Skip to main content

DDX3 Antibody - BSA Free

Novus Biologicals, part of Bio-Techne | Catalog # NBP2-16133

Novus Biologicals, part of Bio-Techne
Catalog #
Availability
Size / Price
Qty
Loading...
NBP2-16133

Key Product Details

Species Reactivity

Validated:

Human, Mouse

Predicted:

Xenopus (97%). Backed by our 100% Guarantee.

Applications

Immunohistochemistry, Immunohistochemistry-Paraffin, Western Blot, Immunocytochemistry/ Immunofluorescence

Label

Unconjugated

Antibody Source

Polyclonal Rabbit IgG

Format

BSA Free

Concentration

Concentrations vary lot to lot. See vial label for concentration. If unlisted please contact technical services.

Product Specifications

Immunogen

Recombinant protein encompassing a sequence within the center region of human DDX3. The exact sequence is proprietary.

Localization

Nucleus speckle; Cytoplasm

Clonality

Polyclonal

Host

Rabbit

Isotype

IgG

Theoretical MW

73 kDa.
Disclaimer note: The observed molecular weight of the protein may vary from the listed predicted molecular weight due to post translational modifications, post translation cleavages, relative charges, and other experimental factors.

Description

Novus Biologicals Rabbit DDX3 Antibody - BSA Free (NBP2-16133) is a polyclonal antibody validated for use in IHC, WB and ICC/IF. All Novus Biologicals antibodies are covered by our 100% guarantee.

Scientific Data Images for DDX3 Antibody - BSA Free

DDX3 Antibody

Immunocytochemistry/ Immunofluorescence: DDX3 Antibody [NBP2-16133] -

Immunocytochemistry/ Immunofluorescence: DDX3 Antibody [NBP2-16133] - DDX3 antibody [N3C2], Internal detects DDX3 protein at cytoplasm and nucleus by immunofluorescent analysis.Sample: SK-N-SH cells were fixed in 4% paraformaldehyde at RT for 15 min.Green: DDX3 stained by DDX3 antibody [N3C2], Internal (NBP2-16133) diluted at 1:500.Blue: Hoechst 33342 staining.Scale bar= 10 um.
DDX3 Antibody

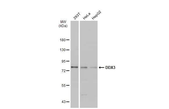
Western Blot: DDX3 Antibody [NBP2-16133] -

Western Blot: DDX3 Antibody [NBP2-16133] - Various whole cell extracts (30 ug) were separated by 7.5% SDS-PAGE, and the membrane was blotted with DDX3 antibody [N3C2], Internal (NBP2-16133) diluted at 1:2000. The HRP-conjugated anti-rabbit IgG antibody was used to detect the primary antibody.
Western Blot: DDX3 Antibody [NBP2-16133]

Western Blot: DDX3 Antibody [NBP2-16133]

Western Blot: DDX3 Antibody [NBP2-16133] - Sample (20 ug of whole cell lysate) A: human ESC 7. 5% SDS PAGE gel, diluted at 1:2000.

Applications for DDX3 Antibody - BSA Free

Application
Recommended Usage

Immunocytochemistry/ Immunofluorescence

1:100-1:1000

Immunohistochemistry

10 - 1:500

Immunohistochemistry-Paraffin

1:100-1:1000

Western Blot

1:500-1:3000

Formulation, Preparation, and Storage

Purification

Antigen Affinity-purified

Formulation

PBS, 20% Glycerol

Format

BSA Free

Preservative

0.025% Proclin 300

Concentration

Concentrations vary lot to lot. See vial label for concentration. If unlisted please contact technical services.

Shipping

The product is shipped with polar packs. Upon receipt, store it immediately at the temperature recommended below.

Stability & Storage

Aliquot and store at -20C or -80C. Avoid freeze-thaw cycles.

Background: DDX3

DEAD box proteins, characterized by the conserved motif Asp-Glu-Ala-Asp (DEAD), are putative RNA helicases. They are implicated in a number of cellular processes involving alteration of RNA secondary structure such as translation initiation, nuclear and mitochondrial splicing, and ribosome and spliceosome assembly. Based on their distribution patterns, some members of this family are believed to be involved in embryogenesis, spermatogenesis, and cellular growth and division. This gene encodes a DEAD box protein, which interacts specifically with hepatitis C virus core protein resulting a change in intracellular location. This gene has a homolog located in the nonrecombining region of the Y chromosome. The protein sequence is 91% identical between this gene and the Y-linked homolog. [provided by RefSeq]

Alternate Names

DBXCAP-Rf, DDX14, DDX3DEAD/H box-3, DEAD (Asp-Glu-Ala-Asp) box polypeptide 3, X-linked, DEAD box protein 3, X-chromosomal, DEAD box, X isoform, DEAD/H (Asp-Glu-Ala-Asp/His) box polypeptide 3, EC 3.6.1, EC 3.6.4.13, helicase like protein 2, Helicase-like protein 2, HLP2ATP-dependent RNA helicase DDX3X

Gene Symbol

DDX3X

UniProt

Additional DDX3 Products

Product Documents for DDX3 Antibody - BSA Free

Certificate of Analysis

To download a Certificate of Analysis, please enter a lot number in the search box below.

Product Specific Notices for DDX3 Antibody - BSA Free

This product is for research use only and is not approved for use in humans or in clinical diagnosis. Primary Antibodies are guaranteed for 1 year from date of receipt.

Loading...
Loading...
Loading...
Loading...

⚠ WARNING: This product can expose you to chemicals including mercury, which is known to the State of California to cause reproductive toxicity with developmental effects.  For more information go to www.P65Warnings.ca.gov.