Skip to main content

Cytokeratin 8/18 Antibody (KRT8/803 + KRT18/835) - IHC-Prediluted

Novus Biologicals, part of Bio-Techne | Catalog # NBP2-48178

Novus Biologicals, part of Bio-Techne
Catalog #
Availability
Size / Price
Qty
Loading...
NBP2-48178

Key Product Details

Species Reactivity

Human

Applications

Immunohistochemistry, Immunohistochemistry-Paraffin

Label

Unconjugated

Antibody Source

Monoclonal Mouse IgG1 Kappa/IgG1 Kappa Clone # KRT8/803 + KRT18/835

Format

IHC-Prediluted

Concentration

Please see the vial label for concentration. If unlisted please contact technical services.

Product Specifications

Immunogen

Recombinant full-length human KRT8 protein (KRT8/803); Recombinant full-length human KRT18 protein (KRT18/835)

Localization

Cytoplasmic

Specificity

Cytokeratin 8 (CK8) belongs to the type II (or B or basic) subfamily of high molecular weight cytokeratins and exists in combination with cytokeratin 18 (CK18). This monoclonal antibody cocktail recognizes all simple epithelia including glandular epithelium, for example thyroid, female breast, gastrointestinal tract, respiratory tract, and urogenital tract including transitional epithelium. All adenocarcinomas and most squamous carcinomas are positive but keratinizing squamous carcinomas are usually negative. This antibody is useful in demonstrating the presence of Paget cells; there is very little keratin 18 in the normal epidermis so only Paget cells are stained.Immuno-histochemical staining with this monoclonal antibody is indistinguishable from that obtained with monoclonal antibody 5D3.

Clonality

Monoclonal

Host

Mouse

Isotype

IgG1 Kappa/IgG1 Kappa

Description

The prediluted antibody does not require any mixing, dilution, reconstitution, or titration; the antibody is ready-to-use and optimized for staining.

Scientific Data Images for Cytokeratin 8/18 Antibody (KRT8/803 + KRT18/835) - IHC-Prediluted

Immunohistochemistry-Paraffin: Cytokeratin 8/18 Antibody (KRT8/803 + KRT18/835) - IHC-Prediluted [NBP2-48178]

Immunohistochemistry-Paraffin: Cytokeratin 8/18 Antibody (KRT8/803 + KRT18/835) - IHC-Prediluted [NBP2-48178]

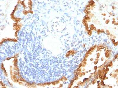
Immunohistochemistry-Paraffin: Cytokeratin 8/18 Antibody (KRT8/803 + KRT18/835) - IHC-Prediluted [NBP2-48178] - Formalin-fixed, paraffin-embedded human Colon Carcinoma stained with Cytokeratin 8/18 Monoclonal Antibody (KRT8/803 + KRT18/835).
Immunohistochemistry-Paraffin: Cytokeratin 8/18 Antibody (KRT8/803 + KRT18/835) - IHC-Prediluted [NBP2-48178]

Immunohistochemistry-Paraffin: Cytokeratin 8/18 Antibody (KRT8/803 + KRT18/835) - IHC-Prediluted [NBP2-48178]

Immunohistochemistry-Paraffin: Cytokeratin 8/18 Antibody (KRT8/803 + KRT18/835) - IHC-Prediluted [NBP2-48178] - Formalin-fixed, paraffin-embedded human Lung Carcinoma stained with Cytokeratin 8/18 Monoclonal Antibody (KRT8/803 + KRT18/835).
Immunohistochemistry-Paraffin: Cytokeratin 8/18 Antibody (KRT8/803 + KRT18/835) - IHC-Prediluted [NBP2-48178]

Immunohistochemistry-Paraffin: Cytokeratin 8/18 Antibody (KRT8/803 + KRT18/835) - IHC-Prediluted [NBP2-48178]

Immunohistochemistry-Paraffin: Cytokeratin 8/18 Antibody (KRT8/803 + KRT18/835) - IHC-Prediluted [NBP2-48178] - Formalin-fixed, paraffin-embedded human Ovarian Cancer stained with Cytokeratin 8/18 Monoclonal Antibody (KRT8/803 + KRT18/835).

Applications for Cytokeratin 8/18 Antibody (KRT8/803 + KRT18/835) - IHC-Prediluted

Application
Recommended Usage

Immunohistochemistry

Optimal dilutions of this antibody should be experimentally determined.

Immunohistochemistry-Paraffin

Optimal dilutions of this antibody should be experimentally determined.
Application Notes
Immunohistochemistry (Formalin-fixed): 0.1-0.2ug/ml for 30 min at RT. Staining of formalin-fixed tissues requires heating tissue sections in 10mM Tris with 1mM EDTA, pH 9.0, for 45 min at 95C followed by cooling at RT for 20 minutes.
Optimal dilution for a specific application should be determined.

Formulation, Preparation, and Storage

Purification

Protein A or G purified

Formulation

10 mM PBS with 0.05% BSA

Format

IHC-Prediluted

Preservative

0.05% Sodium Azide

Concentration

Please see the vial label for concentration. If unlisted please contact technical services.

Shipping

The product is shipped with polar packs. Upon receipt, store it immediately at the temperature recommended below.

Stability & Storage

Store at 4C.

Background: Cytokeratin 8/18

Alternate Names

CARD2, CK8, CK-8, CYK8cytokeratin 8, Cytokeratin-8, K2C8, K8cytokeratin-8, keratin 8, keratin, type II cytoskeletal 8, Keratin-8, KO, Type-II keratin Kb8

Gene Symbol

KRT8

Additional Cytokeratin 8/18 Products

Product Documents for Cytokeratin 8/18 Antibody (KRT8/803 + KRT18/835) - IHC-Prediluted

Certificate of Analysis

To download a Certificate of Analysis, please enter a lot number in the search box below.

Product Specific Notices for Cytokeratin 8/18 Antibody (KRT8/803 + KRT18/835) - IHC-Prediluted

This product is for research use only and is not approved for use in humans or in clinical diagnosis. Primary Antibodies are guaranteed for 1 year from date of receipt.

Loading...
Loading...
Loading...
Loading...