing and hydration, antigen retrieval was mediated by high pressure in a citrate buffer (pH 6.0). Section was blocked with 10% normal goat serum 30min at RT. Then primary antibody (1% BSA) was incubated at 4C overnight. The primary is detected by a Goat anti-rabbit IgG polymer labeled by HRP and visualized using 0.05% DAB.Western Blot: DDX5 Antibody (2C3) [NBP3-26627] -
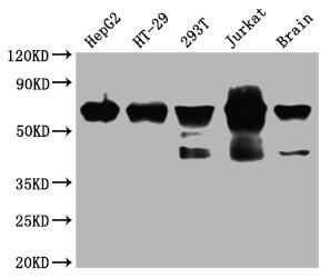
Western Blot: DDX5 Antibody (2C3) [NBP3-26627] - Positive Western Blot detected in: HepG2 whole cell lysate, HT-29 whole cell lysate, 293T whole cell lysate, Jurkat whole cell lysate, Mouse brain tissue.All lanes: DDX5 Antibody at 1: 2000
Secondary: Goat polyclonal to rabbit IgG at 1/50000 dilution.
Predicted band size: 70, 61 kDa
Observed band size: 70 kDa
Immunocytochemistry/Immunofluorescence: DDX5 Antibody (2C3) [NBP3-26627] -
Immunocytochemistry/Immunofluorescence: DDX5 Antibody (2C3) [NBP3-26627] - Staining of HepG2 Cells with DDX5 Antibody (2C3) at 1:50, counter-stained with DAPI. The cells were fixed in 4% formaldehyde, permeated by 0.2% Triton X-100, and blocked in 10% normal Goat Serum. The cells were then incubated with the antibody overnight at 4C. Nuclear DNA was labeled in blue with DAPI. The secondary antibody was FITC-conjugated Goat Anti-Rabbit IgG (H+L).Applications for DDX5 Antibody (2C3) - BSA Free
Application
Recommended Usage
Flow Cytometry
1:20-1:200
Immunocytochemistry/ Immunofluorescence
1:20-1:200
Immunohistochemistry
1:50-1:200
Western Blot
1:500-1:5000
Formulation, Preparation, and Storage
Purification
Affinity purified
Formulation
PBS, pH 7.4, 150mM NaCl, and 50% glycerol
Format
BSA Free
Preservative
0.02% Sodium Azide
Concentration
Please see the vial label for concentration. If unlisted please contact technical services.
Shipping
The product is shipped with polar packs. Upon receipt, store it immediately at the temperature recommended below.
Stability & Storage
Store at -20 to -70C. Avoid freeze-thaw cycles.
Background: DDX5
Long Name
DEAD Box Protein 5
Alternate Names
DEAD/H, G17P1, HELR, HLR1, HUMP68
Gene Symbol
DDX5
Additional DDX5 Products
Product Documents for DDX5 Antibody (2C3) - BSA Free
Product Specific Notices for DDX5 Antibody (2C3) - BSA Free
This product is for research use only and is not approved for use in humans or in clinical diagnosis. Primary Antibodies are guaranteed for 1 year from date of receipt.
Loading...
Loading...
Loading...
Loading...
Loading...