Skip to main content

Cytokeratin 6a Antibody - BSA Free

Novus Biologicals, part of Bio-Techne | Catalog # NBP2-97405

Novus Biologicals, part of Bio-Techne

Key Product Details

Species Reactivity

Human

Applications

Immunohistochemistry-Paraffin, Western Blot

Label

Unconjugated

Antibody Source

Polyclonal Rabbit IgG

Format

BSA Free

Concentration

Please see the vial label for concentration. If unlisted please contact technical services.

Product Specifications

Immunogen

Produced in rabbits immunized with E. coli-derived Human Cytokeratin 6a fragment.

Clonality

Polyclonal

Host

Rabbit

Isotype

IgG

Description

This antibody can be stored at 2C to 8C for one month without detectable loss of activity. Antibody products are stable for twelve months from date of receipt when stored at -20C to -80C. Avoid repeated freeze-thaw cycles.

Scientific Data Images for Cytokeratin 6a Antibody - BSA Free

Western Blot: Cytokeratin 6a Antibody [NBP2-97405]

Western Blot: Cytokeratin 6a Antibody [NBP2-97405]

Western Blot: Cytokeratin 6a Antibody [NBP2-97405] - Anti-Cytokeratin 6a rabbit polyclonal antibody at 1:10000 dilution. Lane A: A431 Whole Cell Lysate. Lysates/proteins at 30 ug per lane. Secondary Goat Anti-Rabbit IgG (H+L)/HRP at 1/10000 dilution. Developed using the ECL technique. Performed under reducing conditions. Predicted band size: 60 kDa. Observed band size: 60 kDa (We are unsure as to the identity of these extra bands).
Cytokeratin 6a Antibody - BSA Free

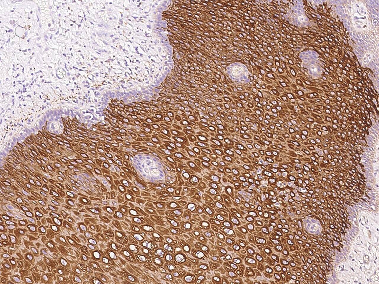
Immunohistochemistry-Paraffin: Cytokeratin 6a Antibody - BSA Free [NBP2-97405] -

Immunohistochemistry-Paraffin: Cytokeratin 6a Antibody - BSA Free [NBP2-97405] - Immunochemical staining of human Cytokeratin 6a in human esophagus with NBP2-97405 at 1:200 dilution, formalin-fixed paraffin embedded sections.

Applications for Cytokeratin 6a Antibody - BSA Free

Application
Recommended Usage

Immunohistochemistry-Paraffin

1:100-1:400

Western Blot

1:2000-1:10000

Formulation, Preparation, and Storage

Purification

Antigen and protein A Affinity-purified

Formulation

PBS

Format

BSA Free

Preservative

0.03% Proclin 300

Concentration

Please see the vial label for concentration. If unlisted please contact technical services.

Shipping

The product is shipped with polar packs. Upon receipt, store it immediately at the temperature recommended below.

Stability & Storage

Store at 4C short term. Aliquot and store at -20C long term. Avoid freeze-thaw cycles.

Background: Cytokeratin 6a

The human type II Cytokeratin 6 (CK6; 56 kDa) is expressed in a heterogeneous array of epithelial tissues under normal conditions, but is better known for its strong induction in stratified epithelia that feature an enhanced cell proliferation rate or abnormal differentiation. It has been demonstrated that CK6 isoform, CK6a, is clearly the dominant CK6 isoform in skin tissue samples and cultured epithelial cell lines and that the various isoforms are differentially regulated within and between epithelial tissue types (1). The murine genome is known to have two keratin 6 (CK6) genes, mouse CK6, CK6a and MK6b. These genes display a complex expression pattern with constitutive expression in the epithelia of oral mucosa, hair follicles, and nail beds (2). Pachyonychia congenital (PC) is characterized by hypertrophic nail dystrophy and associated ectodermal features. PC-1 subtype is associated with mutations in keratins 6a or 16, whereas PC-2 subtype is linked to mutations in keratins 6b or 17 (3).

Alternate Names

Allergen Hom s 5, CK6A, CK-6A, CK6C, CK6D, CK-6D, cytokeratin 6A, cytokeratin 6C, cytokeratin 6D, Cytokeratin-6A, Cytokeratin-6D, K6A, K6C, K6D, keratin 6A, keratin 6C, keratin 6D, keratin, epidermal type II, K6A, keratin, type II cytoskeletal 6A, Keratin-6A, KRT6C, KRT6D, Type-II keratin Kb6

Gene Symbol

KRT6A

Additional Cytokeratin 6a Products

Product Documents for Cytokeratin 6a Antibody - BSA Free

Certificate of Analysis

To download a Certificate of Analysis, please enter a lot number in the search box below.

Product Specific Notices for Cytokeratin 6a Antibody - BSA Free

This product is for research use only and is not approved for use in humans or in clinical diagnosis. Primary Antibodies are guaranteed for 1 year from date of receipt.

Loading...
Loading...
Loading...
Loading...