Skip to main content

DDX3 Antibody (2D7) - Azide and BSA Free

Novus Biologicals, part of Bio-Techne | Catalog # H00008653-M01

Novus Biologicals, part of Bio-Techne
Catalog #
Availability
Size / Price
Qty
Loading...
H00008653-M01

Key Product Details

Species Reactivity

Human, Mouse

Applications

Immunohistochemistry, Immunohistochemistry-Paraffin, Western Blot, ELISA, Sandwich ELISA

Label

Unconjugated

Antibody Source

Monoclonal Mouse IgG1 kappa Clone # 2D7

Format

Azide and BSA Free

Concentration

Concentrations vary lot to lot. See vial label for concentration. If unlisted please contact technical services.

Product Specifications

Immunogen

DDX3Y (NP_004651, 1 a.a. ~ 80 a.a) partial recombinant protein with GST tag. MW of the GST tag alone is 26 KDa. MSHVVVKNDPELDQQLANLDLNSEKQSGGASTASKGRYIPPHLRNREASKGFHDKDSSGWSCSKDKDAYSSFGSRDSRGK

Reactivity Notes

Please note that this antibody is reactive to Mouse and derived from the same host, Mouse. Additional Mouse on Mouse blocking steps may be required for IHC and ICC experiments. Please contact Technical Support for more information.

Specificity

This antibody was raised to human DDX3Y fragment, however it is known to crossreact with DDX3X.

Clonality

Monoclonal

Host

Mouse

Isotype

IgG1 kappa

Description

Quality control test: Antibody Reactive Against Recombinant Protein.

Scientific Data Images for DDX3 Antibody (2D7) - Azide and BSA Free

Western Blot: DDX3 Antibody (2D7) [H00008653-M01]

Western Blot: DDX3 Antibody (2D7) [H00008653-M01]

Western Blot: DDX3 Antibody (2D7) [H00008653-M01] - DDX3Y monoclonal antibody (M01), clone 2D7. Analysis of DDX3Y expression in NIH/3T3.
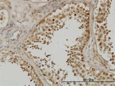
Immunohistochemistry-Paraffin: DDX3 Antibody (2D7) [H00008653-M01]

Immunohistochemistry-Paraffin: DDX3 Antibody (2D7) [H00008653-M01]

Immunohistochemistry-Paraffin: DDX3 Antibody (2D7) [H00008653-M01] - Analysis of monoclonal antibody to DDX3Y on formalin-fixed paraffin-embedded human testis. Antibody concentration 3 ug/ml.
Western Blot: DDX3 Antibody (2D7) [H00008653-M01]

Western Blot: DDX3 Antibody (2D7) [H00008653-M01]

Western Blot: DDX3 Antibody (2D7) [H00008653-M01] - DDX3Y monoclonal antibody (M01), clone 2D7. Analysis of DDX3Y expression in Raw 264.7.

Applications for DDX3 Antibody (2D7) - Azide and BSA Free

Application
Recommended Usage

ELISA

Optimal dilutions of this antibody should be experimentally determined.

Immunohistochemistry

Optimal dilutions of this antibody should be experimentally determined.

Immunohistochemistry-Paraffin

Optimal dilutions of this antibody should be experimentally determined.

Sandwich ELISA

Optimal dilutions of this antibody should be experimentally determined.

Western Blot

Optimal dilutions of this antibody should be experimentally determined.
Application Notes
Antibody reactivity against cell lysate and recombinant protein for WB. It has also been used for IHC-P and ELISA.

Formulation, Preparation, and Storage

Purification

IgG purified

Formulation

In 1x PBS, pH 7.4

Format

Azide and BSA Free

Preservative

No Preservative

Concentration

Concentrations vary lot to lot. See vial label for concentration. If unlisted please contact technical services.

Shipping

The product is shipped with polar packs. Upon receipt, store it immediately at the temperature recommended below.

Stability & Storage

Aliquot and store at -20C or -80C. Avoid freeze-thaw cycles.

Background: DDX3

DEAD box proteins, characterized by the conserved motif Asp-Glu-Ala-Asp (DEAD), are putative RNA helicases. They are implicated in a number of cellular processes involving alteration of RNA secondary structure such as translation initiation, nuclear and mitochondrial splicing, and ribosome and spliceosome assembly. Based on their distribution patterns, some members of this family are believed to be involved in embryogenesis, spermatogenesis, and cellular growth and division. This gene encodes a DEAD box protein, and it has a homolog on the X chromosome. The gene mutation causes male infertility, Sertoli cell-only syndrome or severe hypospermatogenesis, suggesting that this gene plays a key role in the spermatogenic process. Alternatively spliced variants, encoding the same protein, have been identified.

Alternate Names

DBXCAP-Rf, DDX14, DDX3DEAD/H box-3, DEAD (Asp-Glu-Ala-Asp) box polypeptide 3, X-linked, DEAD box protein 3, X-chromosomal, DEAD box, X isoform, DEAD/H (Asp-Glu-Ala-Asp/His) box polypeptide 3, EC 3.6.1, EC 3.6.4.13, helicase like protein 2, Helicase-like protein 2, HLP2ATP-dependent RNA helicase DDX3X

Entrez Gene IDs

8653 (Human)

Gene Symbol

DDX3X

OMIM

400010 (Human)

Additional DDX3 Products

Product Documents for DDX3 Antibody (2D7) - Azide and BSA Free

Certificate of Analysis

To download a Certificate of Analysis, please enter a lot number in the search box below.

Product Specific Notices for DDX3 Antibody (2D7) - Azide and BSA Free

This product is produced by and distributed for Abnova, a company based in Taiwan.

This product is for research use only and is not approved for use in humans or in clinical diagnosis. Primary Antibodies are guaranteed for 1 year from date of receipt.

Loading...
Loading...
Loading...
Loading...