Skip to main content

DDOST Antibody - BSA Free

Novus Biologicals, part of Bio-Techne | Catalog # NBP2-38560

Novus Biologicals, part of Bio-Techne
Catalog #
Availability
Size / Price
Qty
Loading...
NBP2-38560
NBP2-38560-25ul

Key Product Details

Species Reactivity

Validated:

Human

Predicted:

Mouse (97%), Rat (98%). Backed by our 100% Guarantee.

Applications

Immunocytochemistry/ Immunofluorescence, Immunohistochemistry, Immunohistochemistry-Paraffin, Western Blot

Label

Unconjugated

Antibody Source

Polyclonal Rabbit IgG

Format

BSA Free

Concentration

Concentrations vary lot to lot. See vial label for concentration. If unlisted please contact technical services.

Product Specifications

Immunogen

This antibody was developed against a recombinant protein corresponding to amino acids: NYELAVALSRWVFKEEGVLRVGPVSHHRVGETAPPNAYTVTDLVEYSIVIQQLSNGKWVPFDGDDIQLEFVRIDPFVRTFLKKKGGKYSVQFKLPDVYGVFQFKVDYNRLGYTHLYSSTQVSVRPLQHTQY

Clonality

Polyclonal

Host

Rabbit

Isotype

IgG

Description

Novus Biologicals Rabbit DDOST Antibody - BSA Free (NBP2-38560) is a polyclonal antibody validated for use in IHC, WB and ICC/IF. All Novus Biologicals antibodies are covered by our 100% guarantee.

Scientific Data Images for DDOST Antibody - BSA Free

Western Blot: DDOST Antibody [NBP2-38560]

Western Blot: DDOST Antibody [NBP2-38560]

Western Blot: DDOST Antibody [NBP2-38560] - Analysis in human cell line CAPAN-2.
Immunocytochemistry/ Immunofluorescence: DDOST Antibody [NBP2-38560]

Immunocytochemistry/ Immunofluorescence: DDOST Antibody [NBP2-38560]

Immunocytochemistry/Immunofluorescence: DDOST Antibody [NBP2-38560] - Immunofluorescent staining of human cell line U-2 OS shows localization to endoplasmic reticulum.
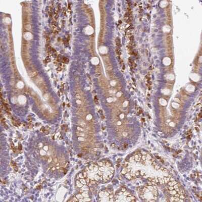
Immunohistochemistry-Paraffin: DDOST Antibody [NBP2-38560]

Immunohistochemistry-Paraffin: DDOST Antibody [NBP2-38560]

Immunohistochemistry-Paraffin: DDOST Antibody [NBP2-38560] - Staining of human duodenum shows cytoplasmic positivity in leukocytes and glandular cells.

Applications for DDOST Antibody - BSA Free

Application
Recommended Usage

Immunocytochemistry/ Immunofluorescence

0.25-2 ug/ml

Immunohistochemistry

1:500 - 1:1000

Immunohistochemistry-Paraffin

1:500 - 1:1000

Western Blot

0.04-0.4 ug/ml
Application Notes
For IHC-Paraffin, HIER pH 6 retrieval is recommended. ICC/IF Fixation Permeabilization: Use PFA/Triton X-100.

Formulation, Preparation, and Storage

Purification

Immunogen affinity purified

Formulation

PBS (pH 7.2) and 40% Glycerol

Format

BSA Free

Preservative

0.02% Sodium Azide

Concentration

Concentrations vary lot to lot. See vial label for concentration. If unlisted please contact technical services.

Shipping

The product is shipped with polar packs. Upon receipt, store it immediately at the temperature recommended below.

Stability & Storage

Store at 4C short term. Aliquot and store at -20C long term. Avoid freeze-thaw cycles.

Background: DDOST

DDOST encodes a component of the oligosaccharyltransferase complex which catalyzes the transfer of high-mannose oligosaccharides to asparagine residues on nascent polypeptides in the lumen of the rough endoplasmic reticulum. The protein complex co-purifies with ribosomes. The product of this gene is also implicated in the processing of advanced glycation endproducts (AGEs), which form from non-enzymatic reactions between sugars and proteins or lipids and are associated with aging and hyperglycemia. [provided by RefSeq]

Alternate Names

advanced glycation endproduct receptor 1, DDOST 48 kDa subunit, dolichyl-diphosphooligosaccharide-protein glycosyltransferase, dolichyl-diphosphooligosaccharide--protein glycosyltransferase, dolichyl-diphosphooligosaccharide--protein glycosyltransferase 48 kDa subunit, dolichyl-diphosphooligosaccharide-protein glycotransferase, EC 2.4.1.119, KIAA0115MGC2191, Oligosaccharyl transferase 48 kDa subunit, oligosaccharyltransferase 48 kDa subunit, OST48AGER1, OSTOKSWcl45, WBP1

Gene Symbol

DDOST

UniProt

Additional DDOST Products

Product Documents for DDOST Antibody - BSA Free

Certificate of Analysis

To download a Certificate of Analysis, please enter a lot number in the search box below.

Product Specific Notices for DDOST Antibody - BSA Free

This product is for research use only and is not approved for use in humans or in clinical diagnosis. Primary Antibodies are guaranteed for 1 year from date of receipt.

Loading...
Loading...
Loading...
Loading...