Skip to main content

DBT Antibody - BSA Free

Novus Biologicals, part of Bio-Techne | Catalog # NBP1-85964

Novus Biologicals, part of Bio-Techne
Catalog #
Availability
Size / Price
Qty
Loading...
NBP1-85964
NBP1-85964-25ul

Key Product Details

Validated by

Orthogonal Validation, Independent Antibodies

Species Reactivity

Validated:

Human

Predicted:

Mouse (90%), Rat (90%). Backed by our 100% Guarantee.

Applications

Immunohistochemistry, Immunohistochemistry-Paraffin, Western Blot

Label

Unconjugated

Antibody Source

Polyclonal Rabbit IgG

Format

BSA Free

Concentration

Concentrations vary lot to lot. See vial label for concentration. If unlisted please contact technical services.

Product Specifications

Immunogen

This antibody was developed against Recombinant Protein corresponding to amino acids: LQFPILNASVDENCQNITYKASHNIGIAMDTEQGLIVPNVKNVQICSIFDIATELNRLQKLGSVGQLSTTDLTGGTFTLSNIGSIGGTFAKPVIMPPEVAIGA

Clonality

Polyclonal

Host

Rabbit

Isotype

IgG

Scientific Data Images for DBT Antibody - BSA Free

Western Blot: DBT Antibody [NBP1-85964]

Western Blot: DBT Antibody [NBP1-85964]

Western Blot: DBT Antibody [NBP1-85964] - Staining of human colon, liver, lymph node and pancreas using Anti-DBT antibody NBP1-85964 (A) shows similar protein distribution across tissues to independent antibody NBP1-89522 (B).
Immunohistochemistry-Paraffin: DBT Antibody [NBP1-85964]

Immunohistochemistry-Paraffin: DBT Antibody [NBP1-85964]

Immunohistochemistry-Paraffin: DBT Antibody [NBP1-85964] - Staining of human colon.
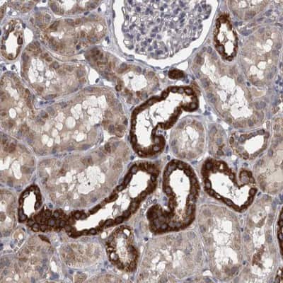
Immunohistochemistry-Paraffin: DBT Antibody [NBP1-85964]

Immunohistochemistry-Paraffin: DBT Antibody [NBP1-85964]

Immunohistochemistry-Paraffin: DBT Antibody [NBP1-85964] - Staining of human kidney shows strong cytoplasmic positivity in distal tubules.

Applications for DBT Antibody - BSA Free

Application
Recommended Usage

Immunohistochemistry

1:20 - 1:50

Immunohistochemistry-Paraffin

1:20 - 1:50

Western Blot

0.04-0.4 ug/ml
Application Notes
For IHC-Paraffin, HIER pH 6 retrieval is recommended.

Formulation, Preparation, and Storage

Purification

Affinity purified

Formulation

PBS (pH 7.2) and 40% Glycerol

Format

BSA Free

Preservative

0.02% Sodium Azide

Concentration

Concentrations vary lot to lot. See vial label for concentration. If unlisted please contact technical services.

Shipping

The product is shipped with polar packs. Upon receipt, store it immediately at the temperature recommended below.

Stability & Storage

Store at 4C short term. Aliquot and store at -20C long term. Avoid freeze-thaw cycles.

Background: DBT

The branched-chain alpha-keto acid dehydrogenase complex (BCKD) is an inner-mitochondrial enzyme complex involved in the breakdown of the branched-chain amino acids isoleucine, leucine, and valine. The BCKD complex is thought to be composed of a core of 24 transacylase (E2) subunits, and associated decarboxylase (E1), dehydrogenase (E3), and regulatory subunits. This gene encodes the transacylase (E2) subunit. Mutations in this gene result in maple syrup urine disease, type 2. Alternatively spliced transcript variants have been described, but their biological validity has not been determined. [provided by RefSeq]

Alternate Names

BCATE2BCKAD E2 subunit, BCKADE2, BCKAD-E2, branched chain acyltransferase, E2 component, Branched-chain alpha-keto acid dehydrogenase complex component E2, Dihydrolipoamide acetyltransferase component of branched-chain alpha-keto aciddehydrogenase complex, Dihydrolipoamide branched chain transacylase, dihydrolipoamide branched chain transacylase (E2 component of branched chainketo acid dehydrogenase complex; maple syrup urine disease), dihydrolipoamide branched chain transacylase E2, dihydrolipoyl transacylase, Dihydrolipoyllysine-residue (2-methylpropanoyl)transferase, E2, E2 component of branched chain alpha-keto acid dehydrogenase complex, E2B, EC 2.3.1.168, lipoamide acyltransferase component of branched-chain alpha-keto aciddehydrogenase complex, mitochondrial, lipoamide acyltransferase component of mitochondrial branched-chain alpha-ketoacid dehydrogenase complex, MGC9061, mitochondrial branched chain alpha-keto acid dehydrogenase transacylase subunit(E2b)

Gene Symbol

DBT

Additional DBT Products

Product Documents for DBT Antibody - BSA Free

Certificate of Analysis

To download a Certificate of Analysis, please enter a lot number in the search box below.

Product Specific Notices for DBT Antibody - BSA Free

This product is for research use only and is not approved for use in humans or in clinical diagnosis. Primary Antibodies are guaranteed for 1 year from date of receipt.

Loading...
Loading...
Loading...
Loading...