Skip to main content

DC-SIGN/CD209 Antibody (C209/1781)

Novus Biologicals, part of Bio-Techne | Catalog # NBP2-53275

Novus Biologicals, part of Bio-Techne
Catalog #
Availability
Size / Price
Qty
Loading...
NBP2-53275-100ug
NBP2-53275-20ug

Key Product Details

Species Reactivity

Human

Applications

Immunohistochemistry, Immunohistochemistry-Paraffin, Western Blot, Flow Cytometry

Label

Unconjugated

Antibody Source

Monoclonal Mouse IgG2b Kappa Clone # C209/1781

Concentration

0.2 mg/ml

Product Specifications

Immunogen

Recombinant human DC-SIGN/CD209 protein fragment (exact sequence is proprietary) (Uniprot: Q9NNX6)

Localization

Secreted and Cell Surface

Clonality

Monoclonal

Host

Mouse

Isotype

IgG2b Kappa

Theoretical MW

45 kDa.
Disclaimer note: The observed molecular weight of the protein may vary from the listed predicted molecular weight due to post translational modifications, post translation cleavages, relative charges, and other experimental factors.

Description

200ug/ml of antibody purified from Bioreactor Concentrate by Protein A or G. Prepared in 10 mM PBS with 0.05% BSA & 0.05% azide. Also available WITHOUT BSA & azide at 1.0 mg/ml. (NBP2-54351)

Antibody with azide - store at 2 to 8C. Antibody without azide - store at -20 to -80C.

Scientific Data Images for DC-SIGN/CD209 Antibody (C209/1781)

Western Blot: DC-SIGN/CD209 Antibody (C209/1781) [NBP2-53275]

Western Blot: DC-SIGN/CD209 Antibody (C209/1781) [NBP2-53275]

Western Blot: DC-SIGN/CD209 Antibody (C209/1781) [NBP2-53275] - Western Blot Analysis of human liver and spleen tissue lysates using DC-SIGN/CD209 Antibody (C209/1781).
Immunohistochemistry-Paraffin: DC-SIGN/CD209 Antibody (C209/1781) [NBP2-53275]

Immunohistochemistry-Paraffin: DC-SIGN/CD209 Antibody (C209/1781) [NBP2-53275]

Immunohistochemistry-Paraffin: DC-SIGN/CD209 Antibody (C209/1781) [NBP2-53275] - Formalin-fixed, paraffin-embedded human Small Intestine stained with CD209 Monoclonal Antibody (C209/1781).
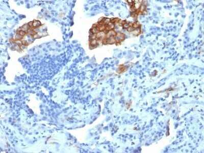
Immunohistochemistry-Paraffin: DC-SIGN/CD209 Antibody (C209/1781) [NBP2-53275]

Immunohistochemistry-Paraffin: DC-SIGN/CD209 Antibody (C209/1781) [NBP2-53275]

Immunohistochemistry-Paraffin: DC-SIGN/CD209 Antibody (C209/1781) [NBP2-53275] - Formalin-fixed, paraffin-embedded human Colon Carcinoma stained with CD209 Monoclonal Antibody (C209/1781).

Applications for DC-SIGN/CD209 Antibody (C209/1781)

Application
Recommended Usage

Flow Cytometry

0.5-1 ug/million cells

Immunohistochemistry-Paraffin

1-2 ug/ml

Western Blot

1-2 ug/ml
Application Notes
Immunohistochemistry (Formalin-fixed): 1-2ug/ml for 30 minutes at RT. Staining of formalin-fixed tissues is enhanced by heating tissue sections in 10mM Tris with 1mM EDTA Buffer, pH 9.0, for 45 min at 95C followed by cooling at RT for 20 minutes.
Optimal dilution for a specific application should be determined.

Formulation, Preparation, and Storage

Purification

Protein A or G purified

Formulation

10 mM PBS with 0.05% BSA

Preservative

0.05% Sodium Azide

Concentration

0.2 mg/ml

Shipping

The product is shipped with polar packs. Upon receipt, store it immediately at the temperature recommended below.

Stability & Storage

Store at 4C.

Background: DC-SIGN/CD209

DC-SIGN encodes a transmembrane receptor and is often referred to as DC-SIGN because of its expression on the surface of dendritic cells and macrophages. The encoded protein is involved in the innate immune system and recognizes numerous evolutionarily divergent pathogens ranging from parasites to viruses with a large impact on public health. The protein is organized into three distinct domains: an N-terminal transmembrane domain, a tandem-repeat neck domain and C-type lectin carbohydrate recognition domain. The extracellular region consisting of the C-type lectin and neck domains has a dual function as a pathogen recognition receptor and a cell adhesion receptor by binding carbohydrate ligands on the surface of microbes and endogenous cells. The neck region is important for homo-oligomerization which allows the receptor to bind multivalent ligands with high avidity. Variations in the number of 23 amino acid repeats in the neck domain of this protein are rare but have a significant impact on ligand binding ability. This gene is closely related in terms of both sequence and function to a neighboring gene (GeneID 10332; often referred to as L-SIGN). DC-SIGN and L-SIGN differ in their ligand-binding properties and distribution. Alternative splicing results in multiple variants.

Long Name

Dendritic Cell-specific ICAM-3-grabbing Non-integrin 1

Alternate Names

CD209, CLEC4L, DC-SIGN1, DCSIGN

Gene Symbol

CD209

UniProt

Additional DC-SIGN/CD209 Products

Product Documents for DC-SIGN/CD209 Antibody (C209/1781)

Certificate of Analysis

To download a Certificate of Analysis, please enter a lot number in the search box below.

Product Specific Notices for DC-SIGN/CD209 Antibody (C209/1781)

This product is for research use only and is not approved for use in humans or in clinical diagnosis. Primary Antibodies are guaranteed for 1 year from date of receipt.

Loading...
Loading...
Loading...
Loading...
Loading...