Skip to main content

DCTN3 Antibody - BSA Free

Novus Biologicals, part of Bio-Techne | Catalog # NBP2-98673

Novus Biologicals, part of Bio-Techne

Key Product Details

Species Reactivity

Human

Applications

Immunohistochemistry, Immunohistochemistry-Paraffin, Western Blot, Immunoprecipitation

Label

Unconjugated

Antibody Source

Polyclonal Rabbit IgG

Format

BSA Free

Concentration

Please see the vial label for concentration. If unlisted please contact technical services.

Product Specifications

Immunogen

Produced in rabbits immunized with E. coli-derived Human DCTN3 fragment.

Clonality

Polyclonal

Host

Rabbit

Isotype

IgG

Description

This antibody can be stored at 2C to 8C for one month without detectable loss of activity. Antibody products are stable for twelve months from date of receipt when stored at -20C to -80C. Avoid repeated freeze-thaw cycles.

Scientific Data Images for DCTN3 Antibody - BSA Free

Western Blot: DCTN3 Antibody [NBP2-98673]

Western Blot: DCTN3 Antibody [NBP2-98673]

Western Blot: DCTN3 Antibody [NBP2-98673] - Anti-DCTN3 rabbit polyclonal antibody at 1:500 dilution. Lane A: 293T Whole Cell Lysate Lane B: HeLa Whole Cell Lysate Lane C: U-251 MG Whole Cell Lysate Lysates/proteins at 30 ug per lane. Secondary Goat Anti-Rabbit IgG (H+L)/HRP at 1/10000 dilution. Developed using the ECL technique. Performed under reducing conditions. Predicted band size: 21 kDa. Observed band size: 21 kDa
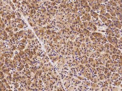
Immunohistochemistry-Paraffin: DCTN3 Antibody [NBP2-98673]

Immunohistochemistry-Paraffin: DCTN3 Antibody [NBP2-98673]

Immunohistochemistry-Paraffin: DCTN3 Antibody [NBP2-98673] - Immunochemical staining of human DCTN3 in human pancreas with rabbit polyclonal antibody at 1:100 dilution, formalin-fixed paraffin embedded sections.
Immunoprecipitation: DCTN3 Antibody [NBP2-98673]

Immunoprecipitation: DCTN3 Antibody [NBP2-98673]

Immunoprecipitation: DCTN3 Antibody [NBP2-98673] - DCTN3 was immunoprecipitated using: Lane A: 0.5 mg HeLa Whole Cell Lysate 4 ul anti-DCTN3 rabbit polyclonal antibody and 60 ug of Immunomagnetic beads Protein A/G. Primary antibody: Anti-DCTN3 rabbit polyclonal antibody, at 1:100 dilution. Secondary antibody: Goat Anti-Rabbit IgG (H+L)/HRP at 1/10000 dilution. Developed using the ECL technique. Performed under reducing conditions. Predicted band size: 21 kDa. Observed band size: 21 kDa

Applications for DCTN3 Antibody - BSA Free

Application
Recommended Usage

Immunohistochemistry-Paraffin

1:50-1:200

Immunoprecipitation

1-5uL/mg of lysate

Western Blot

1:500-1:2000

Formulation, Preparation, and Storage

Purification

Antigen and protein A Affinity-purified

Formulation

PBS

Format

BSA Free

Preservative

0.03% Proclin 300

Concentration

Please see the vial label for concentration. If unlisted please contact technical services.

Shipping

The product is shipped with polar packs. Upon receipt, store it immediately at the temperature recommended below.

Stability & Storage

Store at 4C short term. Aliquot and store at -20C long term. Avoid freeze-thaw cycles.

Background: DCTN3

DCTN3 encodes the smallest subunit of dynactin, a macromolecular complex consisting of 10 subunits ranging in size from 22 to 150 kD. Dynactin binds to both microtubules and cytoplasmic dynein. It is involved in a diverse array of cellular functions, including ER-to-Golgi transport, the centripetal movement of lysosomes and endosomes, spindle formation, cytokinesis, chromosome movement, nuclear positioning, and axonogenesis. This subunit, like most other dynactin subunits, exists only as a part of the dynactin complex. It is primarily an alpha-helical protein with very little coiled coil, and binds directly to the largest subunit (p150) of dynactin. Alternative splicing of this gene generates 2 transcript variants. [provided by RefSeq]

Alternate Names

DCTN22DCTN-22, dynactin 3, dynactin 3 (p22), Dynactin complex subunit 22 kDa subunit, dynactin light chain, dynactin subunit 3, MGC111190, p22

Gene Symbol

DCTN3

Additional DCTN3 Products

Product Documents for DCTN3 Antibody - BSA Free

Certificate of Analysis

To download a Certificate of Analysis, please enter a lot number in the search box below.

Product Specific Notices for DCTN3 Antibody - BSA Free

This product is for research use only and is not approved for use in humans or in clinical diagnosis. Primary Antibodies are guaranteed for 1 year from date of receipt.

Loading...
Loading...
Loading...
Loading...