Skip to main content

DDX3Y Antibody - BSA Free

Novus Biologicals, part of Bio-Techne | Catalog # NBP3-48031

Novus Biologicals, part of Bio-Techne
Catalog #
Availability
Size / Price
Qty
Loading...
NBP3-48031

Key Product Details

Species Reactivity

Human, Mouse, Rat

Applications

Immunohistochemistry, Western Blot, ELISA, Immunocytochemistry/ Immunofluorescence

Label

Unconjugated

Antibody Source

Polyclonal Rabbit IgG

Format

BSA Free

Concentration

Please see the vial label for concentration. If unlisted please contact technical services.

Product Specifications

Immunogen

DEAD(Asp-Glu-Ala-Asp) box polypeptide 3, Y-linked. (Uniprot# O15523)

Clonality

Polyclonal

Host

Rabbit

Isotype

IgG

Theoretical MW

73 kDa.
Disclaimer note: The observed molecular weight of the protein may vary from the listed predicted molecular weight due to post translational modifications, post translation cleavages, relative charges, and other experimental factors.

Description

Novus Biologicals Rabbit DDX3Y Antibody - BSA Free (NBP3-48031) is a polyclonal antibody validated for use in IHC, WB, ELISA and ICC/IF. All Novus Biologicals antibodies are covered by our 100% guarantee.

Scientific Data Images for DDX3Y Antibody - BSA Free

DDX3Y Antibody - BSA Free

Western Blot: DDX3Y Antibody - BSA Free [NBP3-48031] -

Western Blot: DDX3Y Antibody - BSA Free [NBP3-48031] - Mouse testis tissue were subjected to SDS PAGE followed by western blot with (DDX3Y Antibody) at dilution of 1:300
DDX3Y Antibody - BSA Free

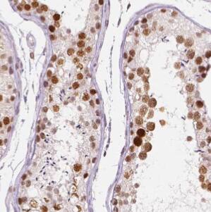
Immunohistochemistry: DDX3Y Antibody - BSA Free [NBP3-48031] -

Immunohistochemistry: DDX3Y Antibody - BSA Free [NBP3-48031] - Immunohistochemistry of paraffin-embedded human testis using (DDX3Y antibody) at dilution of 1:50

Applications for DDX3Y Antibody - BSA Free

Application
Recommended Usage

Immunocytochemistry/ Immunofluorescence

1:20-1:200

Immunohistochemistry

1:20-1:200

Western Blot

1:500-1:2000

Formulation, Preparation, and Storage

Purification

Immunogen affinity purified

Formulation

PBS, 50% Glycerol, pH (7.3)

Format

BSA Free

Preservative

0.02% Sodium Azide

Concentration

Please see the vial label for concentration. If unlisted please contact technical services.

Shipping

The product is shipped with polar packs. Upon receipt, store it immediately at the temperature recommended below.

Stability & Storage

Store at -20C. Avoid freeze-thaw cycles.

Background: DDX3Y

DDX3Y, also known as ATP-dependent RNA helicase DDX3Y, is a 73.1 kDa 660 amino acid protein and is involved in altering and unwinding the secondary structure of RNA as a member of the DEAD box protein family. Current research is being conducted for diseases and disorders such as malaria, infertility, azoospermia, prostatitis, and spermatogenic failure. The protein interacts in the RIG-I-like receptor signaling pathway with RPAP1, UBC, POT1, ESR1, and SHBG.

Alternate Names

ATP-dependent RNA helicase DDX3Y, DBYEC 3.6.4.13, DEAD (Asp-Glu-Ala-Asp) box polypeptide 3, Y-linked, DEAD box protein 3, Y-chromosomal, DEAD/H (Asp-Glu-Ala-Asp/His) box polypeptide, Y chromosome, EC 3.6.1

Gene Symbol

DDX3Y

Additional DDX3Y Products

Product Documents for DDX3Y Antibody - BSA Free

Certificate of Analysis

To download a Certificate of Analysis, please enter a lot number in the search box below.

Product Specific Notices for DDX3Y Antibody - BSA Free

This product is for research use only and is not approved for use in humans or in clinical diagnosis. Primary Antibodies are guaranteed for 1 year from date of receipt.

Loading...
Loading...
Loading...
Loading...